PGK2 Antibody
-
中文名稱:PGK2兔多克隆抗體
-
貨號:CSB-PA191316
-
規格:¥1100
-
圖片:
-
The image on the left is immunohistochemistry of paraffin-embedded Human gastic cancer tissue using CSB-PA191316(PGK2 Antibody) at dilution 1/50, on the right is treated with fusion protein. (Original magnification: ×200)
-
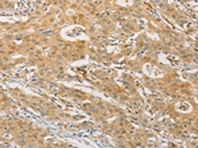
The image on the left is immunohistochemistry of paraffin-embedded Human liver cancer tissue using CSB-PA191316(PGK2 Antibody) at dilution 1/50, on the right is treated with fusion protein. (Original magnification: ×200)
-
Gel: 10%SDS-PAGE, Lysate: 40 μg, Lane 1-5: HepG2 cells, human fetal placenta tissue, 293T cells, human testis tissue, NIH/3T3 cells, Primary antibody: CSB-PA191316(PGK2 Antibody) at dilution 1/600, Secondary antibody: Goat anti rabbit IgG at 1/8000 dilution, Exposure time: 5 seconds
-
-
其他:
產品詳情
-
Uniprot No.:
-
基因名:PGK2
-
別名:dJ417L20.2 antibody; PGK 2 antibody; pgk2 antibody; PGK2_HUMAN antibody; PGKB antibody; PGKPS antibody; Phosphoglycerate kinase 2 antibody; Phosphoglycerate kinase antibody; Phosphoglycerate kinase autosomal pseudogene antibody; Phosphoglycerate kinase testis specific antibody; testis specific antibody
-
宿主:Rabbit
-
反應種屬:Human,Mouse,Rat
-
免疫原:Fusion protein of Human PGK2
-
免疫原種屬:Homo sapiens (Human)
-
標記方式:Non-conjugated
-
抗體亞型:IgG
-
純化方式:Antigen affinity purification
-
濃度:It differs from different batches. Please contact us to confirm it.
-
保存緩沖液:-20°C, pH7.4 PBS, 0.05% NaN3, 40% Glycerol
-
產品提供形式:Liquid
-
應用范圍:ELISA,WB,IHC
-
推薦稀釋比:
Application Recommended Dilution ELISA 1:2000-1:10000 WB 1:1000-1:5000 IHC 1:50-1:200 -
Protocols:
-
儲存條件:Upon receipt, store at -20°C or -80°C. Avoid repeated freeze.
-
貨期:Basically, we can dispatch the products out in 1-3 working days after receiving your orders. Delivery time maybe differs from different purchasing way or location, please kindly consult your local distributors for specific delivery time.
-
用途:For Research Use Only. Not for use in diagnostic or therapeutic procedures.
相關產品
靶點詳情
-
功能:Essential for sperm motility and male fertility. Not required for the completion of spermatogenesis.
-
基因功能參考文獻:
- Data from studies in transgenic mice suggest that Pgk2 core promoter elements are required to direct demethylation of DNA and reconfiguration of nucleosomes in testis during sexual maturation and spermatogenesis. PMID: 24000349
-
亞細胞定位:Cytoplasm.
-
蛋白家族:Phosphoglycerate kinase family
-
組織特異性:Mainly found in round spermatids. Localized on the principle piece in the sperm (at protein level). Testis-specific. Expression significantly decreased in the testis of elderly men.
-
數據庫鏈接:
Most popular with customers
-
-
YWHAB Recombinant Monoclonal Antibody
Applications: ELISA, WB, IHC, IF, FC
Species Reactivity: Human, Mouse, Rat
-
Phospho-YAP1 (S127) Recombinant Monoclonal Antibody
Applications: ELISA, WB, IHC
Species Reactivity: Human
-
-
-
-
-















