PEX7 Antibody
-
中文名稱:PEX7兔多克隆抗體
-
貨號:CSB-PA017808ESR2HU
-
規格:¥440
-
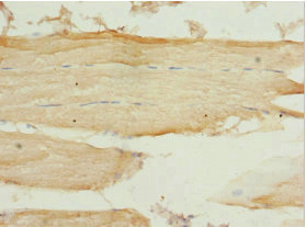
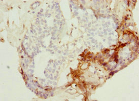
圖片:
-
其他:
產品詳情
-
產品名稱:Rabbit anti-Homo sapiens (Human) PEX7 Polyclonal antibody
-
Uniprot No.:
-
基因名:PEX7
-
別名:PBD9B antibody; PCDP1 antibody; Peroxin 7 antibody; Peroxin-7 antibody; Peroxisomal PTS2 receptor antibody; Peroxisomal targeting signal 2 receptor antibody; Peroxisome biogenesis factor 7 antibody; Peroxisome targeting signal 2 receptor antibody; PEX7 antibody; PEX7 protein antibody; PEX7_HUMAN antibody; PTS2 receptor antibody; PTS2R antibody; RCDP1 antibody; RD antibody
-
宿主:Rabbit
-
反應種屬:Human
-
免疫原:Recombinant Human Peroxisomal targeting signal 2 receptor protein (1-240AA)
-
免疫原種屬:Homo sapiens (Human)
-
標記方式:Non-conjugated
-
克隆類型:Polyclonal
-
抗體亞型:IgG
-
純化方式:Antigen Affinity Purified
-
濃度:It differs from different batches. Please contact us to confirm it.
-
保存緩沖液:PBS with 0.02% sodium azide, 50% glycerol, pH7.3.
-
產品提供形式:Liquid
-
應用范圍:ELISA, IHC
-
推薦稀釋比:
Application Recommended Dilution IHC 1:20-1:200 -
Protocols:
-
儲存條件:Upon receipt, store at -20°C or -80°C. Avoid repeated freeze.
-
貨期:Basically, we can dispatch the products out in 1-3 working days after receiving your orders. Delivery time maybe differs from different purchasing way or location, please kindly consult your local distributors for specific delivery time.
-
用途:For Research Use Only. Not for use in diagnostic or therapeutic procedures.
相關產品
靶點詳情
-
功能:Binds to the N-terminal PTS2-type peroxisomal targeting signal and plays an essential role in peroxisomal protein import.
-
基因功能參考文獻:
- This revealed a marked plasmalogen deficiency and a deficient fatty acid alpha-oxidation in the IHH cells, due to a defect of PEX7, a cytosolic receptor protein required for peroxisomal import of a subset of peroxisomal proteins. PMID: 28013369
- our data suggest that insertion of the trimeric PEX5-PEX7-PTS2 protein complex into the DTM is probably accompanied by conformational alterations in PEX5 to allow release of the PTS2 protein into the organelle matrix PMID: 26138649
- Mutation in the PEX7 Gene is associated with Rhizomelic Chondrodysplasia Punctata Type 1. PMID: 25800479
- the sequential formation of a highly stable trimeric complex involving cargo protein, PEX7 and PEX5L stabilizes cargo binding and is a prerequisite for PTS2-mediated peroxisomal import. PMID: 25538232
- dysfunctional Pex7p, including mutants from RCDP patients, is degraded by a ubiquitin-dependent proteasomal pathway involving the CRL4A (Cullin4A-RING ubiquitin ligase) complex. PMID: 24989250
- Export of peroxisomal PEX7 back into the cytosol requires export of PEX5. PMID: 24865970
- This results of this studt revealed the association of 2 single nucleotide polymorphisms and 1 haplotype with autism spectrum disorder (P < .05). PMID: 22378669
- Structural requirements for interaction of peroxisomal targeting signal 2 and its receptor PEX7. PMID: 22057399
- Mutations in PEX7 gene is associated with Rhizomelic chondrodysplasia punctata. PMID: 20145307
- mutational spectrum in the PEX7 gene of 78 patients (including five pairs of sibs) clinically and biochemically diagnosed with RCDP type I PMID: 11781871
- Functional studies on human Pex7p: subcellular localization and interaction with proteins containing a peroxisome-targeting signal type 2 and other peroxins. PMID: 11931631
- The residual activity of mutant Pex7 protein in rhizomelic chondrodysplasia punctata patients and reduced amounts of normal Pex7 are associated with milder and variant phenotypes. PMID: 12325024
- This gene codes for the peroxin 7 receptor protein required for peroxisomal import of proteins containing a peroxisomal targeting signal type 2. Mutations may result in a broad clinical spectrum of Refsum disease. PMID: 12522768
- Identification of PEX7 as the second gene involved in Refsum disease. PMID: 14713215
- Missense mutations, sequence duplications and deletions in PRX7 in 3 patients with the Refsum disease phenotypes. PMID: 14974078
顯示更多
收起更多
-
相關疾病:Peroxisome biogenesis disorder complementation group 11 (PBD-CG11); Rhizomelic chondrodysplasia punctata 1 (RCDP1); Peroxisome biogenesis disorder 9B (PBD9B)
-
亞細胞定位:Peroxisome. Cytoplasm.
-
蛋白家族:WD repeat peroxin-7 family
-
組織特異性:Ubiquitous. Highest expression in pancreas, skeletal muscle and heart.
-
數據庫鏈接:
Most popular with customers
-
-
YWHAB Recombinant Monoclonal Antibody
Applications: ELISA, WB, IHC, IF, FC
Species Reactivity: Human, Mouse, Rat
-
Phospho-YAP1 (S127) Recombinant Monoclonal Antibody
Applications: ELISA, WB, IHC
Species Reactivity: Human
-
-
-
-
-















