PDCD5 Antibody
-
中文名稱:PDCD5兔多克隆抗體
-
貨號:CSB-PA017671ESR2HU
-
規格:¥440
-
圖片:
-
其他:
產品詳情
-
產品名稱:Rabbit anti-Homo sapiens (Human) PDCD5 Polyclonal antibody
-
Uniprot No.:
-
基因名:PDCD5
-
別名:PDCD5 antibody; PDCD5_HUMAN antibody; Programmed cell death protein 5 antibody; Protein TFAR19 antibody; TF 1 cell apoptosis related protein 19 antibody; TF-1 cell apoptosis-related protein 19 antibody; TFAR19 antibody; TFAR19 novel apoptosis-related antibody
-
宿主:Rabbit
-
反應種屬:Human
-
免疫原:Recombinant Human Programmed cell death protein 5 protein (1-125AA)
-
免疫原種屬:Homo sapiens (Human)
-
標記方式:Non-conjugated
-
克隆類型:Polyclonal
-
抗體亞型:IgG
-
純化方式:Antigen Affinity Purified
-
濃度:It differs from different batches. Please contact us to confirm it.
-
保存緩沖液:PBS with 0.02% sodium azide, 50% glycerol, pH7.3.
-
產品提供形式:Liquid
-
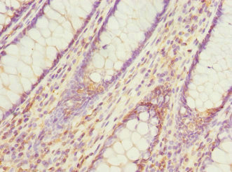
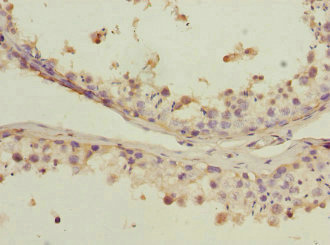
應用范圍:ELISA, IHC
-
推薦稀釋比:
Application Recommended Dilution IHC 1:20-1:200 -
Protocols:
-
儲存條件:Upon receipt, store at -20°C or -80°C. Avoid repeated freeze.
-
貨期:Basically, we can dispatch the products out in 1-3 working days after receiving your orders. Delivery time maybe differs from different purchasing way or location, please kindly consult your local distributors for specific delivery time.
-
用途:For Research Use Only. Not for use in diagnostic or therapeutic procedures.
相關產品
靶點詳情
-
功能:May function in the process of apoptosis.
-
基因功能參考文獻:
- Collectively, these data demonstrate that PPEF-1 plays a pivotal role in tumorigenesis of lung cancer cells by reducing PDCD5-mediated genotoxic stress responses. PMID: 28051100
- In the high malignant group the PDCD4 mRNA and PDCD5 mRNA expressions were significantly decreased compared with the low malignant group and the control group. PDCD4 mRNA and PDCD5 mRNA expressions are promising targets for the diagnosis and treatment of glioma. PMID: 29921407
- serum PDCD5 levels reflect endothelial NO production and are correlated with diabetes mellitus, high-density lipoprotein cholesterol, and coronary calcium PMID: 29588416
- As a transcriptional activator, PITX1 regulates apoptosis-related genes, including PDCD5, during gastric carcinogenesis. PMID: 29734189
- DKK-1 and PDCD5 can be independent predictors of overall survival in patients suffering from chondrosarcoma. PMID: 27255549
- Endogenous PDCD5 overexpression accelerated multiple myeloma cell apoptosis under dexamethasone treatment. PMID: 26617773
- Studies indicate that programmed cell death 5 (PDCD5) interacts with the tumor protein p53 (p53) pathway to promote cell apoptosis. PMID: 26433055
- This review describes what is known about PDCD5 and its cellular functions. [review] PMID: 26775586
- The results suggest a role of PDCD5 in the regulation of p53 function but unrelated to cell cycle arrest or apoptosis, at least in the cell types investigated. PMID: 26062895
- PDCD5 selectively mediates HDAC3 dissociation from p53, which induces HDAC3 cleavage and ubiquitin-dependent proteasomal degradation. This is a a mechanism for p53 activation via PDCD5-dependent HDAC3 decay under genotoxic stress conditions. PMID: 26077467
- PDCD5 expression is negatively correlated with disease progression and stage in ovarian cancer. PMID: 25881604
- These findings uncovered an apoptotic signaling cascade linking YAF2, PDCD5, and TP53 during genotoxic stress responses. PMID: 25603536
- Transgenic mice with systemic overexpression of human PDCD5 were protected from cardiac remodeling. PMID: 25881505
- Findings have uncovered an apoptotic signaling cascade linking PDCD5, OTUD5, and p53 during genotoxic stress responses. PMID: 25499082
- Authors identified DNAJB1 as a negative regulator of PDCD5-mediated apoptosis and found that the apoptosis network of PDCD5 regulates cancer cell death. PMID: 25444898
- We confirmed that PDCD5 overexpression stimulated the promoter activities of KLF9 by luciferase reporter assays. PMID: 24173774
- PDCD5 is necessary and sufficient for NF-kappaB p65 mediated apoptosis PMID: 24343129
- The expression of PDCD5 and its protein were shown to be reduced in laryngeal squamous cell carcinoma. The functional importance of PDCD5 as a regulating agent in cell apoptosis suggests that it may play a key role in tumour pathogenesis and development. PMID: 24265335
- PDCD5 bound the apical domain of the CCTbeta subunit, projecting above the folding cavity without entering it. Like PDCD5, beta-tubulin also interacts with the CCTbeta apical domain, but a second site is found at the sensor loop deep within the folding cavity. PMID: 24375412
- PDCD5 could be considered as a reliable marker of favorable prognosis of HCC patients PMID: 23807738
