PARD6B Antibody
-
中文名稱:PARD6B兔多克隆抗體
-
貨號:CSB-PA861174DSR1HU
-
規格:¥440
-
圖片:
-
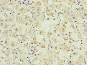
Immunohistochemistry of paraffin-embedded human gastric cancer using CSB-PA861174DSR1HU at dilution of 1:100
-
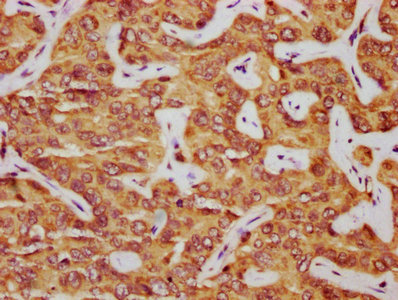
IHC image of CSB-PA861174DSR1HU diluted at 1:325 and staining in paraffin-embedded human liver cancer performed on a Leica BondTM system. After dewaxing and hydration, antigen retrieval was mediated by high pressure in a citrate buffer (pH 6.0). Section was blocked with 10% normal goat serum 30min at RT. Then primary antibody (1% BSA) was incubated at 4°C overnight. The primary is detected by a biotinylated secondary antibody and visualized using an HRP conjugated SP system.
-
Immunofluorescence staining of HepG2 cells with CSB-PA861174DSR1HU at 1:108, counter-stained with DAPI. The cells were fixed in 4% formaldehyde, permeabilized using 0.2% Triton X-100 and blocked in 10% normal Goat Serum. The cells were then incubated with the antibody overnight at 4°C. The secondary antibody was Alexa Fluor 488-congugated AffiniPure Goat Anti-Rabbit IgG(H+L).
-
-
其他:
產品詳情
-
產品名稱:Rabbit anti-Homo sapiens (Human) PARD6B Polyclonal antibody
-
Uniprot No.:
-
基因名:
-
別名:PARD6B antibody; PAR6BPartitioning defective 6 homolog beta antibody; PAR-6 beta antibody; PAR-6B antibody
-
宿主:Rabbit
-
反應種屬:Human
-
免疫原:Recombinant Human Partitioning defective 6 homolog beta protein (253-372AA)
-
免疫原種屬:Homo sapiens (Human)
-
標記方式:Non-conjugated
-
克隆類型:Polyclonal
-
抗體亞型:IgG
-
純化方式:Antigen Affinity Purified
-
濃度:It differs from different batches. Please contact us to confirm it.
-
保存緩沖液:PBS with 0.02% sodium azide, 50% glycerol, pH7.3.
-
產品提供形式:Liquid
-
應用范圍:ELISA, IHC, IF
-
推薦稀釋比:
Application Recommended Dilution IHC 1:20-1:500 IF 1:50-1:200 -
Protocols:
-
儲存條件:Upon receipt, store at -20°C or -80°C. Avoid repeated freeze.
-
貨期:Basically, we can dispatch the products out in 1-3 working days after receiving your orders. Delivery time maybe differs from different purchasing way or location, please kindly consult your local distributors for specific delivery time.
-
用途:For Research Use Only. Not for use in diagnostic or therapeutic procedures.
相關產品
靶點詳情
-
功能:Adapter protein involved in asymmetrical cell division and cell polarization processes. Probably involved in formation of epithelial tight junctions. Association with PARD3 may prevent the interaction of PARD3 with F11R/JAM1, thereby preventing tight junction assembly. The PARD6-PARD3 complex links GTP-bound Rho small GTPases to atypical protein kinase C proteins.
-
基因功能參考文獻:
- found that the polarity determinants Cdc42, Par6B, PKCzeta/iota and the structural proteins ezrin and phospho-ezrin were lost from the apical membrane and accumulated either in the cytoplasm or on the basal side of enterocytes in patients PMID: 26526116
- PAK4 phosphorylates Par6B at Ser143 blocking its interaction with Cdc42. PMID: 25662318
- Data conclude that Par6B and aPKC control mitotic spindle orientation in polarized epithelia and, furthermore, that aPKC coordinately regulates multiple processes to promote morphogenesis. PMID: 21300793
- This study demonstrates that controlled regulation of PAK4 is required for apical junction formation in lung epithelial cells and highlights potential cross-talk between two Cdc42 targets, PAK4 and Par6B. PMID: 20631255
- The ability of SRC family coactivators to regulate the expression of one of these genes, PARD6B/Par6, was confirmed by using cells individually depleted of SRC-1. PMID: 15677324
- Interaction between PAR-3 and the aPKC-PAR-6 complex is indispensable for apical domain development of epithelial cells. PMID: 19401335
顯示更多
收起更多
-
亞細胞定位:Cytoplasm. Cell membrane. Cell junction, tight junction.
-
蛋白家族:PAR6 family
-
組織特異性:Expressed in pancreas and in both adult and fetal kidney. Weakly expressed in placenta and lung. Not expressed in other tissues.
-
數據庫鏈接:
Most popular with customers
-
-
YWHAB Recombinant Monoclonal Antibody
Applications: ELISA, WB, IHC, IF, FC
Species Reactivity: Human, Mouse, Rat
-
Phospho-YAP1 (S127) Recombinant Monoclonal Antibody
Applications: ELISA, WB, IHC
Species Reactivity: Human
-
-
-
-
-















