PARP4 Antibody
-
中文名稱:PARP4兔多克隆抗體
-
貨號:CSB-PA947926
-
規格:¥1100
-
圖片:
-
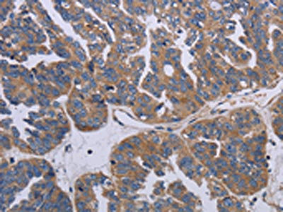
The image on the left is immunohistochemistry of paraffin-embedded Human prostate cancer tissue using CSB-PA947926(PARP4 Antibody) at dilution 1/20, on the right is treated with synthetic peptide. (Original magnification: ×200)
-
The image on the left is immunohistochemistry of paraffin-embedded Human ovarian cancer tissue using CSB-PA947926(PARP4 Antibody) at dilution 1/20, on the right is treated with synthetic peptide. (Original magnification: ×200)
-
-
其他:
產品詳情
-
Uniprot No.:
-
基因名:
-
別名:PARP4 antibody; ADPRTL1 antibody; KIAA0177 antibody; PARPL antibody; Protein mono-ADP-ribosyltransferase PARP4 antibody; EC 2.4.2.- antibody; 193 kDa vault protein antibody; ADP-ribosyltransferase diphtheria toxin-like 4 antibody; ARTD4 antibody; PARP-related/IalphaI-related H5/proline-rich antibody; PH5P antibody; Poly [ADP-ribose] polymerase 4 antibody; PARP-4 antibody; Vault poly(ADP-ribose) polymerase antibody; VPARP antibody
-
宿主:Rabbit
-
反應種屬:Human
-
免疫原:Synthetic peptide of Human PARP4
-
免疫原種屬:Homo sapiens (Human)
-
標記方式:Non-conjugated
-
抗體亞型:IgG
-
純化方式:Antigen affinity purification
-
濃度:It differs from different batches. Please contact us to confirm it.
-
保存緩沖液:-20°C, pH7.4 PBS, 0.05% NaN3, 40% Glycerol
-
產品提供形式:Liquid
-
應用范圍:ELISA,IHC
-
推薦稀釋比:
Application Recommended Dilution ELISA 1:1000-1:2000 IHC 1:25-1:100 -
Protocols:
-
儲存條件:Upon receipt, store at -20°C or -80°C. Avoid repeated freeze.
-
貨期:Basically, we can dispatch the products out in 1-3 working days after receiving your orders. Delivery time maybe differs from different purchasing way or location, please kindly consult your local distributors for specific delivery time.
-
用途:For Research Use Only. Not for use in diagnostic or therapeutic procedures.
相關產品
靶點詳情
-
功能:Mono-ADP-ribosyltransferase that mediates mono-ADP-ribosylation of target proteins.
-
基因功能參考文獻:
- Major vault protein is important in the drug resistance of cancer cells, but it requires the presence of vPARP for full activity PMID: 28551640
- PARP4 is a possible susceptibility gene of primary thyroid and breast cancer PMID: 26699384
- the protein levels of MVP, TEP1 and vPARP are actually increased in the highergrade tumors suggesting existence of post-transcriptional regulation of vault component production. PMID: 23739867
- REVIEW:recent findings suggesting that PARP-1 participates in DNA damage signaling in cell death PMID: 12829019
-
亞細胞定位:Cytoplasm. Nucleus. Cytoplasm, cytoskeleton, spindle.
-
組織特異性:Widely expressed; the highest levels are in the kidney; also detected in heart, placenta, lung, liver, skeletal muscle, spleen, leukocytes and pancreas.
-
數據庫鏈接:
Most popular with customers
-
-
YWHAB Recombinant Monoclonal Antibody
Applications: ELISA, WB, IHC, IF, FC
Species Reactivity: Human, Mouse, Rat
-
Phospho-YAP1 (S127) Recombinant Monoclonal Antibody
Applications: ELISA, WB, IHC
Species Reactivity: Human
-
-
-
-
-















