PANK2 Antibody
-
中文名稱:PANK2兔多克隆抗體
-
貨號:CSB-PA874850LA01HU
-
規格:¥440
-
圖片:
-
Western Blot
Positive WB detected in: Mouse liver tissue, Mouse kidney tissue
All lanes: PANK2 antibody at 3.4μg/ml
Secondary
Goat polyclonal to rabbit IgG at 1/50000 dilution
Predicted band size: 63, 31, 50, 51 kDa
Observed band size: 63, 31 kDa -
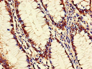
Immunohistochemistry of paraffin-embedded human colon cancer using CSB-PA874850LA01HU at dilution of 1:100
-
Immunofluorescent analysis of HepG2 cells using CSB-PA874850LA01HU at dilution of 1:100 and Alexa Fluor 488-congugated AffiniPure Goat Anti-Rabbit IgG(H+L)
-
-
其他:
產品詳情
-
產品名稱:Rabbit anti-Homo sapiens (Human) PANK2 Polyclonal antibody
-
Uniprot No.:
-
基因名:PANK2
-
別名:4933409I19Rik antibody; AI642621 antibody; C20orf48 antibody; Hallervorden Spatz syndrome antibody; HARP antibody; hPANK2 antibody; HSS antibody; MGC118448 antibody; MGC15053 antibody; mitochondrial antibody; NBIA1 antibody; PANK2 antibody; PANK2_HUMAN antibody; Pantothenate kinase 2 (Hallervorden Spatz syndrome) antibody; Pantothenate kinase 2 antibody; Pantothenate kinase 2 mitochondrial antibody; Pantothenic acid kinase 2 antibody; PKAN antibody; RP23 387C21.4 antibody
-
宿主:Rabbit
-
反應種屬:Human, Mouse
-
免疫原:Recombinant Human Pantothenate kinase 2, mitochondrial protein (437-490AA)
-
免疫原種屬:Homo sapiens (Human)
-
標記方式:Non-conjugated
本頁面中的產品,PANK2 Antibody (CSB-PA874850LA01HU),的標記方式是Non-conjugated。對于PANK2 Antibody,我們還提供其他標記。見下表:
-
克隆類型:Polyclonal
-
抗體亞型:IgG
-
純化方式:>95%, Protein G purified
-
濃度:It differs from different batches. Please contact us to confirm it.
-
保存緩沖液:Preservative: 0.03% Proclin 300
Constituents: 50% Glycerol, 0.01M PBS, PH 7.4 -
產品提供形式:Liquid
-
應用范圍:ELISA, WB, IHC, IF
-
推薦稀釋比:
Application Recommended Dilution WB 1:500-1:5000 IHC 1:20-1:200 IF 1:50-1:200 -
Protocols:
-
儲存條件:Upon receipt, store at -20°C or -80°C. Avoid repeated freeze.
-
貨期:Basically, we can dispatch the products out in 1-3 working days after receiving your orders. Delivery time maybe differs from different purchasing way or location, please kindly consult your local distributors for specific delivery time.
-
用途:For Research Use Only. Not for use in diagnostic or therapeutic procedures.
相關產品
靶點詳情
-
功能:Catalyzes the phosphorylation of pantothenate to generate 4'-phosphopantothenate in the first and rate-determining step of coenzyme A (CoA) synthesis. Required for angiogenic activity of umbilical vein of endothelial cells (HUVEC).; Catalyzes the phosphorylation of pantothenate to generate 4'-phosphopantothenate in the first and rate-determining step of coenzyme A (CoA) synthesis.
