PDCD2 Antibody
-
中文名稱:PDCD2兔多克隆抗體
-
貨號:CSB-PA116985
-
規格:¥1100
-
圖片:
-
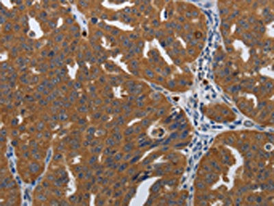
The image on the left is immunohistochemistry of paraffin-embedded Human ovarian cancer tissue using CSB-PA116985(PDCD2 Antibody) at dilution 1/10, on the right is treated with synthetic peptide. (Original magnification: ×200)
-
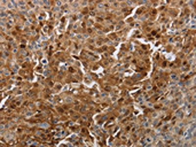
The image on the left is immunohistochemistry of paraffin-embedded Human cervical cancer tissue using CSB-PA116985(PDCD2 Antibody) at dilution 1/10, on the right is treated with synthetic peptide. (Original magnification: ×200)
-
Gel: 10%SDS-PAGE, Lysate: 40 μg, Lane: Hela cells, Primary antibody: CSB-PA116985(PDCD2 Antibody) at dilution 1/200, Secondary antibody: Goat anti rabbit IgG at 1/8000 dilution, Exposure time: 20 seconds
-
-
其他:
產品詳情
-
Uniprot No.:
-
基因名:PDCD2
-
別名:MGC12347 antibody; OTTHUMP00000017702 antibody; PDCD 2 antibody; Pdcd2 antibody; PDCD2 protein antibody; PDCD2_HUMAN antibody; Programmed cell death 2 antibody; Programmed cell death protein 2 antibody; RP 8 antibody; RP8 antibody; Rp8 homolog antibody; Zinc finger MYND domain containing protein 7 antibody; Zinc finger MYND domain-containing protein 7 antibody; Zinc finger protein Rp 8 antibody; Zinc finger protein Rp-8 antibody; Zinc finger protein Rp8 antibody; ZMYND 7 antibody; ZMYND7 antibody
-
宿主:Rabbit
-
反應種屬:Human,Mouse,Rat
-
免疫原:Synthetic peptide of Human PDCD2
-
免疫原種屬:Homo sapiens (Human)
-
標記方式:Non-conjugated
-
抗體亞型:IgG
-
純化方式:Antigen affinity purification
-
濃度:It differs from different batches. Please contact us to confirm it.
-
保存緩沖液:-20°C, pH7.4 PBS, 0.05% NaN3, 40% Glycerol
-
產品提供形式:Liquid
-
應用范圍:ELISA,WB,IHC
-
推薦稀釋比:
Application Recommended Dilution ELISA 1:1000-1:5000 WB 1:200-1:1000 IHC 1:25-1:100 -
Protocols:
-
儲存條件:Upon receipt, store at -20°C or -80°C. Avoid repeated freeze.
-
貨期:Basically, we can dispatch the products out in 1-3 working days after receiving your orders. Delivery time maybe differs from different purchasing way or location, please kindly consult your local distributors for specific delivery time.
-
用途:For Research Use Only. Not for use in diagnostic or therapeutic procedures.
相關產品
靶點詳情
-
功能:May be a DNA-binding protein with a regulatory function. May play an important role in cell death and/or in regulation of cell proliferation.
-
基因功能參考文獻:
- PDCD2 and NCoR1 may act as tumor suppressors in Gastrointestinal stromal tumors cells through the Smad signaling pathway. PMID: 26589942
- PDCD2 may play an important role in tumor suppression in osteosarcoma. These mechanisms might be related to immune response induced by CD4(+) and CD8(+) T cells. PMID: 26617804
- Low PDCD2 expression is associated with gastric cancer. PMID: 25111461
- Loss of PDCD2 expression could contribute to gastric cancer development and progression. PMID: 25334010
- Expression of human PDCD2 fully rescues the Drosophila Zfrp8 phenotype, underlining the functional conservation of Zfrp8/PDCD2. PMID: 24381196
- PDCD2 RNA expression in acute leukemia patients correlates with disease status and is a significant predictor of clinical relapse. PMID: 23760497
- PDCD2 has a novel regulatory role in human hematopoiesis and is essential for erythroid development. PMID: 22922207
- Transfection of a construct expressing PDCD2 induces apoptosis in human cell lines through activation of the caspase cascade. PMID: 20605493
- To study the role of PDCD2_C domain in apoptosis, the cDNAs of two isoforms of PDCD2 and MGC13096 were cloned. PDCD2 (NM_002598) was over expressed when endothelial cells treated with leukotriene D4 or natural killer cells were activated by IL-2. PMID: 16311922
- repression of PDCD2 by BCL6 is likely important in the pathogenesis of certain human lymphomas PMID: 17468402
顯示更多
收起更多
-
亞細胞定位:Nucleus.
-
組織特異性:Ubiquitous.
-
數據庫鏈接:
Most popular with customers
-
-
YWHAB Recombinant Monoclonal Antibody
Applications: ELISA, WB, IHC, IF, FC
Species Reactivity: Human, Mouse, Rat
-
Phospho-YAP1 (S127) Recombinant Monoclonal Antibody
Applications: ELISA, WB, IHC
Species Reactivity: Human
-
-
-
-
-















