OPRK1 Antibody
-
中文名稱:OPRK1兔多克隆抗體
-
貨號:CSB-PA016359OA01HU
-
規格:¥440
-
圖片:
-
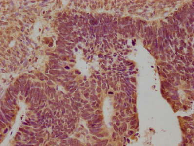
IHC image of CSB-PA016359OA01HU diluted at 1:100 and staining in paraffin-embedded human ovarian cancer performed on a Leica BondTM system. After dewaxing and hydration, antigen retrieval was mediated by high pressure in a citrate buffer (pH 6.0). Section was blocked with 10% normal goat serum 30min at RT. Then primary antibody (1% BSA) was incubated at 4°C overnight. The primary is detected by a biotinylated secondary antibody and visualized using an HRP conjugated SP system.
-
Immunofluorescence staining of HepG2 cells with CSB-PA016359OA01HU at 1:50, counter-stained with DAPI. The cells were fixed in 4% formaldehyde, permeabilized using 0.2% Triton X-100 and blocked in 10% normal Goat Serum. The cells were then incubated with the antibody overnight at 4°C. The secondary antibody was Alexa Fluor 488-congugated AffiniPure Goat Anti-Rabbit IgG(H+L).
-
-
其他:
產品詳情
-
產品名稱:Rabbit anti-Homo sapiens (Human) OPRK1 Polyclonal antibody
-
Uniprot No.:
-
基因名:
-
別名:OPRK1; OPRK; Kappa-type opioid receptor; K-OR-1; KOR-1
-
宿主:Rabbit
-
反應種屬:Human
-
免疫原:Peptide sequence from Human Kappa-type opioid receptor protein (31-50AA)
-
免疫原種屬:Homo sapiens (Human)
-
標記方式:Non-conjugated
本頁面中的產品,OPRK1 Antibody (CSB-PA016359OA01HU),的標記方式是Non-conjugated。對于OPRK1 Antibody,我們還提供其他標記。見下表:
-
克隆類型:Polyclonal
-
抗體亞型:IgG
-
純化方式:Antigen Affinity Purified
-
濃度:It differs from different batches. Please contact us to confirm it.
-
保存緩沖液:Preservative: 0.03% Proclin 300
Constituents: 50% Glycerol, 0.01M PBS, pH 7.4 -
產品提供形式:Liquid
-
應用范圍:ELISA, IHC, IF
-
推薦稀釋比:
Application Recommended Dilution IHC 1:20-1:200 IF 1:50-1:200 -
Protocols:
-
儲存條件:Upon receipt, store at -20°C or -80°C. Avoid repeated freeze.
-
貨期:Basically, we can dispatch the products out in 1-3 working days after receiving your orders. Delivery time maybe differs from different purchasing way or location, please kindly consult your local distributors for specific delivery time.
-
用途:For Research Use Only. Not for use in diagnostic or therapeutic procedures.
相關產品
靶點詳情
-
功能:G-protein coupled opioid receptor that functions as receptor for endogenous alpha-neoendorphins and dynorphins, but has low affinity for beta-endorphins. Also functions as receptor for various synthetic opioids and for the psychoactive diterpene salvinorin A. Ligand binding causes a conformation change that triggers signaling via guanine nucleotide-binding proteins (G proteins) and modulates the activity of down-stream effectors, such as adenylate cyclase. Signaling leads to the inhibition of adenylate cyclase activity. Inhibits neurotransmitter release by reducing calcium ion currents and increasing potassium ion conductance. Plays a role in the perception of pain. Plays a role in mediating reduced physical activity upon treatment with synthetic opioids. Plays a role in the regulation of salivation in response to synthetic opioids. May play a role in arousal and regulation of autonomic and neuroendocrine functions.
