PAFAH1B1 Antibody
-
中文名稱:PAFAH1B1兔多克隆抗體
-
貨號:CSB-PA081195
-
規格:¥1100
-
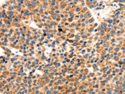
圖片:
-
The image on the left is immunohistochemistry of paraffin-embedded Human lung cancer tissue using CSB-PA081195(PAFAH1B1 Antibody) at dilution 1/25, on the right is treated with synthetic peptide. (Original magnification: ×200)
-
The image on the left is immunohistochemistry of paraffin-embedded Human liver cancer tissue using CSB-PA081195(PAFAH1B1 Antibody) at dilution 1/25, on the right is treated with synthetic peptide. (Original magnification: ×200)
-
-
其他:
產品詳情
-
Uniprot No.:
-
基因名:PAFAH1B1
-
別名:LIS 1 antibody; LIS 2 antibody; LIS-1 antibody; LIS1 antibody; LIS1_HUMAN antibody; LIS2 antibody; Lissencephaly 1 protein antibody; Lissencephaly-1 protein antibody; MDCR antibody; MDS antibody; PAF acetylhydrolase 45 kDa subunit antibody; PAF AH 45 kDa subunit antibody; PAF AH alpha antibody; PAF-AH 45 kDa subunit antibody; PAF-AH alpha antibody; PAFAH alpha antibody; PAFAH antibody; PAFAH1B1 antibody; PAFAHA antibody; Platelet activating factor acetylhydrolase 1b regulatory subunit 1 antibody; Platelet activating factor acetylhydrolase isoform Ib alpha subunit antibody; Platelet-activating factor acetylhydrolase IB subunit alpha antibody
-
宿主:Rabbit
-
反應種屬:Human,Mouse,Rat
-
免疫原:Synthetic peptide of Human PAFAH1B1
-
免疫原種屬:Homo sapiens (Human)
-
標記方式:Non-conjugated
-
抗體亞型:IgG
-
純化方式:Antigen affinity purification
-
濃度:It differs from different batches. Please contact us to confirm it.
-
保存緩沖液:-20°C, pH7.4 PBS, 0.05% NaN3, 40% Glycerol
-
產品提供形式:Liquid
-
應用范圍:ELISA,IHC
-
推薦稀釋比:
Application Recommended Dilution ELISA 1:1000-1:5000 IHC 1:25-1:100 -
Protocols:
-
儲存條件:Upon receipt, store at -20°C or -80°C. Avoid repeated freeze.
-
貨期:Basically, we can dispatch the products out in 1-3 working days after receiving your orders. Delivery time maybe differs from different purchasing way or location, please kindly consult your local distributors for specific delivery time.
-
用途:For Research Use Only. Not for use in diagnostic or therapeutic procedures.
相關產品
靶點詳情
-
功能:Regulatory subunit (beta subunit) of the cytosolic type I platelet-activating factor (PAF) acetylhydrolase (PAF-AH (I)), an enzyme that catalyzes the hydrolyze of the acetyl group at the sn-2 position of PAF and its analogs and participates in PAF inactivation. Regulates the PAF-AH (I) activity in a catalytic dimer composition-dependent manner. Required for proper activation of Rho GTPases and actin polymerization at the leading edge of locomoting cerebellar neurons and postmigratory hippocampal neurons in response to calcium influx triggered via NMDA receptors. Positively regulates the activity of the minus-end directed microtubule motor protein dynein. May enhance dynein-mediated microtubule sliding by targeting dynein to the microtubule plus end. Required for several dynein- and microtubule-dependent processes such as the maintenance of Golgi integrity, the peripheral transport of microtubule fragments and the coupling of the nucleus and centrosome. Required during brain development for the proliferation of neuronal precursors and the migration of newly formed neurons from the ventricular/subventricular zone toward the cortical plate. Neuronal migration involves a process called nucleokinesis, whereby migrating cells extend an anterior process into which the nucleus subsequently translocates. During nucleokinesis dynein at the nuclear surface may translocate the nucleus towards the centrosome by exerting force on centrosomal microtubules. May also play a role in other forms of cell locomotion including the migration of fibroblasts during wound healing. Required for dynein recruitment to microtubule plus ends and BICD2-bound cargos. May modulate the Reelin pathway through interaction of the PAF-AH (I) catalytic dimer with VLDLR.
