PET100 Antibody
-
中文名稱:PET100兔多克隆抗體
-
貨號:CSB-PA319771LA01HU
-
規格:¥440
-
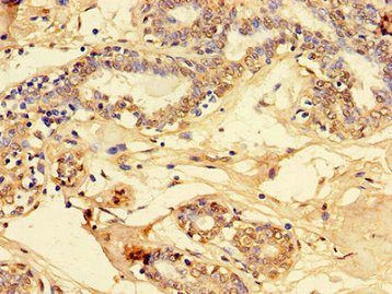
圖片:
-
其他:
產品詳情
-
產品名稱:Rabbit anti-Homo sapiens (Human) PET100 Polyclonal antibody
-
Uniprot No.:
-
基因名:PET100
-
別名:mitochondrial antibody; PET100 antibody; Protein PET100 homolog antibody; PT100_HUMAN antibody
-
宿主:Rabbit
-
反應種屬:Human
-
免疫原:Recombinant Human Protein PET100 homolog, mitochondrial protein (26-73AA)
-
免疫原種屬:Homo sapiens (Human)
-
標記方式:Non-conjugated
本頁面中的產品,PET100 Antibody (CSB-PA319771LA01HU),的標記方式是Non-conjugated。對于PET100 Antibody,我們還提供其他標記。見下表:
-
克隆類型:Polyclonal
-
抗體亞型:IgG
-
純化方式:>95%, Protein G purified
-
濃度:It differs from different batches. Please contact us to confirm it.
-
保存緩沖液:Preservative: 0.03% Proclin 300
Constituents: 50% Glycerol, 0.01M PBS, PH 7.4 -
產品提供形式:Liquid
-
應用范圍:ELISA, IHC, IF
-
推薦稀釋比:
Application Recommended Dilution IHC 1:20-1:200 IF 1:50-1:200 -
Protocols:
-
儲存條件:Upon receipt, store at -20°C or -80°C. Avoid repeated freeze.
-
貨期:Basically, we can dispatch the products out in 1-3 working days after receiving your orders. Delivery time maybe differs from different purchasing way or location, please kindly consult your local distributors for specific delivery time.
-
用途:For Research Use Only. Not for use in diagnostic or therapeutic procedures.
相關產品
靶點詳情
-
功能:Plays an essential role in mitochondrial complex IV maturation and assembly.
-
基因功能參考文獻:
- The short isoform of the myofibrillogenesis regulator 1 (MR-1S) as a new COX assembly factor, which works with the highly conserved PET100 and PET117 chaperones to assist COX biogenesis in higher eukaryotes. PMID: 28199844
- We identify PET100 as a complex IV biogenesis factor in humans and characterize its location and role in mitochondria.We found PET100 (MIM 614770) mutations in ten Lebanese individuals with Leigh syndrome and isolated complex IV deficiency. PMID: 24462369
- Protein identified in mammalian mitochondria PMID: 22356826
- COX assembly candidate, ortholog of fungal PET100 PMID: 22356826
-
亞細胞定位:Membrane; Single-pass membrane protein. Mitochondrion. Mitochondrion inner membrane.
-
蛋白家族:PET100 family
-
數據庫鏈接:
Most popular with customers
-
-
YWHAB Recombinant Monoclonal Antibody
Applications: ELISA, WB, IHC, IF, FC
Species Reactivity: Human, Mouse, Rat
-
-
-
-
-
-















