PANX2 Antibody
-
中文名稱:PANX2兔多克隆抗體
-
貨號:CSB-PA839405LA01HU
-
規格:¥440
-
圖片:
-
Western Blot
Positive WB detected in: HepG2 whole cell lysate, K562 whole cell lysate, Rat liver tissue, Mouse liver tissue
All lanes: PANX2 antibody at 4.2µg/ml
Secondary
Goat polyclonal to rabbit IgG at 1/50000 dilution
Predicted band size: 75, 71, 56 kDa
Observed band size: 75 kDa -
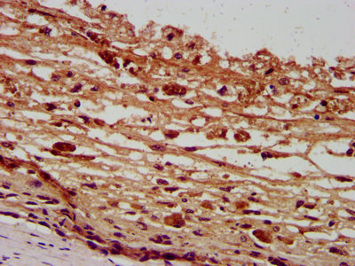
IHC image of CSB-PA839405LA01HU diluted at 1:400 and staining in paraffin-embedded human melanoma performed on a Leica BondTM system. After dewaxing and hydration, antigen retrieval was mediated by high pressure in a citrate buffer (pH 6.0). Section was blocked with 10% normal goat serum 30min at RT. Then primary antibody (1% BSA) was incubated at 4°C overnight. The primary is detected by a biotinylated secondary antibody and visualized using an HRP conjugated SP system.
-
Immunofluorescence staining of HepG2 cells with CSB-PA839405LA01HU at 1:133, counter-stained with DAPI. The cells were fixed in 4% formaldehyde, permeabilized using 0.2% Triton X-100 and blocked in 10% normal Goat Serum. The cells were then incubated with the antibody overnight at 4°C. The secondary antibody was Alexa Fluor 488-congugated AffiniPure Goat Anti-Rabbit IgG(H+L).
-
-
其他:
產品詳情
-
產品名稱:Rabbit anti-Homo sapiens (Human) PANX2 Polyclonal antibody
-
Uniprot No.:
-
基因名:PANX2
-
別名:PANX2; Pannexin-2
-
宿主:Rabbit
-
反應種屬:Human, Mouse, Rat
-
免疫原:Recombinant Human Pannexin-2 protein (370-470AA)
-
免疫原種屬:Homo sapiens (Human)
-
標記方式:Non-conjugated
本頁面中的產品,PANX2 Antibody (CSB-PA839405LA01HU),的標記方式是Non-conjugated。對于PANX2 Antibody,我們還提供其他標記。見下表:
-
克隆類型:Polyclonal
-
抗體亞型:IgG
-
純化方式:>95%, Protein G purified
-
濃度:It differs from different batches. Please contact us to confirm it.
-
保存緩沖液:Preservative: 0.03% Proclin 300
Constituents: 50% Glycerol, 0.01M PBS, pH 7.4 -
產品提供形式:Liquid
-
應用范圍:ELISA, WB, IHC, IF
-
推薦稀釋比:
Application Recommended Dilution WB 1:500-1:5000 IHC 1:200-1:500 IF 1:50-1:200 -
Protocols:
-
儲存條件:Upon receipt, store at -20°C or -80°C. Avoid repeated freeze.
-
貨期:Basically, we can dispatch the products out in 1-3 working days after receiving your orders. Delivery time maybe differs from different purchasing way or location, please kindly consult your local distributors for specific delivery time.
-
用途:For Research Use Only. Not for use in diagnostic or therapeutic procedures.
相關產品
靶點詳情
-
功能:Structural component of the gap junctions and the hemichannels.
-
基因功能參考文獻:
- The pannexin 2 (Panx2) N86Q mutant is glycosylation-deficient and tends to aggregate in the endoplasmic reticulum (ER)reducing its cell surface trafficking but it can still interact with pannexin 1 (Panx1). PMID: 29932112
- All three pannexins Panx1, Panx2, and Panx3 mRNAs were expressed in all of the analyzed undifferentiated stem cell lines. PMID: 29357945
- Panx2 mRNA and protein levels were only upregulated in focal cortical dysplasia type IIb lesions of intractable epilepsy patients and characteristically expressed on SOX2-positive multipotential balloon cells. PMID: 28036289
- Panx2 is an important regulator of the insulin secretory capacity and apoptosis in pancreatic beta-cells. PMID: 28390953
- The results of this study do not support a major contribution of PANX1-3 to disease risk of schizophrenia according to DSM-5. PMID: 26223428
- There is dense expression of Panx2 in the enteric nervous system. The substantial increase in Panx2 mRNA in ulcerative colitis (UC) muscle but not protein suggests that the Panx2 translation process may be disrupted in UC. PMID: 25773474
- Data suggest that both up-regulation and down-regulation of expression of pannexins (PANX1, PANX2, PANX3) are associated with disease onset and/or progression; examples include neoplasms, multiple sclerosis, migraine, and hypertension. [REVIEW] PMID: 25008946
- Panx1 and Panx2 expression was detected in the temporal lobe cortex of patients with temporal lobe epilepsy and in the control tissues. PMID: 24146091
- Pannexin1 and Pannexin2 channels show quaternary similarities to connexons and different oligomerization numbers from each other PMID: 20516070
- These data do not suggest that Panx2 or Cx36 could increase the risk of schizophrenia in the Japanese population. PMID: 17427027
- Pannexin2 is a tumor suppressor gene in C6 glioma cells. PMID: 19749789
- According to brain cancer gene expression database REMBRANDT, PANX2 expression levels can predict post diagnosis survival for patients with glial tumors. PMID: 16989724
顯示更多
收起更多
-
亞細胞定位:Cell membrane; Multi-pass membrane protein. Cell junction, gap junction.
-
蛋白家族:Pannexin family
-
數據庫鏈接:
Most popular with customers
-
-
YWHAB Recombinant Monoclonal Antibody
Applications: ELISA, WB, IHC, IF, FC
Species Reactivity: Human, Mouse, Rat
-
-
-
-
-
-















