PHACTR1 Antibody
-
中文名稱:PHACTR1兔多克隆抗體
-
貨號:CSB-PA017880LA01HU
-
規格:¥440
-
圖片:
-
Western Blot
Positive WB detected in: Hela whole cell lysate, Rat brain tissue, Mouse brain tissue
All lanes: PHACTR1 antibody at 6µg/ml
Secondary
Goat polyclonal to rabbit IgG at 1/50000 dilution
Predicted band size: 67, 55 kDa
Observed band size: 67 kDa -
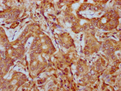
IHC image of CSB-PA017880LA01HU diluted at 1:400 and staining in paraffin-embedded human liver cancer performed on a Leica BondTM system. After dewaxing and hydration, antigen retrieval was mediated by high pressure in a citrate buffer (pH 6.0). Section was blocked with 10% normal goat serum 30min at RT. Then primary antibody (1% BSA) was incubated at 4°C overnight. The primary is detected by a biotinylated secondary antibody and visualized using an HRP conjugated SP system.
-
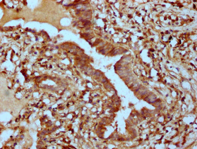
IHC image of CSB-PA017880LA01HU diluted at 1:400 and staining in paraffin-embedded human lung tissue performed on a Leica BondTM system. After dewaxing and hydration, antigen retrieval was mediated by high pressure in a citrate buffer (pH 6.0). Section was blocked with 10% normal goat serum 30min at RT. Then primary antibody (1% BSA) was incubated at 4°C overnight. The primary is detected by a biotinylated secondary antibody and visualized using an HRP conjugated SP system.
-
Immunofluorescence staining of A549 cells with CSB-PA017880LA01HU at 1:133, counter-stained with DAPI. The cells were fixed in 4% formaldehyde, permeabilized using 0.2% Triton X-100 and blocked in 10% normal Goat Serum. The cells were then incubated with the antibody overnight at 4°C. The secondary antibody was Alexa Fluor 488-congugated AffiniPure Goat Anti-Rabbit IgG(H+L).
-
-
其他:
產品詳情
-
產品名稱:Rabbit anti-Homo sapiens (Human) PHACTR1 Polyclonal antibody
-
Uniprot No.:
-
基因名:PHACTR1
-
別名:PHACTR1 antibody; KIAA1733 antibody; RPEL1 antibody; Phosphatase and actin regulator 1 antibody
-
宿主:Rabbit
-
反應種屬:Human, Mouse, Rat
-
免疫原:Recombinant Human Phosphatase and actin regulator 1 protein (263-387AA)
-
免疫原種屬:Homo sapiens (Human)
-
標記方式:Non-conjugated
本頁面中的產品,PHACTR1 Antibody (CSB-PA017880LA01HU),的標記方式是Non-conjugated。對于PHACTR1 Antibody,我們還提供其他標記。見下表:
-
克隆類型:Polyclonal
-
抗體亞型:IgG
-
純化方式:>95%, Protein G purified
-
濃度:It differs from different batches. Please contact us to confirm it.
-
保存緩沖液:Preservative: 0.03% Proclin 300
Constituents: 50% Glycerol, 0.01M PBS, pH 7.4 -
產品提供形式:Liquid
-
應用范圍:ELISA, WB, IHC, IF
-
推薦稀釋比:
Application Recommended Dilution WB 1:500-1:5000 IHC 1:200-1:500 IF 1:50-1:200 -
Protocols:
-
儲存條件:Upon receipt, store at -20°C or -80°C. Avoid repeated freeze.
-
貨期:Basically, we can dispatch the products out in 1-3 working days after receiving your orders. Delivery time maybe differs from different purchasing way or location, please kindly consult your local distributors for specific delivery time.
-
用途:For Research Use Only. Not for use in diagnostic or therapeutic procedures.
