PDIA2 Antibody
-
中文名稱:PDIA2兔多克隆抗體
-
貨號:CSB-PA269141
-
規格:¥1100
-
圖片:
-
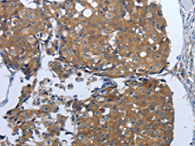
The image on the left is immunohistochemistry of paraffin-embedded Human breast cancer tissue using CSB-PA269141(PDIA2 Antibody) at dilution 1/50, on the right is treated with synthetic peptide. (Original magnification: ×200)
-
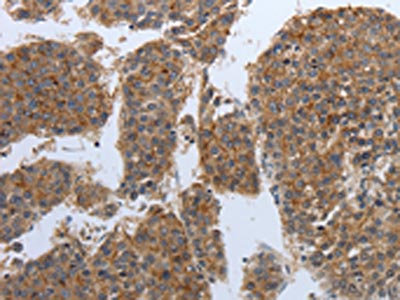
The image on the left is immunohistochemistry of paraffin-embedded Human liver cancer tissue using CSB-PA269141(PDIA2 Antibody) at dilution 1/50, on the right is treated with synthetic peptide. (Original magnification: ×200)
-
-
其他:
產品詳情
-
Uniprot No.:
-
基因名:PDIA2
-
別名:Pancreas specific protein disulfide isomerase antibody; Pancreas-specific protein disulfide isomerase antibody; Pancreatic protein disulfide isomerase antibody; PDA2 antibody; PDI antibody; PDIA2 antibody; PDIA2_HUMAN antibody; PDIp antibody; PDIR antibody; Protein disulfide isomerase A2 antibody; Protein disulfide isomerase antibody; Protein disulfide isomerase associated 2 antibody; Protein disulfide isomerase family A member 2 antibody; Protein disulfide isomerase pancreatic antibody; Protein disulfide-isomerase A2 antibody; Rho GDP dissociation inhibitor gamma antibody
-
宿主:Rabbit
-
反應種屬:Human
-
免疫原:Synthetic peptide of Human PDIA2
-
免疫原種屬:Homo sapiens (Human)
-
標記方式:Non-conjugated
-
抗體亞型:IgG
-
純化方式:Antigen affinity purification
-
濃度:It differs from different batches. Please contact us to confirm it.
-
保存緩沖液:-20°C, pH7.4 PBS, 0.05% NaN3, 40% Glycerol
-
產品提供形式:Liquid
-
應用范圍:ELISA,IHC
-
推薦稀釋比:
Application Recommended Dilution ELISA 1:2000-1:10000 IHC 1:50-1:200 -
Protocols:
-
儲存條件:Upon receipt, store at -20°C or -80°C. Avoid repeated freeze.
-
貨期:Basically, we can dispatch the products out in 1-3 working days after receiving your orders. Delivery time maybe differs from different purchasing way or location, please kindly consult your local distributors for specific delivery time.
-
用途:For Research Use Only. Not for use in diagnostic or therapeutic procedures.
相關產品
靶點詳情
-
功能:Acts as an intracellular estrogen-binding protein. May be involved in modulating cellular levels and biological functions of estrogens in the pancreas. May act as a chaperone that inhibits aggregation of misfolded proteins.
-
基因功能參考文獻:
- Galectin-9, a soluble lectin expressed by T cells, endothelial cells and dendritic cells, binds to and retains PDI on the cell surface. PMID: 28810662
- PDI overexpression is associated with Multiple Myeloma. PMID: 27197150
- Tissue factor-regulated vascular smooth cell migration and microvessel formation is under the control of the ER-protein PDIA2. PMID: 25631539
- It was found that PDI interacts with dengue virus nonstructural protein 1 (NS1) intracellularly as well as on the surface in the lipid raft domain. PMID: 25664880
- Data show that cell surface disulfide isomerase (PDI) expression and function regulate the capacity of natriuretic peptides to generate cyclic guanosine monophosphate (cGMP) through interaction with their receptors. PMID: 25419565
- The redox-regulated open/closed conformational switch of hPDI endows the protein with versatile target-binding capacities for its enzymatic and chaperone functions. PMID: 22657537
- These results indicate that BPA, a widely distributed and potentially harmful chemical, inhibits Ero1-PDI-mediated disulfide bond formation. PMID: 25122773
- PDI appears to regulate cytoskeletal reorganization by the thiol-disulfide exchange in beta-actin via a redox-dependent mechanism. PMID: 24415753
- Data indicate that protein disulfide isomerase (PDI) and ERp44 dynamically localize Ero1alpha and peroxiredoxin 4 in early secretory compartment (ESC). PMID: 23979138
- GPx7 is an unusual CysGPx catalyzing the peroxidatic cycle by a one Cys mechanism in which GSH and PDI are alternative substrates. PMID: 23454490
- Human major histocompatibility complex class 1 antigens (HLA-A,B,C) are potential binding partners of PDIA2, suggesting an involvement for PDIA2 in antigen presentation. PMID: 23167757
- Data indicate that apoptosis induced by misfolded PrP proteins could be regulated by protein disulfide isomerase (PDI) via mitochondrial dysfunction. PMID: 22685557
- The hydrogen bond, formed between the 3-hydroxyl group of Estradiol (E(2)) (donor) and pancreas-specific protein disulfide isomerase's His278 (acceptor), is indispensable for its binding. PMID: 21080683
- PDI is required to support Nox1/redox and GTPase-dependent VSMC migration. PMID: 22773830
- PDI exhibits unfoldase activity for proinsulin, increasing retention of proinsulin within the ER of pancreatic beta-cells PMID: 22105075
- Data show that diabetic patients had a greater number of transferase-mediated dUTP nick-end labeling-positive cells than nondiabetic patients despite a greater myocardial protein disulfide isomerase (PDI)expression suggesting altered PDI function. PMID: 21637911
- surface-associated PDI is an important regulator of coagulation factor ligation to thrombin-stimulated platelets and of subsequent feedback activation of platelet thrombin generation PMID: 21929690
- mechanistic insights into the redox-regulated chaperone activity of human PDI. PMID: 22090031
- the intramolecular electron transfer from the a domain to the a' domain within PDI during its oxidation by ERO1alpha. PMID: 21757736