-
基因功能參考文獻:
- Platelet-activating factor increases reactive oxygen species-mediated microbicidal activity of human macrophages infected with Leishmania braziliensis. PMID: 28830073
- LIS1 promotes dynactin-dependent tracking of dynein on both growing and shrinking plus ends. LIS1 also increases the frequency and velocity of processive dynein movements that are activated by complex formation with dynactin and a cargo adaptor. PMID: 28406398
- Microarray analysis after PAFAH1B1 knockdown and its overexpression indicated that the protein maintains Matrix Gla Protein expression PMID: 27124368
- A novel recurrent LIS1 splice site mutation in classic lissencephaly have been found in two unrelated pediatric patients. PMID: 27891766
- Lis1 has two opposing modes of regulating dynein, being capable of inducing both low and high affinity for the microtubule; study shows that these opposing modes depend on the stoichiometry of Lis1 binding to dynein and that this stoichiometry is regulated by the nucleotide state of dynein's AAA3 domain. PMID: 28886386
- genetic variants in LIS1 may contribute to AML risk in Chinese population. PMID: 28076835
- Val279Phe gene polymorphisms in PAF-AH are associated with PAF-AH activity and PAF and GMP-140 levels and may be a risk factor for Henoch-Schonlein purpura with gastrointestinal bleeding PMID: 28407821
- There were no significant associations between R92H and A379V variants of PAF-AH gene and risk of polycystic ovary syndrome in Chinese women. PMID: 28320416
- results indicate that the NAGK-dynein interaction with the involvements of Lis1 and NudE1 plays an important role in prophase nuclear envelope breakdown (NEB) and metaphase MT-KT attachment during eukaryotic cell division. PMID: 27646688
- In testis: varied levels among samples of different spermatogenic abilities, protein expression restricted to spermatogonia, spermatocytes and spermatids. Also varied levels in unfertilized oocytes, zygotes, cleavage stage embryos and blastocysts. PMID: 26380866
- Results showed that miR-144 was reduced in cholangiocarcinoma tissues and suggested that miR-144 may be an essential suppresser of cholangiocarcinoma cell proliferation and invasion through targeting LIS1. PMID: 25479763
- LIS1 and TSNAX genes are not associated with susceptibility to bipolar I disorder in Chinese Han population. PMID: 24928020
- Identify a key role for Lis1 in hematopoietic stem cells and mark its directed control of asymmetric division as a critical regulator of normal and malignant hematopoietic development PMID: 24487275
- LIS1 gene duplication is associated with developmental, behavioral and brain abnormalities. PMID: 23813913
- LIS1 is required for dynein-mediated transport induced by membrane tethering of BICD2-N and LIS1 contributes to dynein accumulation at microtubule plus ends and BICD2-positive cellular structures. PMID: 22956769
- PAFAH1B1 overexpression contributes to lung tumorigenesis and poor prognosis. PMID: 22749159
- Studies indicate that binding of dynactin, LIS1 and NudEL regulate cytoplasmic dynein motor activity. PMID: 22373868
- The results did not detect a significant association. It indicated that common genetic variations in LIS1 genes might not play a role in the genetic predisposition to autism. PMID: 21890215
- cell type-restricted role for LIS1 in large vesicular transport and quantitative support for a general role for LIS1 in high-load dynein functions. PMID: 22006948
- Mutually exclusive cytoplasmic dynein regulation by NudE-Lis1 and dynactin. PMID: 21911489
- we have identified a so-far-unknown interaction between LIS1 and PDE4 isoforms, whereby PDE4 can modulate LIS1-dynein complexes and dynein-dependent processes within cells by sequestering LIS1. PMID: 21652625
- PAFAH Ib regulates endocytic membrane trafficking through novel mechanisms involving both PLA(2) activity and LIS1-dependent dynein function PMID: 21593204
- these results suggest that LIS1 plays a potential tumor suppressor role in the development and progression of hepatocellular carcinoma. PMID: 21569763
- Single nucleotide polymorphism in PAFAH1B1 gene is associated with Myelodysplastic Syndromes. PMID: 21107783
- The truncated monomeric form of LIS1 had little effect on dynein motility, but an artificial dimer of truncated LIS1 suppressed dynein motility, which was restored by the N-terminal fragment of NDEL1. PMID: 21036906
- Lis1 is cell-autonomously required for cortical neuron and astrocyte production and is involved in neuronal migration. PMID: 21092859