-
基因功能參考文獻:
- The OPRK1 gene variants showed significant association with susceptibility to opioid dependence among Iranians. PMID: 28786760
- Down-regulation of KOR in HCC tumour tissues has a strong association with poor prognosis and KOR might be a potential tumour suppressor. PMID: 28821282
- In HUVEC cells subjected to artificial hyperlipidemia, selective agonists and antagonists showed that kappa-opioid receptor stimulation normalizes endothelial ultrastructure and function under hyperlipidemic conditions via the PI3K/Akt/eNOS pathway. PMID: 27226238
- The OPRK1/kappa-opioid receptor pathway was found to be downregulated in lesional skin of psoriasis, correlating positively with itch sensation. PMID: 27958613
- These results indicate that KOR can form a heterodimer with B2R and this leads to increased protein kinase A activity by the CREB signaling pathway, leading to a significant increase in cell proliferation. PMID: 28069442
- that promoter fragments of OPRK1 and OPRM1 were able to upregulate gene expression with mild cognitive impairment PMID: 27838450
- Hypoxia inducible factor-1alpha (HIF-1alpha) siRNA knocked down the increase of endogenous HIF-1alpha messages and diminished the desferrioxamine (DFO)-induced increase of kappa-opioid receptor (hKOR) expression. PMID: 28117678
- genetic association studies in a population in Denmark: Data suggest that carriers/heterozygotes of the C allele (CC/CT) of OPRK SNP rs6473799 report a 30.4% higher mechanical visceral pain tolerance threshold than non-carriers. PMID: 27061127
- Molecular switches of the kappa opioid receptor triggered by 6'-GNTI and 5'-GNTI have been described. PMID: 26742690
- data provide evidence for genetic modulation of opioid withdrawal severity. PMID: 26692286
- OPRK1 promoter hypermethylation might increase the risk of AD through its regulation on the gene expression of OPRK1. PMID: 26300544
- OX1R and KOR heterodimerize, and this heterodimer associates with Galphas, leading to increased protein kinase A (PKA) signaling pathway activity, including upregulation of intracellular cAMP levels. PMID: 25866368
- The structure of the dynorphin (1-13) peptide (dynorphin) bound to the human kappa opioid receptor (KOR) has been determined by liquid-state NMR spectroscopy. PMID: 26372966
- RGS2 and RGS4 are new interacting partners that play key roles in G protein coupling to negatively regulate kappa-OmicronR signaling. PMID: 25289860
- Data show that the crystallographic structures of the mouse mu-opioid receptor (MOPr) and human kappa-opioid receptor (KOPr) indicate putative interfacial interactions. PMID: 24651466
- Here we describe three experimental procedures we used to evaluate the interaction between hKOPR and 14-3-3zeta: co-immunoprecipitation, pull-down assay and immunofluorescence microscopy. PMID: 25293321
- Studied differential DNA-protein interactions of PDYN and OPRK1 SNPs significantly associated with alcohol dependence. PMID: 25177835
- Results suggest that Kappa receptor availability in an amygdala-cingulate cortex-striatal circuit mediates the phenotypic expression of trauma-related loss (ie, dysphoria) symptoms. PMID: 25229257
- Low OPRK1 expression is associated with liver metastases of small bowel neuroendocrine tumors. PMID: 25241033
- Data indicate that replacement of the 3-hydroxyl substituent of the 4-(3-hydroxyphenyl) group of JDTic with a H, F, or Cl substituent leads to potent and selective kappa opioid receptor (KOR) antagonists. PMID: 25133923
- findings suggest that genetic polymorphisms in OPRK1 were associated with the body weight, alcohol use, and opioid withdrawal symptoms in MMT patients. PMID: 24525640
- Suggest that methamphetamine induced early autophagic response is a survival mechanism for apoptotic endothelial cells and is mediated through the kappa opioid receptor. PMID: 24603327
- In heroin-dependent patients, no difference was evidenced between responders and non-reponders to buprenorphine therapy in the frequency of OPRK1 SNP. PMID: 24274990
- Neurocognitive and neuroinflammatory correlates of OPRK1 mRNA expression in the anterior cingulate in postmortem brain of HIV-infected subjects. PMID: 24405578
- This study indicates that a patient's OPRK1 genotype could be used to identify a subset of individuals for whom vaccine treatment may be an effective pharmacotherapy for cocaine dependence. PMID: 23995774