相關產品
靶點詳情
-
功能:Binds actin monomers (G actin) and plays a role in multiple processes including the regulation of actin cytoskeleton dynamics, actin stress fibers formation, cell motility and survival, formation of tubules by endothelial cells, and regulation of PPP1CA activity. Involved in the regulation of cortical neuron migration and dendrite arborization.
-
基因功能參考文獻:
- our study suggests that several PHACTR1 and SLC22A3 gene polymorphisms may exert a protective effect against the CAD in the Chinese Han male population. PMID: 27893421
- PHACTR1 is a key atherosclerosis candidate gene since it is regulated by atherogenic stimuli in macrophages and endothelial cells PMID: 27187934
- Stimulation of Slack K(+) channels alters mass at the plasma membrane by triggering dissociation of Phactr-1. PMID: 27545877
- CRISPR-edited stem cell-derived endothelial cells demonstrate rs9349379, a common SNP in the 3 intron of the PHACTR1 gene, regulates expression of endothelin 1 (EDN1), a gene located 600 kb upstream of PHACTR1. The known physiologic effects of EDN1 on the vasculature may explain the pattern of risk for the five associated vascular diseases. PMID: 28753427
- To evaluate the role of two polymorphisms (rs2026458 and rs9349379) of the PHACTR1 gene in the susceptibility to the risk of developing premature coronary artery disease (CAD) in the Mexican population. Results suggest that the PHACTR1 rs9349379 polymorphism plays an important role in the risk of developing premature CAD in the Mexican population. PMID: 27517945
- the expression of PHACTR1 by genotypes in primary human fibroblasts showed higher expression in rs9349379-A carriers . Phactr1 knockdown in zebrafish resulted in dilated vessels indicating subtle impaired vascular development PMID: 27792790
- There was no significant association between the presence of risk alleles of rs12526453 and coronary heart disease in an Iranian population. PMID: 28287809
- our result highlighted the pivotal role of phactr-1 protein in the pathogenesis of atherosclerosis. PMID: 26362351
- The rs12526453 CC homozygotes (previously associated with increased risk of myocardial infarction) showed, in 2 independent samples, better long-term survival. PMID: 26086777
- GWAS analysis of 1,393 cervical artery dissection cases and 14,416 controls showed that the rs9349379[G] allele was associated with lower risk. This was confirmed independent follow-up samples. PMID: 25420145
- a novel signaling route whereby TGF-beta silences the expression of miR-584, resulting in enhanced PHACTR1 expression, and further leading to actin rearrangement and breast cancer cell migration. PMID: 23479725
- 3 loci from related cardiovascular genomewide studies were significant: PHACTR1 in large-vessel disease (P=2.63e(-6)), PITX2 in cardioembolic stroke (P=4.78e(-8)), and ZFHX3 in cardioembolic stroke (P=5.50e(-7)). PMID: 23042660
- Results from this GWAS support a central role of PHACTR1 in CAD susceptibility irrespective of lifestyle and ethnic divergences. PMID: 22745674
- Phactr-1 is a key component in the angiogenic process PMID: 21939755
- Findings suggest that PHACTR-1 is likely to be a key regulator of endothelial cell function properties. PMID: 21798305
- Observational study of gene-disease association and gene-gene interaction. (HuGE Navigator) PMID: 20738937
- Observational study of gene-disease association. (HuGE Navigator) PMID: 20971364
- Clinical trial of gene-disease association and gene-environment interaction. (HuGE Navigator) PMID: 20379614
- Observational study and genome-wide association study of gene-disease association. (HuGE Navigator) PMID: 19198609
顯示更多
收起更多
-
亞細胞定位:Cytoplasm. Cell junction, synapse. Nucleus.
-
蛋白家族:Phosphatase and actin regulator family
-
組織特異性:Detected in umbilical vein endothelial cells.
-
數據庫鏈接:
Most popular with customers
-
-
YWHAB Recombinant Monoclonal Antibody
Applications: ELISA, WB, IHC, IF, FC
Species Reactivity: Human, Mouse, Rat
-
-
-
-
-
-















