-
中文名稱:PACS2兔多克隆抗體
-
貨號:CSB-PA017372LA01HU
-
規格:¥440
-
圖片:
-
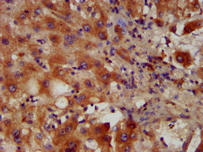
IHC image of CSB-PA017372LA01HU diluted at 1:400 and staining in paraffin-embedded human liver tissue performed on a Leica BondTM system. After dewaxing and hydration, antigen retrieval was mediated by high pressure in a citrate buffer (pH 6.0). Section was blocked with 10% normal goat serum 30min at RT. Then primary antibody (1% BSA) was incubated at 4°C overnight. The primary is detected by a biotinylated secondary antibody and visualized using an HRP conjugated SP system.
-
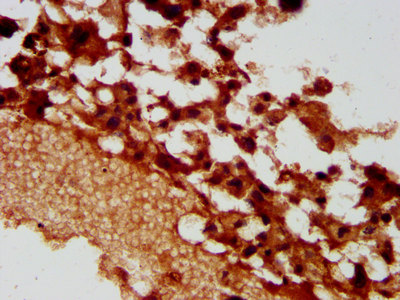
IHC image of CSB-PA017372LA01HU diluted at 1:400 and staining in paraffin-embedded human melanoma performed on a Leica BondTM system. After dewaxing and hydration, antigen retrieval was mediated by high pressure in a citrate buffer (pH 6.0). Section was blocked with 10% normal goat serum 30min at RT. Then primary antibody (1% BSA) was incubated at 4°C overnight. The primary is detected by a biotinylated secondary antibody and visualized using an HRP conjugated SP system.
-
-
其他:
產品詳情
-
產品名稱:Rabbit anti-Homo sapiens (Human) PACS2 Polyclonal antibody
-
Uniprot No.:
-
基因名:PACS2
-
別名:6720425G15Rik antibody; AW208651 antibody; AW489976 antibody; E230011J22 antibody; FLJ25488 antibody; KIAA0602 antibody; mKIAA0602 antibody; PACS 2 antibody; PACS-2 antibody; PACS1 like protein antibody; PACS1-like protein antibody; PACS1L antibody; PACS2 antibody; PACS2_HUMAN antibody; Phosphofurin acidic cluster sorting protein 1 like antibody; Phosphofurin acidic cluster sorting protein 2 antibody
-
宿主:Rabbit
-
反應種屬:Human
-
免疫原:Recombinant Human Phosphofurin acidic cluster sorting protein 2 protein (268-465AA)
-
免疫原種屬:Homo sapiens (Human)
-
標記方式:Non-conjugated
本頁面中的產品,PACS2 Antibody (CSB-PA017372LA01HU),的標記方式是Non-conjugated。對于PACS2 Antibody,我們還提供其他標記。見下表:
-
克隆類型:Polyclonal
-
抗體亞型:IgG
-
純化方式:>95%, Protein G purified
-
濃度:It differs from different batches. Please contact us to confirm it.
-
保存緩沖液:Preservative: 0.03% Proclin 300
Constituents: 50% Glycerol, 0.01M PBS, pH 7.4 -
產品提供形式:Liquid
-
應用范圍:ELISA, IHC
-
推薦稀釋比:
Application Recommended Dilution IHC 1:200-1:500 -
Protocols:
-
儲存條件:Upon receipt, store at -20°C or -80°C. Avoid repeated freeze.
-
貨期:Basically, we can dispatch the products out in 1-3 working days after receiving your orders. Delivery time maybe differs from different purchasing way or location, please kindly consult your local distributors for specific delivery time.
-
用途:For Research Use Only. Not for use in diagnostic or therapeutic procedures.
引用文獻
- Glucocorticoid-mediated ER-mitochondria contacts reduce AMPA receptor and mitochondria trafficking into cell terminus via microtubule destabilization Choi GE, et al,Cell Death & Disease,2018
相關產品
靶點詳情
-
功能:Multifunctional sorting protein that controls the endoplasmic reticulum (ER)-mitochondria communication, including the apposition of mitochondria with the ER and ER homeostasis. In addition, in response to apoptotic inducer, translocates BIB to mitochondria, which initiates a sequence of events including the formation of mitochondrial truncated BID, the release of cytochrome c, the activation of caspase-3 thereby causing cell death. May also be involved in ion channel trafficking, directing acidic cluster-containing ion channels to distinct subcellular compartments.
-
基因功能參考文獻:
- These findings support the causality of this recurrent de novo PACS2 heterozygous missense in Developmental and epileptic encephalopathies with facial dysmorphim and cerebellar dysgenesis. PMID: 29656858
- Protein adaptation and the expanding roles of the PACS1 and PACS2 proteins in tissue homeostasis and disease has been summarized. (Review) PMID: 28476937
- Missense Mutation in PACS2 gene is associated with Neurodevelopmental Disorders. PMID: 28867141
- cIAPs constitutively downregulate PACS-2 by polyubiquitination and proteasomal degradation, thereby restraining TRAIL-induced killing of liver cancer cells PMID: 24633224
- The sites on Nef and the PACS proteins required for their interaction, are identified. PMID: 22496420
- Tumor necrosis factor-related apoptosis-inducing ligand (TRAIL) protein-induced lysosomal translocation of proapoptotic effectors is mediated by phosphofurin acidic cluster sorting protein-2. PMID: 22645134
- subcellular localization and function of polycystin-2 are directed by phosphofurin acidic cluster sorting protein (PACS)-1 and PACS-2 PMID: 15692563
- PACS-2 as a novel sorting protein that links the endoplasmic reticulum (ER)-mitochondria axis to ER homeostasis PMID: 15692567
- PACS-2 is required for Nef action and sorting of itinerant membrane cargo in the TGN/endosomal system PMID: 18296443
- the phosphorylation state of the calnexin cytosolic domain and its interaction with PACS-2 sort the chaperone between domains of the ER and the plasma membrane PMID: 18417615
- Results identify PACS-2 as an essential TRAIL effector, and show that Akt cooperates with 14-3-3 to regulate the homeostatic and apoptotic properties of PACS-2 that mediate TRAIL action. PMID: 19481529
顯示更多
收起更多
-
亞細胞定位:Endoplasmic reticulum. Mitochondrion.
-
蛋白家族:PACS family
-
組織特異性:Broadly expressed, with greatest levels in skeletal muscle followed by heart, brain, pancreas and testis.
-
數據庫鏈接:
Most popular with customers
-
-
YWHAB Recombinant Monoclonal Antibody
Applications: ELISA, WB, IHC, IF, FC
Species Reactivity: Human, Mouse, Rat
-
Phospho-YAP1 (S127) Recombinant Monoclonal Antibody
Applications: ELISA, WB, IHC
Species Reactivity: Human
-
-
-
-
-















