PGLYRP4 Antibody
-
中文名稱:PGLYRP4兔多克隆抗體
-
貨號:CSB-PA017865LA01HU
-
規格:¥440
-
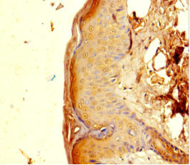
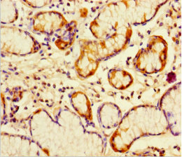
圖片:
-
其他:
產品詳情
-
產品名稱:Rabbit anti-Homo sapiens (Human) PGLYRP4 Polyclonal antibody
-
Uniprot No.:
-
基因名:PGLYRP4
-
別名:Peptidoglycan recognition protein 4 antibody; Peptidoglycan recognition protein I-beta antibody; Peptidoglycan recognition protein intermediate beta antibody; Pglyrp4 antibody; PGLYRPIbeta antibody; PGRP-I-beta antibody; PGRP4_HUMAN antibody; PGRPIB antibody; SBBI67 antibody
-
宿主:Rabbit
-
反應種屬:Human
-
免疫原:Recombinant Human Peptidoglycan recognition protein 4 protein (18-317AA)
-
免疫原種屬:Homo sapiens (Human)
-
標記方式:Non-conjugated
本頁面中的產品,PGLYRP4 Antibody (CSB-PA017865LA01HU),的標記方式是Non-conjugated。對于PGLYRP4 Antibody,我們還提供其他標記。見下表:
-
克隆類型:Polyclonal
-
抗體亞型:IgG
-
純化方式:>95%, Protein G purified
-
濃度:It differs from different batches. Please contact us to confirm it.
-
保存緩沖液:Preservative: 0.03% Proclin 300
Constituents: 50% Glycerol, 0.01M PBS, PH 7.4 -
產品提供形式:Liquid
-
應用范圍:ELISA, IHC
-
推薦稀釋比:
Application Recommended Dilution IHC 1:20-1:200 -
Protocols:
-
儲存條件:Upon receipt, store at -20°C or -80°C. Avoid repeated freeze.
-
貨期:Basically, we can dispatch the products out in 1-3 working days after receiving your orders. Delivery time maybe differs from different purchasing way or location, please kindly consult your local distributors for specific delivery time.
-
用途:For Research Use Only. Not for use in diagnostic or therapeutic procedures.
相關產品
靶點詳情
-
功能:Pattern receptor that binds to murein peptidoglycans (PGN) of Gram-positive bacteria. Has bactericidal activity towards Gram-positive bacteria. May kill Gram-positive bacteria by interfering with peptidoglycan biosynthesis. Binds also to Gram-negative bacteria, and has bacteriostatic activity towards Gram-negative bacteria. Plays a role in innate immunity.
-
基因功能參考文獻:
- a significant induction of three PGLYRPs 2-4 in primary human corneal epithelial cells (HCECs) exposed to live or heat-killed Candida albicans, is reported. PMID: 26039076
- This study demonistrated that PGLYRP4 single-nucleotide polymorphisms is risk of Parkinson's disease. PMID: 24838182
- Results describe the function of mammalian antimicrobial peptidoglycan recognition proteins 3 and 4, and show that they are a new class of bactericidal and bacteriostatic proteins. PMID: 16354652
- Data are consistent with previous reports of association of psoriasis with genes on 1q21, and suggest a role for Pglyrp4 in skin biology. PMID: 16362825
-
亞細胞定位:Secreted.
-
蛋白家族:N-acetylmuramoyl-L-alanine amidase 2 family
-
組織特異性:Detected in skin epidermis, eccrine sweat glands and ducts, mucous cells in the submandibular salivary gland, mucous cells in the throat, ciliary body epithelial cells of the eye, small intestine, colon, stomach and in mature epithelial cells of the tongu
-
數據庫鏈接:
Most popular with customers
-
-
YWHAB Recombinant Monoclonal Antibody
Applications: ELISA, WB, IHC, IF, FC
Species Reactivity: Human, Mouse, Rat
-
Phospho-YAP1 (S127) Recombinant Monoclonal Antibody
Applications: ELISA, WB, IHC
Species Reactivity: Human
-
-
-
-
-