- OPRK1 rs6989250 C>G is associated with stress-induced craving and cortisol, hyperactive hypothalamus/thalamus-midbrain-cerebellum responses, and also associated with greater subsequent cocaine relapse risk. PMID: 23962922
- Data suggest that dynorphin A (DynA) is ligand for opioid receptor kappa (KOR); upon DynA binding, only small chemical shifts observed in second extracellular loop of KOR; chemical shift changes of DynA show conclusively that DynA interacts with KOR. PMID: 24616919
- crystal structure provides fundamental insights into the activation mechanism of the kappa-opioid receptor and suggest that "functional" residues may be directly involved in transduction of the agonist binding event PMID: 24121503
- Kappa Opioid receptor in the nucleus is a novel prognostic factor of esophageal squamous cell carcinoma. PMID: 23574786
- OPRK1 and PDYN polymorphisms may alter severity of HIV infection and response to treatment. PMID: 23392455
- Pairwise tag single nucleotide polymorphisms (SNPs) in DREAM, PDYN and OPRK1 were genotyped in a United Kingdom population-based discovery cohort in whom pain was assessed. PMID: 22730276
- hKOR activates p38 MAPK through a phosphorylation and arrestin-dependent mechanism; however, activation differs between hKOR and rKOR for some ligands PMID: 23086943
- Data indicate that 14-3-3zeta interaction with kappa-opioid receptor (hKOPR) C-tail promotes export of hKOPR. PMID: 22989890
- A role is estsablished for dynorphin kappa-opioid receptor signaling in fear extinction. PMID: 22764240
- crystal structure of the human kappa-OR in complex with the selective antagonist JDTic, arranged in parallel dimers, at 2.9 A resolution PMID: 22437504
- Human apelin forms a heterodimer with the kappa opioid receptor and leads to increased protein kinase C and decreased protein kinase A. PMID: 22200678
- In summary, this study provides evidence that gene-gene interaction between KOR and OPRM1 can influence the risk of addiction to narcotics and alcohol. PMID: 22138325
- These findings provide evidence that previously demonstrated KOR-mediated reduction in intraocular pressure could be caused, in part, by NO production in both the ciliary body and the trabecular meshwork. PMID: 21666232
- This is the first report detailing the initiation of a KOR-induced JAK2/STAT3 and IRF2 signaling cascade, and these pathways result in substantial down-regulation of CXCR4 expression. PMID: 21447649
- because of its stronger binding for hKOPR, GEC1 is able to be recruited by hKOPR sufficiently without membrane association via its C-terminal modification; however, du GABARAP appears to require C-terminal modifications to enhance KOPR expression. PMID: 21388957
- Review. kappa-Opioid receptor signaling and brain reward function. PMID: 19804796
- phosphorylation of serine 369 mediates KOR desensitization and internalization PMID: 12815037
- binding of the KOR to NHERF-1/EBP50 facilitates oligomerization of NHERF-1/EBP50, leading to stimulation of NHE3. PMID: 15070904
- OPKR1 structure and association of haplotypes with opiate addiction was found to have empirical significance. PMID: 15608558
- The diterpenoid salvinorin A utilizes unique residues within a commonly shared binding pocket to selectively activate KORs. PMID: 15952771
- GEC1 interacts with the kappa opioid receptor and enhances expression of the receptor PMID: 16431922
- Family-based analyses demonstrated associations between alcohol dependence and multiple SNPs in intron 2 of OPRK1. PMID: 16924269
- Helical orientation of helix 2 are critical for the selectivity of salvinorin A binding to KOR and provide a structurally novel basis for ligand selectivity. PMID: 17121830
- frequency of KOR 36G > T SNP was significantly higher among heroin-dependent individuals compared with control subjects PMID: 17373729
- activation of KORs alters functional properties of neural precursor cells that are relevant to human brain development and repair. PMID: 17538007
顯示更多
收起更多
-
亞細胞定位:Cell membrane; Multi-pass membrane protein.
-
蛋白家族:G-protein coupled receptor 1 family
-
組織特異性:Detected in brain and placenta.
-
數據庫鏈接:
Most popular with customers
-
-
YWHAB Recombinant Monoclonal Antibody
Applications: ELISA, WB, IHC, IF, FC
Species Reactivity: Human, Mouse, Rat
-
Phospho-YAP1 (S127) Recombinant Monoclonal Antibody
Applications: ELISA, WB, IHC
Species Reactivity: Human
-
-
-
-
-















