PAK1/PAK2/PAK3 (Ab-423/402/421) Antibody
-
中文名稱:PAK1/PAK2/PAK3 (Ab-423/402/421)兔多克隆抗體
-
貨號:CSB-PA583804
-
規格:¥2024
-
圖片:
-
Western blot analysis of extracts from MCF-7 and Hela cells using PAK1/PAK2/PAK3(Ab-423/402/421) Antibody.
-
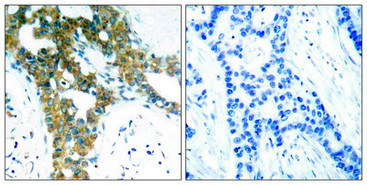
Immunohistochemical analysis of paraffin-embedded human breast carcinoma tissue using PAK1/PAK2/PAK3(Ab-423/402/421) Antibody(left) or the same antibody preincubated with blocking peptide(right).
-
Immunofluorescence staining of methanol-fixed Hela cells using PAK1/PAK2/PAK3(Ab-423/402/421) Antibody.
-
-
其他:
產品詳情
-
Uniprot No.:
-
宿主:Rabbit
-
反應種屬:Human,Mouse,Rat
-
免疫原:Peptide sequence around aa.421~425/400~404/419~423 (R-S-T-M-V) derived from Human PAK1/PAK2/PAK3.
-
免疫原種屬:Homo sapiens (Human)
-
克隆類型:Polyclonal
-
純化方式:Antibodies were produced by immunizing rabbits with synthetic peptide and KLH conjugates. Antibodies were purified by affinity-chromatography using epitope-specific peptide.
-
濃度:It differs from different batches. Please contact us to confirm it.
-
產品提供形式:Liquid
-
應用范圍:ELISA,WB,IHC,IF
-
推薦稀釋比:
Application Recommended Dilution WB 1:500-1:1000 IHC 1:50-1:200 IF 1:100-1:200 -
Protocols:
-
儲存條件:Upon receipt, store at -20°C or -80°C. Avoid repeated freeze.
-
貨期:Basically, we can dispatch the products out in 1-3 working days after receiving your orders. Delivery time maybe differs from different purchasing way or location, please kindly consult your local distributors for specific delivery time.
-
用途:For Research Use Only. Not for use in diagnostic or therapeutic procedures.
相關產品
Most popular with customers
-
-
YWHAB Recombinant Monoclonal Antibody
Applications: ELISA, WB, IHC, IF, FC
Species Reactivity: Human, Mouse, Rat
-
Phospho-YAP1 (S127) Recombinant Monoclonal Antibody
Applications: ELISA, WB, IHC
Species Reactivity: Human
-
-
-
-
-















