OTOP1 Antibody
-
中文名稱:OTOP1兔多克隆抗體
-
貨號:CSB-PA752530LA01HU
-
規格:¥440
-
圖片:
-
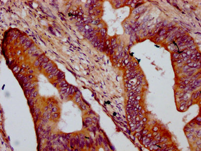
IHC image of CSB-PA752530LA01HU diluted at 1:400 and staining in paraffin-embedded human colon cancer performed on a Leica BondTM system. After dewaxing and hydration, antigen retrieval was mediated by high pressure in a citrate buffer (pH 6.0). Section was blocked with 10% normal goat serum 30min at RT. Then primary antibody (1% BSA) was incubated at 4°C overnight. The primary is detected by a biotinylated secondary antibody and visualized using an HRP conjugated SP system.
-
Immunofluorescence staining of Hela cells with CSB-PA752530LA01HU at 1:133, counter-stained with DAPI. The cells were fixed in 4% formaldehyde, permeabilized using 0.2% Triton X-100 and blocked in 10% normal Goat Serum. The cells were then incubated with the antibody overnight at 4°C. The secondary antibody was Alexa Fluor 488-congugated AffiniPure Goat Anti-Rabbit IgG(H+L).
-
-
其他:
產品詳情
-
產品名稱:Rabbit anti-Homo sapiens (Human) OTOP1 Polyclonal antibody
-
Uniprot No.:
-
基因名:OTOP1
-
別名:OTOP1 antibody; Proton channel OTOP1 antibody; Otopetrin-1 antibody; hOtop1 antibody
-
宿主:Rabbit
-
反應種屬:Human
-
免疫原:Recombinant Human Proton channel OTOP1 protein (414-544AA)
-
免疫原種屬:Homo sapiens (Human)
-
標記方式:Non-conjugated
本頁面中的產品,OTOP1 Antibody (CSB-PA752530LA01HU),的標記方式是Non-conjugated。對于OTOP1 Antibody,我們還提供其他標記。見下表:
-
克隆類型:Polyclonal
-
抗體亞型:IgG
-
純化方式:>95%, Protein G purified
-
濃度:It differs from different batches. Please contact us to confirm it.
-
保存緩沖液:Preservative: 0.03% Proclin 300
Constituents: 50% Glycerol, 0.01M PBS, pH 7.4 -
產品提供形式:Liquid
-
應用范圍:ELISA, IHC, IF
-
推薦稀釋比:
Application Recommended Dilution IHC 1:200-1:500 IF 1:50-1:200 -
Protocols:
-
儲存條件:Upon receipt, store at -20°C or -80°C. Avoid repeated freeze.
-
貨期:Basically, we can dispatch the products out in 1-3 working days after receiving your orders. Delivery time maybe differs from different purchasing way or location, please kindly consult your local distributors for specific delivery time.
-
用途:For Research Use Only. Not for use in diagnostic or therapeutic procedures.
相關產品
靶點詳情
-
功能:Proton-selective channel that specifically transports protons into cells. Proton channel activity is only weakly-sensitive to voltage. Proton-selective channel activity is probably required in cell types that use changes in intracellular pH for cell signaling or to regulate biochemical or developmental processes. In the vestibular system of the inner ear, required for the formation and function of otoconia, which are calcium carbonate crystals that sense gravity and acceleration. Probably acts by maintaining the pH appropriate for formation of otoconia. Regulates purinergic control of intracellular calcium in vestibular supporting cells. May be involved in sour taste perception in sour taste cells by mediating entry of protons within the cytosol. Also involved in energy metabolism, by reducing adipose tissue inflammation and protecting from obesity-induced metabolic dysfunction.
-
亞細胞定位:Cell membrane; Multi-pass membrane protein.
-
蛋白家族:Otopetrin family
-
數據庫鏈接:
Most popular with customers
-
-
YWHAB Recombinant Monoclonal Antibody
Applications: ELISA, WB, IHC, IF, FC
Species Reactivity: Human, Mouse, Rat
-
Phospho-YAP1 (S127) Recombinant Monoclonal Antibody
Applications: ELISA, WB, IHC
Species Reactivity: Human
-
-
-
-
-















