PDLIM5 Antibody
-
中文名稱:PDLIM5兔多克隆抗體
-
貨號:CSB-PA822223LA01HU
-
規格:¥440
-
圖片:
-
Immunohistochemistry of paraffin-embedded human prostate cancer using CSB-PA822223LA01HU at dilution of 1:100
-
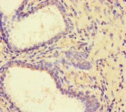
Immunohistochemistry of paraffin-embedded human endometrial cancer using CSB-PA822223LA01HU at dilution of 1:100
-
Immunofluorescent analysis of Hela cells using CSB-PA822223LA01HU at dilution of 1:100 and Alexa Fluor 488-congugated AffiniPure Goat Anti-Rabbit IgG(H+L)
-
-
其他:
產品詳情
-
產品名稱:Rabbit anti-Homo sapiens (Human) PDLIM5 Polyclonal antibody
-
Uniprot No.:
-
基因名:PDLIM5
-
別名:ENH antibody; ENH1 antibody; Enigma homolog antibody; Enigma like LIM domain protein antibody; Enigma like PDZ and LIM domains protein antibody; Enigma-like PDZ and LIM domains protein antibody; L 9 antibody; L9 antibody; LIM antibody; PDLI5_HUMAN antibody; PDLIM5 antibody; PDZ and LIM domain 5 antibody; PDZ and LIM domain protein 5 antibody
-
宿主:Rabbit
-
反應種屬:Human
-
免疫原:Recombinant Human PDZ and LIM domain protein 5 protein (268-404AA)
-
免疫原種屬:Homo sapiens (Human)
-
標記方式:Non-conjugated
本頁面中的產品,PDLIM5 Antibody (CSB-PA822223LA01HU),的標記方式是Non-conjugated。對于PDLIM5 Antibody,我們還提供其他標記。見下表:
-
克隆類型:Polyclonal
-
抗體亞型:IgG
-
純化方式:>95%, Protein G purified
-
濃度:It differs from different batches. Please contact us to confirm it.
-
保存緩沖液:Preservative: 0.03% Proclin 300
Constituents: 50% Glycerol, 0.01M PBS, PH 7.4 -
產品提供形式:Liquid
-
應用范圍:ELISA, IHC, IF
-
推薦稀釋比:
Application Recommended Dilution IHC 1:20-1:200 IF 1:50-1:200 -
Protocols:
-
儲存條件:Upon receipt, store at -20°C or -80°C. Avoid repeated freeze.
-
貨期:Basically, we can dispatch the products out in 1-3 working days after receiving your orders. Delivery time maybe differs from different purchasing way or location, please kindly consult your local distributors for specific delivery time.
-
用途:For Research Use Only. Not for use in diagnostic or therapeutic procedures.
相關產品
靶點詳情
-
功能:May play an important role in the heart development by scaffolding PKC to the Z-disk region. May play a role in the regulation of cardiomyocyte expansion. Overexpression promotes the development of heart hypertrophy. Contributes to the regulation of dendritic spine morphogenesis in neurons. May restrain postsynaptic growth of excitatory synapses.
-
基因功能參考文獻:
- this study shows functional importance of PDLIM5 for proper kAE1 membrane residency, as a crucial linker between kidneyAE1 and actin cytoskeleton-associated proteins in polarized cells PMID: 28045035
- PDLIM5 promotes papillary thyroid carcinoma via activation of the Ras-ERK pathway. PMID: 29574154
- PDLIM5 was strongly up-regulated during cardiomyogenesis and novel stage-specific isoforms were detected for PDLIM5 PMID: 28139119
- Findings provide evidence of shared genetic variants in PDLIM5 gene influencing alcohol dependence, type 2 diabetes, and hypertension. PMID: 27693979
- The study provides evidence of several genetic variants within the PDLIM5 gene and interactions between PDLIM5 and steroid use influencing cancer. PMID: 27350677
- It can be deduced that the nonsynonymous rs7690296 polymorphism of PDLIM5 could play an important role in the pathophysiology of both bipolar disorder and schizophrenia. PMID: 24064681
- PDLIM5 (rs17021918,T), SLC22A3 (rs9364554,C) and NKX3-1 (rs1512268,A) SNPs might not be associated with prostate cancer in Chinese men. PMID: 22741436
- The significant difference in expression of PDLIM5 mRNA in the peripheral blood leukocytes of treatment-naive bipolar (BPD) patients versus that of healthy control subjects suggests that it may be a good biological marker for BPD. PMID: 23031404
- LIM domains have a novel molecular function: the regulation of PKC activities in a PKC isoform-specific manner. PMID: 21266195
- Altered expression of LIM was found in brains and lymphoblastoid cells from patients with bipolar disorder. PMID: 14743183
- It is confirmed a decreased expression of LIM in the lymphoblastoid cell lines from patients with bipolar I disorder and schizophrenia. PMID: 15362566
- Western blot studies of muscle tissues revealed that ENH4 is present only in skeletal muscle and there is a specific distribution of ENH members between skeletal and cardiac muscles, which is different in human and mouse. PMID: 15555569
- Genetic association study revealed the association of single nucleotide polymorphism (SNP)1 (rs10008257) with bipolar disorder. PMID: 16044170
- ENH is a restraining factor of the oncogenic activity of inhibitor of DNA binding 2 proteins in neural tumors PMID: 16549780
- Our investigation indicates that the lower expression levels of LIM mRNA in the peripheral leukocytes are associated with the depressive state and that its recovery after treatment may be an adaptive change induced by the antidepressant. PMID: 16595163
- We suggest that the higher expression levels of the PDLIM5 mRNA in the peripheral leukocytes may be a candidate marker for medication-free schizophrenic patients. PMID: 17287082
- our results provide further evidence to support PDLIM5 as a potential susceptible gene for schizophrenia PMID: 18021463
- PDLIM5 gene is associated with recurrent major depressive disorder. PMID: 18197271
- tested for an association between three single nucleotide polymorphisms at the PDLIM5 gene and lithium prophylaxis in a Sardinian sample comprised of 155 bipolar patients treated with lithium PMID: 18456508
- PDLIM5 may have a minor effect on susceptibility to bipolar disorder in Caucasians. PMID: 18496208
- The aim of this study was to investigate the association between PDLIM5 single nucleotide polymorphisms and bipolar disorder in a case-control sample. PMID: 18496210
- Our results suggest that PDLIM5 might play a role in susceptibility to bipolar disorder among the Chinese Han population. PMID: 19448850
顯示更多
收起更多
-
亞細胞定位:Cell junction, synapse, postsynaptic density. Cell junction, synapse, presynapse. Cell junction, synapse, postsynapse. Cytoplasm, cytosol.
-
組織特異性:Heart and skeletal muscle specific. Expression is commonly increased in the brain of patients with bipolar disorder, schizophrenia, and major depression.
-
數據庫鏈接:
Most popular with customers
-
-
YWHAB Recombinant Monoclonal Antibody
Applications: ELISA, WB, IHC, IF, FC
Species Reactivity: Human, Mouse, Rat
-
Phospho-YAP1 (S127) Recombinant Monoclonal Antibody
Applications: ELISA, WB, IHC
Species Reactivity: Human
-
-
-
-
-