-
基因功能參考文獻:
- We found c.966 G>T (p.Glu322Asp) mutation in the PANK2 gene mutation analysis in the individuals from the brain imaging findings. Although individuals in this family who had a homozygous mutation in PANK2 gene analyses had the 'eye-of-the-tiger' sign and atypical disease, they were noted to have differing clinical findings. PMID: 30226968
- Results from a study on gene expression variability markers in early-stage human embryos shows that PANK2 is a putative expression variability marker for the 3-day, 8-cell embryo stage. PMID: 26288249
- The key finding of the study encompassed the detection of a novel PANK2 gene mutation in a child of Chinese ethnicity with PKAN. The PANK2 gene c.A650G, as well as c.T1341G, mutations may be potential mutation hotspots in children with PKAN in Mainland China. PMID: 29642163
- PANK2 mutations have an effect on iPSC-derived cortical neuronal cells in culture PMID: 28863176
- These findings provide direct evidence that PANK2 malfunctioning is responsible for abnormal phenotypes in human neuronal cells of pantothenate kinase-associated neurodegeneration patients. PMID: 27516453
- A deleterious homozygous four-nucleotide deletion causing frameshift deletion in PANK2 gene (c.1426_1429delATGA, p.M476 fs) was identified in an 8 years old girl with dystonia, bone fracture, muscle rigidity, abnormal movement, lack of coordination and chorea. PMID: 28821231
- Results show that overexpression of PANK2 results in substantial elevated level of Co-A in skeletal muscle in transgenic mice which displays reduced skeletal muscle mass and significantly impaired exercise tolerance and grip strength. PMID: 28189602
- Homozygous PANK2 mutations in 22 PKAN patients from 13 Turkish families. PMID: 28113101
- We aim to present a case of a healthy infant born after intracytoplasmic sperm injection-in vitro fertilization (ICSI-IVF) with a preimplantation genetic diagnosis (PGD) for pantothenate kinase-associated neurodegeneration (PKAN) due to PANK2 mutation PMID: 27815806
- Tissue or cellular hypoxic/ischemic injury within the globus pallidus may underlie the pathogenesis of pantothenate kinase-associated neurodegeneration due to PANK2 mutations and apoE aggregates. PMID: 26547561
- Mutations in PANK2 and CoASY lead, respectively, to PKAN and CoPAN forms of Neurodegeneration with brain iron accumulation . Mutations in PLA2G6 lead to PLAN. Mutations in C19orf12 lead to MPAN PMID: 25668476
- Data suggests that the c.680 A>G mutation in the PANK2 gene alone is not sufficient to determine acanthocytic shape transformation in erythrocytes but some additional factor(s)/condition(s) are necessary for acanthocytosis to occur. PMID: 25915509
- Novel PANK2 gene mutations and clinical features in patients with pantothenate kinase-associated neurodegeneration. PMID: 24689511
- study presents 2 siblings who were homozygous for a novel c.695A>G (p.Asp232Gly) missense mutation in exon 2 of PANK2 gene; index patient presented with a 5-year history of slowly progressive gait disturbance, dysarthria, mild axial rigidity and bradykinesia PMID: 24655737
- Caucasian patients have more complex presentations than Asians. Exon 3 and 4 are hot spots for screening PANK2 mutations in Asian patients. PMID: 24348190
- we describe the clinical, radiological, and molecular find-ings of a classic PKAN patient of Iranian descent with a novel frameshift mutation in the coding region of the PANK2 gene PMID: 23116688
- Identification of novel compound heterozygous mutations in PANK2 gene in two Chinese siblings with atypical pantothenate kinase-associated neurodegeneration. PMID: 22930366
- Mutations in both PANK2 and C19orf12 contributed significantly to neurodegeneration with brain iron accumulation in the Iranian patients PMID: 23166001
- Skin fibroblasts from pantothenate kinase-associated neurodegeneration patients highlight a possible molecular relationship between Pank2 deficiency and iron misregulation. PMID: 22692681
- The c.1319G>C (p.R440P) mutation appears to be a founder genotype among Korean patients with Pantothenate kinase-associated neurodegeneration. PMID: 22103354
- study used global metabolic profiling to explore the metabolic consequences of mutations in pantothenate kinase 2 that are responsible for Pantothenate Kinase-Associated Neurodegeneration PMID: 22221393
- This study identified that new mutation of Pantothenate kinase associated with neurodegeneration. PMID: 21442655
- PANK2 mutations are not invariably associated with the "eye-of-the-tiger sign (early onset generalised dystonia and basal ganglia abnormalities) PMID: 20551478
- Progressive delayed-onset postanoxic dystonia - First example of PKAN symptom onset possibly provoked by environmental trigger (anoxia) PMID: 20925075
- the patient reported here shows a peculiar PKAN clinical phenotype probably based on new mutations identified in the PANK2 gene PMID: 20721927