- tein disulfide isomerase redox-dependent association with p47(phox): evidence for an organizer role in leukocyte NADPH oxidase activation. PMID: 21791598
- Protein disulfide isomerase blocks CEBPA translation and is up-regulated during the unfolded protein response in acute myeloid leukemia. PMID: 21471526
- PDI knockdown-induced cell death is cell-line-dependent and involves apoptosis in MCF-7 cells. PMID: 21297336
- PDI is a major target of post-streptococcal autoimmunity. PMID: 20886095
- These results suggest that PDI could be a therapeutic target to prevent ER stress in neuronal cells in Alzheimer disease. PMID: 20550946
- PDI has a role in regulating tissue factor that involves FVIIa activity [review] PMID: 20163832
- Ero1alpha is expressed on blood platelets in association with protein-disulfide isomerase and contributes to redox-controlled remodeling of alphaIIbbeta3. PMID: 20562109
- Plasticity of human protein disulfide isomerase: evidence for mobility around the X-linker region and its functional significance. PMID: 20516074
- new mechanism for PDI contribution to coagulation on endothelial cells, namely, the regulation of PS exposure, where PDI acts as a negative regulator of coagulation PMID: 20448108
- Among target genes of XBP-1, expression of protein disulfide isomerase (PDI), but not glucose- regulated protein 78 (GRP78), was increased in AD PMID: 20368688
- an appropriate Ero1alpha-PDI ratio is critical for regulating the binding-release cycle of CTA1 by PDI during retro-translocation, and PDI's redox state has a role in targeting it to the retro-translocon PMID: 20130085
- Selective expression of pancreas-specific protein disulfide-isomerase confers strong protection against heat shock and oxidative-stress-induced cell death. PMID: 20423326
- The absence of PDIp expression in pancreatic adenocarcinoma may serve as an additional biomarker for pancreatic cancer. PMID: 19821078
- A haplotype within the AXIN1-PDIA2 locus (p-value of 2.926x10(-06)) and a haplotype within the Endoglin gene (p-value of 5.881x10(-04)) were found to be strongly associated with bicuspid aortic valve PMID: 20098615
- The b domain of human PDI tends to form homodimers - both in isolation and in other contexts. This tendency is moderated by the adjacent x region, which can bind to a surface patch on the b domain. PMID: 19844948
- Evidence that protein disulfide isomerase (PDI) is involved in DNA-nuclear matrix anchoring. PMID: 11968009
- role of association with ubiquilin in the endoplasmic reticulum in stress-induced apoptotic cell death PMID: 12095988
- dissociation of PDI from substrates observed in the presence of glutathione disulfide can be explained by competition for the peptide-binding site on PDI PMID: 12485997
- PDI has a role in conferring resistance to apoptosis under hypoxia and a potential role in the oxygen-sensing apparatus PMID: 12766950
- study of the principal substrate binding site of PDI PMID: 14684740
- Low resolution structure of the entire PDI molecule in solution has been determined for the first time by the small angle X-ray scattering technique PMID: 16407203
- PDI stabilizes a peptide-receptive site by regulating oxidation state of the disulfide bond in MHC peptide-binding groove, an essential function for selecting optimal peptides; link between thiol-based redox regulation & antigen processing established PMID: 17055437
- These data indicate that cytosolic PDI is a substrate of caspase-3 and -7, and that it has an anti-apoptotic action. PMID: 17978580
- Study shows that SUMF1 interacts with protein disulfide isomerase (PDI) and ERp44, two thioredoxin family members residing in the early secretory pathway, and with ERGIC-53, a lectin that shuttles between the ER and the Golgi. PMID: 18508857
- Platelet microparticle-associated PDI promotes platelet aggregation and inactivates insulin. PMID: 18691554
- The x region of PDI can adopt alternative conformations during the functional cycle of PDI action and that these are linked to the ability of PDI to interact with folding substrates. PMID: 18801374
- a role for both GRP78 and PDI in insulin biosynthesis, although an excess of PDI disrupts normal proinsulin processing. PMID: 19103594
- structures and functions of human PDIp are redox-regulated through formation of an inter-subunit disulfide bond between two cysteine-4 residues PMID: 19150607
- the solution structure of the second and third domains of human protein disulfide isomerase (b and b', respectively) by triple-resonance NMR spectroscopy and molecular modeling PMID: 19187238
- PDIp can also serve as an effective modulator of the cellular levels and biological actions of endogenous estrogens in the pancreas where estrogen receptors alpha and beta and PDIp are co-present. PMID: 19429457
- The b' domain of PDI contributes to binding unfolded proteins; its structure is stabilized by the b domain. PMID: 19636846
顯示更多
收起更多
-
亞細胞定位:Endoplasmic reticulum lumen.
-
蛋白家族:Protein disulfide isomerase family
-
組織特異性:Highly expressed in pancreas (at protein level).
-
數據庫鏈接:
Most popular with customers
-
-
YWHAB Recombinant Monoclonal Antibody
Applications: ELISA, WB, IHC, IF, FC
Species Reactivity: Human, Mouse, Rat
-
Phospho-YAP1 (S127) Recombinant Monoclonal Antibody
Applications: ELISA, WB, IHC
Species Reactivity: Human
-
-
-
-
-















