PGM2L1 Antibody
-
中文名稱:PGM2L1兔多克隆抗體
-
貨號:CSB-PA764776LA01HU
-
規格:¥440
-
圖片:
-
Western blot
All lanes: PGM2L1 antibody at 0.8µg/ml
Lane 1: HL60 whole cell lysate
Lane 2: MCF-7 whole cell lysate
Secondary
Goat polyclonal to rabbit IgG at 1/10000 dilution
Predicted band size: 71 kDa
Observed band size: 71 kDa -
Immunohistochemistry of paraffin-embedded human cervical cancer using CSB-PA764776LA01HU at dilution of 1:100
-
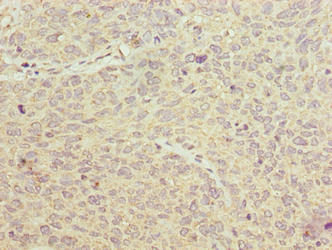
Immunohistochemistry of paraffin-embedded human glioma using CSB-PA764776LA01HU at dilution of 1:100
-
-
其他:
產品詳情
-
產品名稱:Rabbit anti-Homo sapiens (Human) PGM2L1 Polyclonal antibody
-
Uniprot No.:
-
基因名:PGM2L1
-
別名:PGM2L1 antibody; BM32A antibody; Glucose 1,6-bisphosphate synthase antibody; EC 2.7.1.106 antibody; PMMLP antibody; Phosphoglucomutase-2-like 1 antibody
-
宿主:Rabbit
-
反應種屬:Human
-
免疫原:Recombinant Human Glucose 1,6-bisphosphate synthase protein (101-400AA)
-
免疫原種屬:Homo sapiens (Human)
-
標記方式:Non-conjugated
本頁面中的產品,PGM2L1 Antibody (CSB-PA764776LA01HU),的標記方式是Non-conjugated。對于PGM2L1 Antibody,我們還提供其他標記。見下表:
-
克隆類型:Polyclonal
-
抗體亞型:IgG
-
純化方式:Antigen Affinity Purified
-
濃度:It differs from different batches. Please contact us to confirm it.
-
保存緩沖液:Preservative: 0.03% Proclin 300
Constituents: 50% Glycerol, 0.01M PBS, PH 7.4 -
產品提供形式:Liquid
-
應用范圍:ELISA, WB, IHC
-
推薦稀釋比:
Application Recommended Dilution WB 1:1000-1:5000 IHC 1:20-1:200 -
Protocols:
-
儲存條件:Upon receipt, store at -20°C or -80°C. Avoid repeated freeze.
-
貨期:Basically, we can dispatch the products out in 1-3 working days after receiving your orders. Delivery time maybe differs from different purchasing way or location, please kindly consult your local distributors for specific delivery time.
-
用途:For Research Use Only. Not for use in diagnostic or therapeutic procedures.
相關產品
靶點詳情
-
功能:Glucose 1,6-bisphosphate synthase using 1,3-bisphosphoglycerate as a phosphate donor and a series of 1-phosphate sugars as acceptors, including glucose 1-phosphate, mannose 1-phosphate, ribose 1-phosphate and deoxyribose 1-phosphate. 5 or 6-phosphosugars are bad substrates, with the exception of glucose 6-phosphate. Also synthesizes ribose 1,5-bisphosphate. Has only low phosphopentomutase and phosphoglucomutase activities.
-
基因功能參考文獻:
- Observational study of gene-disease association. (HuGE Navigator) PMID: 20800603
- Study shows that PGM2L1 which shows 60% homology with PGM2 actually corresponds to glucose-1,6-bisphosphate synthase. PMID: 17804405
-
蛋白家族:Phosphohexose mutase family
-
數據庫鏈接:
Most popular with customers
-
-
YWHAB Recombinant Monoclonal Antibody
Applications: ELISA, WB, IHC, IF, FC
Species Reactivity: Human, Mouse, Rat
-
Phospho-YAP1 (S127) Recombinant Monoclonal Antibody
Applications: ELISA, WB, IHC
Species Reactivity: Human
-
-
-
-
-