- findings validate expression of the short PANK2 isoform and enable predictions about potentially deleterious sequence variants in the regulatory region of this human disease gene PMID: 20603201
- two Japanese siblings with the adult-onset slowly progressive type of pantothenate kinase-associated neurodegeneration who were found to have a novel PANK2 mutation PMID: 20006850
- Missense mutaions in PANK2 gene were observed in two siblings with Hallervorden- Spatz syndrome PMID: 14639680
- The presence of mutation in the PANK2 gene is associated with younger age at onset and a higher frequency of dystonia, dysarthria, intellectual impairment, and gait disturbance. Parkinsonism is seen predominantly in adult-onset patients PMID: 14743358
- Adult-onset focal dystonia was the presenting sign of pantothenate kinase-associated neurodegeneration (PKAN) in a patient with a novel homozygous missense mutation (C856T) PMID: 15390030
- Direct sequencing of the neurodegeneration patient's genomic DNA revealed homozygous base substitutions in the pantothenate kinase gene (PANK2): the A764-->G substitution (N245S) due to consanguinity of her parents. PMID: 15465096
- These results suggest that neurodegeneration with brain iron accumulation (NBIA; formerly Hallervorden-Spatz disease) is caused by altered neuronal mitochondrial lipid metabolism caused by mutations disrupting PanK2 protein levels and catalytic activity. PMID: 15659606
- Novel compound heterozygous mutations (Asp268Gly and Ile391Asn) in the PANK2 gene in a Chinese patient with Hallervorden-Spatz Syndrome PMID: 15747360
- PANK2 gene mutations can cause Hallervorden-Spatz syndrome in Chinese patients. PMID: 15793782
- The authors report clinical and genetic findings of 16 patients with PKAN. The authors identified 12 mutations in the PANK2 gene, five of which were new. PMID: 15911822
- The 1142_1144delGAG mutation of PANK2 probably originated from one common ancestor at the beginning of the ninth century, approximately 38 generations ago PMID: 16240131
- Unique biochemical features of the PanK2 isoforms suggest that catalytic defects may not be the sole cause for the neurodegenerative phenotype. PMID: 16272150
- We demonstrate that the G521R mutation results in an unstable and inactive protein in tremor-predominant neurodegeneration. PMID: 16450344
- PANK2 mutations are not associated with some adult degenerative conditions PMID: 16962235
- PanK2 is located in the mitochondria to sense the levels of palmitoylcarnitine and up-regulate CoA biosynthesis in response to an increased mitochondrial demand for the cofactor to support beta-oxidation PMID: 17242360
- expression of PanK2 was higher in human brain compared to mouse brain PMID: 17825826
- Pantothenate kinase-associated neurodegeneration is an autosomal-recessive disorder associated with the accumulation of iron in the basal ganglia associated with mutations in the PANK2 gene. PMID: 17903678
- Two novel PANK2 gene mutation in Pantothenate Kinase-Associated Neurodegeneration. PMID: 18006953
- Focal hand dystonia showed atypical phenotype of PANK2 gene mutations. PMID: 18074375
- a novel missense mutation (P354L) in exon 4 of the PANK2 gene in an adolescent with classic pantothenate kinase-associated neurodegeneration was identified PMID: 18239249
- In this report identified a novel mutation( in the PANK29p.D378G and p.D452G )gene responsible for PKAN and confirmed that PKAN has a board spectrum of phenotype, even among siblings with same mutations. PMID: 19224615
- Identified two alternatively used first exons resulting in distinct isoforms, one of which carries an N-terminal extension with a predicted mitochondrial targeting signal. PMID: 12554685
- An unconventional translational start codon, CUG, which is polymorphic in the general population is proposed. PANK2 is predicted to localize to mitochondria, with a 29 amino acid mitochondrial targeting sequence identified. PMID: 15105273
- Demonstrated that the mitochondrial isoform is sequentially cleaved at two sites by the mitochondrial processing peptidase, generating a long-lived 48 kDa mature protein localized to mitochondria of neurons in human brain. PMID: 15659606
顯示更多
收起更多
-
相關疾病:Neurodegeneration with brain iron accumulation 1 (NBIA1); Hypoprebetalipoproteinemia, acanthocytosis, retinitis pigmentosa, and pallidal degeneration (HARP)
-
亞細胞定位:[Isoform 1]: Mitochondrion. Mitochondrion intermembrane space. Nucleus.; [Isoform 2]: Cytoplasm.; [Isoform 3]: Cytoplasm.; [Isoform 4]: Cytoplasm.
-
蛋白家族:Type II pantothenate kinase family
-
組織特異性:Expressed in the brain (at protein level). Ubiquitous. Highly expressed in the testis. Expressed in the umbilical vein endothelial cells (HUVEC).
-
數據庫鏈接:
Most popular with customers
-
-
Phospho-YAP1 (S127) Recombinant Monoclonal Antibody
Applications: ELISA, WB, IHC
Species Reactivity: Human
-
-
-
-
-
-















