PAFAH2 Antibody
-
中文名稱:PAFAH2兔多克隆抗體
-
貨號:CSB-PA134978
-
規格:¥1100
-
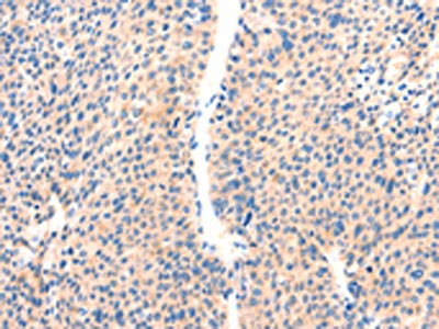
圖片:
-
The image on the left is immunohistochemistry of paraffin-embedded Human liver cancer tissue using CSB-PA134978(PAFAH2 Antibody) at dilution 1/80, on the right is treated with synthetic peptide. (Original magnification: ×200)
-
Gel: 12%SDS-PAGE, Lysate: 40 μg, Lane: 231 cells, Primary antibody: CSB-PA134978(PAFAH2 Antibody) at dilution 1/700, Secondary antibody: Goat anti rabbit IgG at 1/8000 dilution, Exposure time: 1 minute
-
-
其他:
產品詳情
-
Uniprot No.:
-
基因名:PAFAH2
-
別名:PAFAH2Platelet-activating factor acetylhydrolase 2 antibody; cytoplasmic antibody; EC 3.1.1.47 antibody; Serine-dependent phospholipase A2 antibody; SD-PLA2 antibody; hSD-PLA2 antibody
-
宿主:Rabbit
-
反應種屬:Human,Mouse,Rat
-
免疫原:Synthetic peptide of Human PAFAH2
-
免疫原種屬:Homo sapiens (Human)
-
標記方式:Non-conjugated
-
抗體亞型:IgG
-
純化方式:Antigen affinity purification
-
濃度:It differs from different batches. Please contact us to confirm it.
-
保存緩沖液:-20°C, pH7.4 PBS, 0.05% NaN3, 40% Glycerol
-
產品提供形式:Liquid
-
應用范圍:ELISA,WB,IHC
-
推薦稀釋比:
Application Recommended Dilution ELISA 1:2000-1:5000 WB 1:500-1:2000 IHC 1:100-1:300 -
Protocols:
-
儲存條件:Upon receipt, store at -20°C or -80°C. Avoid repeated freeze.
-
貨期:Basically, we can dispatch the products out in 1-3 working days after receiving your orders. Delivery time maybe differs from different purchasing way or location, please kindly consult your local distributors for specific delivery time.
-
用途:For Research Use Only. Not for use in diagnostic or therapeutic procedures.
相關產品
靶點詳情
-
功能:Catalyzes the hydrolyze of the acetyl group at the sn-2 position of platelet-activating factor (PAF) and its analogs, leading to their inactivation. Hydrolyzes propionyl and butyroyl moieties approximately half as effectively as PAF. Also catalyzes transacetylation of the acetyl group from platelet-activating factor (PAF) to lysoplasmalogen and to sphingosine, producing plasmalogen analogs of PAF and N-acetylsphingosine (C2-ceramide) respectively. Has a marked selectivity for phospholipids with short acyl chains at the sn-2 position.
-
基因功能參考文獻:
- Data show that the activity of plasma platelet activating factor acetylhydrolase (PAF-AH) increases in parallel with diabetic retinopathy (DR) severity. PMID: 26791393
- The oligomeric state of PAFAH-II drives functional protein trafficking. PAFAH-II localization to the membrane is critical for substrate acquisition and effective oxidative stress protection. PMID: 25707358
- presence of platelet-activating factor acetylhydrolase II in a restricted pattern in human skin; it is involved in protecting this organ against oxidative stress through the degradation of oxidatively modified bioactive phospholipids. PMID: 12406338
- Lp-PLA2 was higher in those with more extensive Coronary artery disease PMID: 17157859
- PAF-AH II exerts strong neuroprotective effects against ischemic injury: the neurological deficit scores, cerebral edema index, and relative infarction volume are all significantly lower in PAFAH2 transgenic mice than in wild-type mice. PMID: 17272759
- examines substrate specificity for intracellular and plasma PAF-AHs PMID: 11294621
顯示更多
收起更多
-
亞細胞定位:Cytoplasm. Membrane; Lipid-anchor. Endoplasmic reticulum membrane; Lipid-anchor.
-
蛋白家族:Serine esterase family
-
組織特異性:Broadly expressed in different tissues, but high in B- and T-lymphocytes. In brain, expression is restricted to amygdala and frontal cortex.
-
數據庫鏈接:
Most popular with customers
-
-
YWHAB Recombinant Monoclonal Antibody
Applications: ELISA, WB, IHC, IF, FC
Species Reactivity: Human, Mouse, Rat
-
Phospho-YAP1 (S127) Recombinant Monoclonal Antibody
Applications: ELISA, WB, IHC
Species Reactivity: Human
-
-
-
-
-