- PDCD5 may contribute to maintain a basal pool of p53 proteins in unstressed conditions, but upon DNA damage it functions as a co-activator of p53 to regulate transcription and cell cycle arrest. PMID: 22914926
- Insulin-like growth factor 1 down-regulates programmed cell death 5 in osteoarthritis chondrocytes. PMID: 23322062
- Data indicate that the expressions of genes PDCD5 and TIMP2 were consistent with their DNA methylation profiles. PMID: 23369618
- a correlation between increased levels of PDCD5 in serum and liver disease progression and indicate the potential utility of serum PDCD5 as a biomarker for monitoring liver injury. PMID: 23656249
- Transgenic PDCD5 plays an antitumor role with increased expression, suppressing skin cancer development. PMID: 23688867
- Plasma and synovial fluid PDCD5 expression levels are inversely associated with TNF-alpha and disease activity in patients with rheumatoid arthritis. PMID: 23327497
- results suggest that PDCD5 expression plays a significant role in the malignant progression of human gastrointestinal stromal tumors and may be a key inhibitory factor PMID: 22965478
- PDCD5 participates in the inflammatory process of asthmatic airway. Its abnormal expression may be associated with the uncontrolled state of asthmatics. PMID: 22883196
- PDCD5 promotes chemosensitivity by activating the mitochondria-related apoptotic pathway. PMID: 22688731
- This study is the first providing evidence that PDCD5 plays an important role in cardiac remodeling. PMID: 22253891
- the PDCD5 binding site on p53 is localized within residues 41-56 of p53 TAD2 subdomain while p53 binds preferentially to the positively charged surface region around the C-terminals of helices alpha3 and alpha5 and the N-terminal of helix alpha4 of PDCD5 PMID: 22372375
- The effect of recombinant human PDCD5 was also investigated and shown to sensitize cells to DNA damage by promoting caspase-3 activity. PMID: 22261045
- Abnormal expression of pdcd5 may be involved in the pathogenesis of multiple myeloma. PMID: 20561417
- Lost or reduced PDCD5 expression may contribute to the pathogenesis of human serous cystadenocarcinomas. PMID: 21165576
- Downregulated expression of programmed cell death 5 is associated with chondrosarcoma. PMID: 20872801
- Data show that the number of apoptotic cells in renal tubuli with lupus nephritis correlated negatively with the intensity of PDCD5 expression. PMID: 16083554
- Overexpression of PDCD5 could enhance apoptosis of rheumatoid arthritis fibroblast-like synoviocytes induced by triptolide. PMID: 19088824
- protein overexpression enhance apoptosis in triptolide-induced synoviocytes of rheumatoid arthritis patients PMID: 20047520
- By downregulating apoptosis, low PDCD5 expression may play an important role in the occurrence and development of PAROSTATIC NEOPLASM. PMID: 20120772
- PDCDS was highly expressed in some ragged red fibers in patients with limb-girdle type mitochondrial myopathy and chronic progressive external ophthalmoplegia. PMID: 19957502
- Results imply that the PDCD5 gene may be a target gene under the control of some important apoptosis-related transcriptional factors during the cell apoptosis. PMID: 15033527
- The effects of the secondary structure of PDCD5 on its tertiary structure and function are reported. PMID: 16083422
- -27G/-11A SNP is associated with reduced PDCD5 promoter activity and increased susceptibility to chronic myelogenous leukemia. PMID: 16361542
- Could play an important role in regulation of apoptotic processes in gastric cancer cells and gastric tumors. PMID: 16547588
- PDCD5 may be involved in the pathogenesis of rheumatoid arthritis. PMID: 17468978
- PDCD5 expression in bone marrow nucleated cells in untreated acute myeloid leukemia patients is lower than in normal controls. PMID: 17605845
- exogenous PDCD5 expression enhances the chemosensitivity of K562 leukemia cells to either low or high doses of idarubicin in vitro, resulting in increased apoptosis. PMID: 18401719
- Reduced expression of PDCD5 is associated with high-grade astrocytic gliomas PMID: 18695908
- PDCD5 contributes to maintaining a basal pool of Tip60 and its HAT activity PMID: 19308289
- Studies of structure-function relationship of PDCD5 by multidimensional NMR methods and flow cytometer and fluorescence microscopey. PMID: 19358820
顯示更多
收起更多
-
蛋白家族:PDCD5 family
-
組織特異性:Widely expressed. Highest levels in heart, testis, kidney, pituitary gland, adrenal gland and placenta.
-
數據庫鏈接:
Most popular with customers
-
-
YWHAB Recombinant Monoclonal Antibody
Applications: ELISA, WB, IHC, IF, FC
Species Reactivity: Human, Mouse, Rat
-
-
-
-
-
-















