OCLN Antibody
-
中文名稱:OCLN兔多克隆抗體
-
貨號:CSB-PA385632
-
規格:¥1100
-
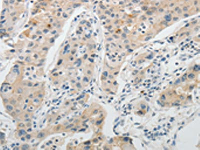
圖片:
-
The image on the left is immunohistochemistry of paraffin-embedded Human colon cancer tissue using CSB-PA385632(OCLN Antibody) at dilution 1/10, on the right is treated with fusion protein. (Original magnification: ×200)
-
The image on the left is immunohistochemistry of paraffin-embedded Human lung cancer tissue using CSB-PA385632(OCLN Antibody) at dilution 1/10, on the right is treated with fusion protein. (Original magnification: ×200)
-
-
其他:
產品詳情
-
Uniprot No.:
-
基因名:
-
別名:OCLN; Occludin
-
宿主:Rabbit
-
反應種屬:Human,Mouse,Rat
-
免疫原:Fusion protein of Human OCLN
-
免疫原種屬:Homo sapiens (Human)
-
標記方式:Non-conjugated
-
抗體亞型:IgG
-
純化方式:Antigen affinity purification
-
濃度:It differs from different batches. Please contact us to confirm it.
-
保存緩沖液:-20°C, pH7.4 PBS, 0.05% NaN3, 40% Glycerol
-
產品提供形式:Liquid
-
應用范圍:ELISA,IHC
-
推薦稀釋比:
Application Recommended Dilution ELISA 1:1000-1:2000 IHC 1:15-1:50 -
Protocols:
-
儲存條件:Upon receipt, store at -20°C or -80°C. Avoid repeated freeze.
-
貨期:Basically, we can dispatch the products out in 1-3 working days after receiving your orders. Delivery time maybe differs from different purchasing way or location, please kindly consult your local distributors for specific delivery time.
-
用途:For Research Use Only. Not for use in diagnostic or therapeutic procedures.
相關產品
靶點詳情
-
功能:May play a role in the formation and regulation of the tight junction (TJ) paracellular permeability barrier. It is able to induce adhesion when expressed in cells lacking tight junctions.; (Microbial infection) Acts as a co-receptor for hepatitis C virus (HCV) in hepatocytes.
-
基因功能參考文獻:
- our findings for the first time identify the role of occludin as a tumor promoter and a prometastatic factor in lung cancer, demonstrating that occludin is a potential prognostic biomarker and therapeutic target in lung cancer PMID: 29750300
- Occludin protein may contribute to the development of cervical cancer. However, it was not correlated with the clinical features. PMID: 29516973
- Low occludin expression is associated with Renal cell carcinoma. PMID: 28534944
- decreased interaction between ZO-1 and occludin might contribute to the epiphora occurred in the transplanted submandibular glands PMID: 28332063
- integration of claudin-2, occludin and ZO-1 is necessary for maintaining the function of the proximal tubular epithelium. PMID: 29252987
- Molecular studies of the OCLN gene (NM_001205254) identified six distinct candidate mutations in polymicrogyria. PMID: 28179633
- Glutamine increased claudin-1 expression in the colonic mucosa of patients with irritable bowel syndrome. In contrast, occludin expression was not significantly modified by glutamine. PMID: 25972430
- Endothelial cellsTLR4 strongly regulates retinal vessel permeability by reducing expression of occludin and zonula occludens 1. PMID: 29136627
- Suggest endothelial progenitor cell occluding regulates tube formation, sprouting, and proliferation. PMID: 28681912
- Viral infectivity was significantly reduced by miR-200c but enhanced by miR-122. PMID: 28642978
- The mechanism of transition from nondifferentiated to differentiated states in HepaRG cells was studed by proteomics. Two key factors (MMP-14 and OCLN) were validated by qRT-PCR and Western blot. PMID: 27790907
- Intracellular zinc has an essential role in the maintenance of the intestinal epithelial tight junction barrier through regulation of occludin proteolysis and claudin-3 transcription. PMID: 27151944
- Data suggest that long noncoding RNA PlncRNA1 and microRNA miR-34c bound together to regulate the expressions of MAZ, ZO-1 and occludin. PMID: 28153728
- Study provides evidence that occludin contributes to the regulation of size-reductive proliferation and epithelial cell maturation in a phosphorylation-dependent manner. PMID: 27185880
- Report shows that silencing MARCH3 protects the endothelial barrier and upregulates OCLN in MARCH3-depleted cells. MARCH3 silencing results in the strengthening of cell-cell contacts and inactivates FoxO1. PMID: 27616439
- STAT3 activation downregulates the ZO-1 and occludin levels and increases the endothelial permeability through the induction of VEGF production in retinal endothelial cells. PMID: 27580405
- Downregulation of OCLN is associated with clear cell renal cell carcinoma. PMID: 28184927
- These data suggest that the Rho/ROCK signaling pathway is involved in HIV-1 Tat-mediated changes in occludin, RAGE, and LRP1 in human cerebral microvascular endothelial cells cells. PMID: 27563375
- OCLN is essential for HCV infection of human hepatic cells. PMID: 26887345
- OCLN and ZO1 levels appear to be early prognostic markers in patients suffering from sepsis. PMID: 26863122
- autotypic tight junctions molecular composition, like claudin-1 and occludin expression could influence the demyelinating process by altering the permeability of the blood-nerve barrier. PMID: 26662145
- Occludin expression has a clear relationship with bone metastasis in human cancer. PMID: 26977027
- This is report of a family of Indian origin with two affected sibs and segregation of a homozygous novel OCLN mutation in the exon 3(NG_028291.1(OCLN_v001):c.252delC). PMID: 26689621
