P2RY4 Antibody
-
中文名稱:P2RY4兔多克隆抗體
-
貨號:CSB-PA214644
-
規格:¥1100
-
圖片:
-
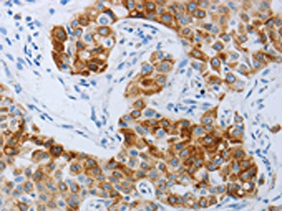
The image on the left is immunohistochemistry of paraffin-embedded Human lung cancer tissue using CSB-PA214644(P2RY4 Antibody) at dilution 1/30, on the right is treated with synthetic peptide. (Original magnification: ×200)
-
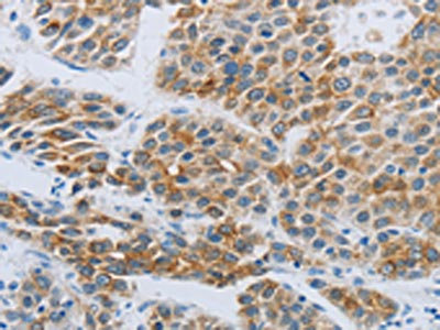
The image on the left is immunohistochemistry of paraffin-embedded Human liver cancer tissue using CSB-PA214644(P2RY4 Antibody) at dilution 1/30, on the right is treated with synthetic peptide. (Original magnification: ×200)
-
Gel: 10%SDS-PAGE, Lysate: 40 μg, Lane: K562 cells, Primary antibody: CSB-PA214644(P2RY4 Antibody) at dilution 1/500, Secondary antibody: Goat anti rabbit IgG at 1/8000 dilution, Exposure time: 1 minute
-
-
其他:
產品詳情
-
Uniprot No.:
-
基因名:
-
別名:P2RY4; NRU; P2Y purinoceptor 4; P2Y4; P2P; Uridine nucleotide receptor; UNR
-
宿主:Rabbit
-
反應種屬:Human
-
免疫原:Synthetic peptide of Human P2RY4
-
免疫原種屬:Homo sapiens (Human)
-
標記方式:Non-conjugated
-
抗體亞型:IgG
-
純化方式:Antigen affinity purification
-
濃度:It differs from different batches. Please contact us to confirm it.
-
保存緩沖液:-20°C, pH7.4 PBS, 0.05% NaN3, 40% Glycerol
-
產品提供形式:Liquid
-
應用范圍:ELISA,WB,IHC
-
推薦稀釋比:
Application Recommended Dilution ELISA 1:1000-1:2000 WB 1:200-1:1000 IHC 1:25-1:100 -
Protocols:
-
儲存條件:Upon receipt, store at -20°C or -80°C. Avoid repeated freeze.
-
貨期:Basically, we can dispatch the products out in 1-3 working days after receiving your orders. Delivery time maybe differs from different purchasing way or location, please kindly consult your local distributors for specific delivery time.
-
用途:For Research Use Only. Not for use in diagnostic or therapeutic procedures.
相關產品
靶點詳情
-
功能:Receptor for UTP and UDP coupled to G-proteins that activate a phosphatidylinositol-calcium second messenger system. Not activated by ATP or ADP.
-
基因功能參考文獻:
- reflected in the immunoblotting data P2RY4 receptors were detected at higher levels of expression in patient with cortical dysplasia with intractable epilepsy. PMID: 25003238
- P2Y4 receptors are expressed in intracellular vesicles and sarcolemma of skeletal muscle fibers. PMID: 22052557
- show that P2 receptors and protein kinases are also involved in regulating injury-induced expression and the release of TSP-1 in injured astrocytes PMID: 22776902
- Nucleotide P2Y4 receptor binding is arrested in post-Golgi trafficking by type I transmembrane proteins p23 and p24A. PMID: 21219331
- Activation of the human P2Y(4) receptor expressed in 1321N1 cells by UTP did not elicit this protective effect, although both receptors were coupled to phospholipase C. PMID: 12623123
- second extracellular loop and the NH(2) terminus form a functional motif that plays a key role in determining whether ATP functions as an agonist or antagonist at mammalian P2Y(4) receptors PMID: 14670966
- Taken together, our data indicate that the high expression and activation of the P2Y4 receptor participates in the neuronal differentiation and commitment to death of SH-SY5Y cells. PMID: 15649700
顯示更多
收起更多
-
亞細胞定位:Cell membrane; Multi-pass membrane protein.
-
蛋白家族:G-protein coupled receptor 1 family
-
組織特異性:Pancreas.
-
數據庫鏈接:
Most popular with customers
-
-
Phospho-YAP1 (S127) Recombinant Monoclonal Antibody
Applications: ELISA, WB, IHC
Species Reactivity: Human
-
-
-
-
-
-















