PEBP4 Antibody
-
中文名稱:PEBP4兔多克隆抗體
-
貨號:CSB-PA857025LA01HU
-
規格:¥440
-
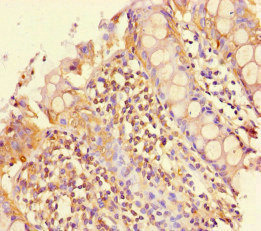
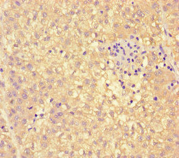
圖片:
-
其他:
產品詳情
-
產品名稱:Rabbit anti-Homo sapiens (Human) PEBP4 Polyclonal antibody
-
Uniprot No.:
-
基因名:PEBP4
-
別名:PEBP4 antibody; CORK1 antibody; UNQ1933/PRO4408 antibody; Phosphatidylethanolamine-binding protein 4 antibody; PEBP-4 antibody; hPEBP4 antibody; Protein cousin-of-RKIP 1 antibody
-
宿主:Rabbit
-
反應種屬:Human
-
免疫原:Recombinant Human Phosphatidylethanolamine-binding protein 4 protein (23-227AA)
-
免疫原種屬:Homo sapiens (Human)
-
標記方式:Non-conjugated
本頁面中的產品,PEBP4 Antibody (CSB-PA857025LA01HU),的標記方式是Non-conjugated。對于PEBP4 Antibody,我們還提供其他標記。見下表:
-
克隆類型:Polyclonal
-
抗體亞型:IgG
-
純化方式:>95%, Protein G purified
-
濃度:It differs from different batches. Please contact us to confirm it.
-
保存緩沖液:Preservative: 0.03% Proclin 300
Constituents: 50% Glycerol, 0.01M PBS, PH 7.4 -
產品提供形式:Liquid
-
應用范圍:ELISA, IHC
-
推薦稀釋比:
Application Recommended Dilution IHC 1:20-1:200 -
Protocols:
-
儲存條件:Upon receipt, store at -20°C or -80°C. Avoid repeated freeze.
-
貨期:Basically, we can dispatch the products out in 1-3 working days after receiving your orders. Delivery time maybe differs from different purchasing way or location, please kindly consult your local distributors for specific delivery time.
-
用途:For Research Use Only. Not for use in diagnostic or therapeutic procedures.
相關產品
靶點詳情
-
功能:Promotes AKT phosphorylation, suggesting a possible role in the PI3K-AKT signaling pathway.
-
基因功能參考文獻:
- PEBP4 was associated with the development and invasion of gastric cancer cells through activation of the PI3K/Akt signaling pathway PMID: 28193908
- knockdown of PEBP4 inhibited hypoxia-induced epithelial-to-mesenchymal transition in prostate cancer cells. PMID: 27261570
- this study suggested that PEBP4 might promote the progression of pancreatic ductal adenocarcinoma PMID: 26311050
- Increased expression of phosphatidylethanolamine-binding protein 4 strongly associates with gliomas grade. PMID: 26725095
- PEBP4 is a secreted protein and has multiple functions, including a role in Akt phosphorylation. PMID: 27033522
- Increased miR-15b expression in lung adenocarcinoma patients treated with cisplatin-based chemotherapy was correlated with low expression of PEBP4, decreased sensitivity to cisplatin and poor prognosis. PMID: 25721211
- concluded that hPEBP4, specifically expressed in rectal cancer cells, is associated with radioresistance of rectal cancer PMID: 24594691
- overexpression of PEBP4, which we show to be a target of miR-34a, reduces the sensitivity of lung cancer cells to cisplatin PMID: 25038915
- in human breast cancer hPEBP4 is a novel and clinically relevant metastasis accelerator gene PMID: 24276246
- Human PEBP4 expression correlates negatively with estrogen and progesterone receptors in endometrial carcinoma. PMID: 23818363
- hPEBP4 knockdown potentiated the chemosensitization of the rituximab in B-cell lymphoma cells by regulating the expression of Bcl-xl, Cycline E, p21(waf/cip1) and p53 and the activation of caspase-3 and caspase-9. PMID: 23451095
- the independent predictive values of hPEBP4 in response of rectal cancer to preoperative radiotherapy, are reported. PMID: 22801881
- PEBP4 enhanced cell proliferation and invasion ability and inhibited apoptosis. Decreased PEBP4 expression may play a role in the reduced invasion ability and increased apoptosis of the human non-small cell lung cancer cell line HCC827. PMID: 22983920
- PEBP4 over-expression may promote the invasion and metastasis of non-small cell lung cancer. PMID: 22076923
- The over-expression of PEBP4 protein may be related to the tumorigenesis, development, metastasis, and invasion of colorectal cancer. PMID: 22125029
- Data show that PEBP4 protein overexpression was associated with the occurrence, invasion, and metastasis of lung squamous cell carcinoma. PMID: 21887552
- hPEBP4 inhibits proteasome-dependent ERalpha degradation through the Src pathway. PMID: 20460377
- hPEBP4 promotes cellular resistance to TNF-induced apoptosis by inhibiting activation of the Raf-1/MEK/ERK pathway, JNK, and PE externalization. PMID: 15302887
- Silencing of hPEBP4, an important potential target, may be a promising approach for the treatment of ovarian cancer. PMID: 16865237
- Data show that PEBP4 participates in the control of muscle cell differentiation by modulating the activity of MEK and ERK. PMID: 19197339
顯示更多
收起更多
-
亞細胞定位:Secreted.
-
蛋白家族:Phosphatidylethanolamine-binding protein family
-
數據庫鏈接:
Most popular with customers
-
-
YWHAB Recombinant Monoclonal Antibody
Applications: ELISA, WB, IHC, IF, FC
Species Reactivity: Human, Mouse, Rat
-
-
-
-
-
-