- Data show that estrogen mediates control of hepatitis C virus through the G-protein-coupled estrogen receptor 30 (GPR30) pathway leading to cleavage of occludin by Matrix Metalloproteinase-9 (MMP-9). PMID: 26731262
- In hepatitis C virus -infected human livers, occludin and ADRP mRNA expression levels correlated with each other. Hepatitis C virus increases occludin expression via the upregulation of ADRP. PMID: 26731658
- Data show that claudin-6 (CLDN6) R209Q and occludin (OCLN) P24A mutations do not affect HCV pseudoparticles (HCVpp) entry. PMID: 26561856
- resistance to HCV in HIV+ patients may be related to genetic variation in SCARB1 or OCLN PMID: 26571379
- Angiopoietin-1 Regulates Brain Endothelial Permeability through PTPN-2 Mediated Tyrosine Dephosphorylation of Occludin PMID: 26090670
- TIMP1 downregulates MMP-2 activity and inhibits the degradation of occluding in Caco-2 intestinal cells PMID: 25665057
- Study uncovers a novel antiviral effect of miR-122 on human liver cells and shows that over-expression of miR-122 can decrease HCV entry into hepatocytes through down-regulation of OCLN. PMID: 25302477
- Lipid raft-associated processes, such as PP2A and MMP-2 activation, participate in PCB153-induced disruption of occludin function in brain endothelial barrier. PMID: 26080028
- miR-18a and RUNX1 could reversely regulate the permeability of blood-tumor barrier as well as the expressions and distributions of ZO-1, occludin and claudin-5. PMID: 25452107
- Zonula occludens-1, occludin and E-cadherin expression and organization in salivary glands PMID: 25248927
- LL-37 selectively increased the expression of several claudins and occludin, and enhanced their membrane distribution. PMID: 24862212
- In conclusion, our present study indicated that miR-34c regulated the permeability of BTB via MAZ-mediated expression changes of ZO-1, occludin, and claudin-5. PMID: 25201524
- findings suggest that cerebral vascular cells express functional BACE1. Moreover, elevated vascular BACE1 may contribute to deficiency of occludin in caa. PMID: 24739782
- luciferase assays and chromatin immunoprecipitation assays showed that KLF4 up-regulated the promoter activities and interacted with "CACCC" DNA sequence presented in the promoters of ZO-1, occludin, and claudin-5. PMID: 24318462
- We conclude that OCEL-mediated occludin interactions are essential for limiting paracellular macromolecular flux. PMID: 23924897
- Data suggest components of diet supplements (here, glutamine/arginine) can improve permeability and tight junction protein expression (OCLN/zona occludens 1) in enterocytes exposed to deleterious effects of antineoplastic agents (here, methotrexate). PMID: 23428392
- Eosinophilic esophagitis (EoE), an inflammatory atopic disease of the esophagus, causes massive eosinophil infiltration, basal cell hyperplasia, and sub-epithelial fibrosis. Western analysis of pinch biopsies from EoE and normal pediatric patients indicated reduced expression of intercellular junction proteins, E-cadherin and claudin-1 and increased expression of occludin and vimentin. PMID: 23792687
- actin cytoskeletal dynamics is detrimental to METH-induced BBB dysfunction by increasing internalization of occludin. PMID: 24081143
- identification of a novel deletion/rearrangement of OCLN that results in band-like brain calcification, limited cognitive abilities, failure to thrive and renal dysfunction in early childhood PMID: 23793442
- In HepG2 cells, both hepatitis C virus cell entry and tight junction formation were impaired by OCLN silencing and restored by expression of antibody regulatable OCLN mutant. PMID: 23555257
- Loss of occludin is involved in adhesion, apoptosis, differentiation, Ca2+-homeostasis and neoplastic transformation in UV-exposed human keratinocytes and in skin neoplasms. PMID: 23390516
- Sinonasal epithelium in allergic fungal rhinosinusitis displays increased epithelial permeability and an altered expression of occludin. PMID: 22927233
- HuR promotes occludin translation by blocking occludin mRNA translocation to P-bodies via the displacement of CUGBP1. PMID: 23155001
- It is concluded that attenuated expression of the TJ proteins occludin and ZO-1 in human gastric epithelial cells could be involved in clopidogrel-induced gastric mucosal injury through activation of the p38 MAPK pathway PMID: 23220562
- Elevated occludin expression is associated with active ulcerative colitis. PMID: 22134947
- TTF-1 transcriptionally regulates occludin PMID: 22761434
- We define the interface between the ZO-1 PDZ3-SH3-U5-GuK (PSG) and occludin coiled-coil (CC) domains. PMID: 22711802
顯示更多
收起更多
-
相關疾?。?/div>Pseudo-TORCH syndrome 1 (PTORCH1)亞細胞定位:Cell membrane; Multi-pass membrane protein. Cell junction, tight junction.蛋白家族:ELL/occludin family組織特異性:Localized at tight junctions of both epithelial and endothelial cells. Highly expressed in kidney. Not detected in testis.數據庫鏈接:
Most popular with customers
-
-
YWHAB Recombinant Monoclonal Antibody
Applications: ELISA, WB, IHC, IF, FC
Species Reactivity: Human, Mouse, Rat
-
Phospho-YAP1 (S127) Recombinant Monoclonal Antibody
Applications: ELISA, WB, IHC
Species Reactivity: Human
-
-
-
-
-