- Findings suggest that physiological functions of LIS1 and NDEL1 in neurons have been ascribed for proteins fundamentally required for cell cycle progression and control. PMID: 20168084
- NudC may be involved in the regulation of LIS1 stability by its chaperone function. PMID: 20675372
- NudCL2, a homolog of Aspergillus NudC, which shares significant homology with human NudC and NudCL was identified. It regulates the LIS1/dynein pathway by stabilizing LIS1 with Hsp90 chaperone. PMID: 20133715
- NDE1 and NDEL1 act upstream of LIS1 in dynein recruitment, and/or activation, on the membrane. PMID: 20048338
- LIS1 has a principle role in brain development.Hemizygote mutations result in a severe brain malformation known as lissencephaly. It is a WD repeat protein involved in several protein complexes that may play a functional role in brain development. PMID: 11803439
- Together, our data suggest a novel role for LIS1 in mediating CLIP-170-dynein interactions and in coordinating dynein cargo-binding and motor activities. PMID: 11889140
- Val279Phe polymorphism is activity-deficient and is associated with increased risk of childhood atopic asthma. PMID: 11916011
- LIS1, CLIP-170's key to the dynein/dynactin pathway PMID: 11940666
- Lissencephaly with posteriorly predominant gyral abnormality is caused by mutations of the LIS1 gene on chromosome 17. PMID: 12185771
- The propensity of monocytes in juvenile periodontitis patients to differentiate into monocyte-derived dendritic cells results in lower levels of PAFAH and allows platelet activating factor to promote production of a protective IgG2 antibody response. PMID: 12496397
- LIS1 missense mutations result in variable phenotypes PMID: 12885786
- LIS1 maps at 17p13.3 and is the result of a heterozygous mutation. It acts during corticogenesis on radial migratory pathways. PMID: 15057976
- Our results indicate that Tat interacts with LIS1 in vitro and in vivo and that this interaction might contribute to the effect of Tat on microtubule formation. PMID: 15698475
- V279F polymorphism in the plasma PAF-AH gene and consequent enzymatic deficiency is an important factor for IVIG nonresponse in Japanese patients with acute KD. PMID: 16027700
- use of poliovirus protein as a research tool allowed us to reveal the role of cellular protein LIS1 in membrane protein trafficking, maintenance of Golgi integrity, surface presentation of unstable receptors PMID: 16138011
- LIS1 RNA interference blocks neural stem cell division, morphogenesis, and motility at multiple stages. PMID: 16144905
- Mutations within the LisH (LIS1 homology)motif are likely to result in pathogenic consequences in genes associated with genetic diseases. PMID: 16258276
- in addition to migration, disruption in cell proliferation could play a more important role in the development of lissencephaly than previously suspected PMID: 16642511
- Our results show that inhibition of PP2A by LIS1 induces HIV-1 transcription. Our results also point to a possibility that LIS1 might function in the cells as a yet unrecognized regulatory subunit of PP2A. PMID: 17018134
- Neither type nor position of intragenic mutations in the LIS1 gene allows prediction of the phenotypic severity. Patients presenting with mild cerebral malformations should be considered for genetic analysis of the LIS1 gene. PMID: 17664403
- LIS1 has a role in lissencephaly, neuronal migration and development [review] PMID: 17850624
- The high frequency of genomic deletions/duplications of LIS1 is in keeping with the over representation of Alu elements in the 17p13.3 region. PMID: 18285425
- LIS1 regulates cytoplasmic dynein and plays an important role on the determination cleavage plane of neuronal progenitor cells. PMID: 18421979
- regulates cytoplasmic dynein. [review] PMID: 18524253
顯示更多
收起更多
-
相關疾病:Lissencephaly 1 (LIS1); Subcortical band heterotopia (SBH); Miller-Dieker lissencephaly syndrome (MDLS)
-
亞細胞定位:Cytoplasm, cytoskeleton. Cytoplasm, cytoskeleton, microtubule organizing center, centrosome. Cytoplasm, cytoskeleton, spindle. Nucleus membrane.
-
蛋白家族:WD repeat LIS1/nudF family
-
組織特異性:Fairly ubiquitous expression in both the frontal and occipital areas of the brain.
-
數據庫鏈接:
Most popular with customers
-
-
YWHAB Recombinant Monoclonal Antibody
Applications: ELISA, WB, IHC, IF, FC
Species Reactivity: Human, Mouse, Rat
-
Phospho-YAP1 (S127) Recombinant Monoclonal Antibody
Applications: ELISA, WB, IHC
Species Reactivity: Human
-
-
-
-
-















