PBOV1 Antibody
-
中文名稱:PBOV1兔多克隆抗體
-
貨號:CSB-PA191657
-
規格:¥1100
-
圖片:
-
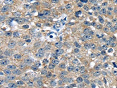
The image on the left is immunohistochemistry of paraffin-embedded Human breast cancer tissue using CSB-PA191657(PBOV1 Antibody) at dilution 1/20, on the right is treated with synthetic peptide. (Original magnification: ×200)
-
Gel: 12%SDS-PAGE,Lysate: 40 μg,,Primary antibody: CSB-PA191657(PBOV1 Antibody) at dilution 1/200 dilution,Secondary antibody: Goat anti rabbit IgG at 1/8000 dilution,Exposure time: 40 seconds
-
-
其他:
產品詳情
-
Uniprot No.:
-
基因名:PBOV1
-
別名:ibody; PBOV1 antibody; PBOV1_HUMAN antibody; Prostate and breast cancer overexpressed 1 antibody; Prostate and breast cancer overexpressed gene 1 protein antibody; Protein UROC28 antibody; UC28 antibody; UROC28 antibody
-
宿主:Rabbit
-
反應種屬:Human,Mouse
-
免疫原:Synthetic peptide of Human PBOV1
-
免疫原種屬:Homo sapiens (Human)
-
標記方式:Non-conjugated
-
抗體亞型:IgG
-
純化方式:Antigen affinity purification
-
濃度:It differs from different batches. Please contact us to confirm it.
-
保存緩沖液:-20°C, pH7.4 PBS, 0.05% NaN3, 40% Glycerol
-
產品提供形式:Liquid
-
應用范圍:ELISA,WB,IHC
-
推薦稀釋比:
Application Recommended Dilution ELISA 1:2000-1:5000 WB 1:500-1:2000 IHC 1:10-1:50 -
Protocols:
-
儲存條件:Upon receipt, store at -20°C or -80°C. Avoid repeated freeze.
-
貨期:Basically, we can dispatch the products out in 1-3 working days after receiving your orders. Delivery time maybe differs from different purchasing way or location, please kindly consult your local distributors for specific delivery time.
-
用途:For Research Use Only. Not for use in diagnostic or therapeutic procedures.
相關產品
靶點詳情
-
基因功能參考文獻:
- Study shows that patients with high PBOV1 expression had longer overall survival; patients with low PBOV1 expression had shorter survival suggesting that PBOV1 may play an important role in suppressing ovarian cancer proliferation and carcinogenesis. PMID: 26549570
- Data indicate that analysis of public microarray data suggests that PBOV1 activation in tumors could be dependent on the Hedgehog signaling pathway. PMID: 23418531
- UROC28 mRNA expression was greater in breast cancers than in noncancerous tissues (p < 0.0001), as was ERBB2 mRNA. PMID: 12553037
- Approximately half of the prostate tumors displayed increased copy numbers of the BMP2, BMP5, BMP7, and UC28 gene loci, which may account for their abnormal gene expression patterns in neoplastic prostate tissue. PMID: 17656261
-
亞細胞定位:Cytoplasm. Nucleus.
-
組織特異性:Expressed in colon, prostate, small intestine, testis and spleen, with lower expression in thymus, ovary, and peripheral blood leukocytes. Up-regulated expression in prostate, breast, and bladder cancer, but not in lung and colon cancer.
-
數據庫鏈接:
Most popular with customers
-
-
YWHAB Recombinant Monoclonal Antibody
Applications: ELISA, WB, IHC, IF, FC
Species Reactivity: Human, Mouse, Rat
-
Phospho-YAP1 (S127) Recombinant Monoclonal Antibody
Applications: ELISA, WB, IHC
Species Reactivity: Human
-
-
-
-
-















