OAZ1 Antibody
-
中文名稱:OAZ1兔多克隆抗體
-
貨號:CSB-PA016245DSR1HU
-
規格:¥440
-
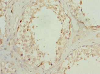
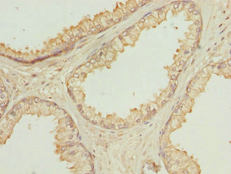
圖片:
-
其他:
產品詳情
-
產品名稱:Rabbit anti-Homo sapiens (Human) OAZ1 Polyclonal antibody
-
Uniprot No.:
-
基因名:OAZ1
-
別名:Antizyme 1 antibody; Antizyme antibody; AZI antibody; MGC138338 antibody; OAZ 1 antibody; OAZ antibody; OAZ1 antibody; OAZ1_HUMAN antibody; ODC Az antibody; ODC-Az antibody; Ornithine decarboxylase antizyme 1 antibody; Ornithine decarboxylase antizyme antibody
-
宿主:Rabbit
-
反應種屬:Human
-
免疫原:Recombinant Human Ornithine decarboxylase antizyme 1 protein (1-68AA)
-
免疫原種屬:Homo sapiens (Human)
-
標記方式:Non-conjugated
-
克隆類型:Polyclonal
-
抗體亞型:IgG
-
純化方式:Antigen Affinity Purified
-
濃度:It differs from different batches. Please contact us to confirm it.
-
保存緩沖液:PBS with 0.02% sodium azide, 50% glycerol, pH7.3.
-
產品提供形式:Liquid
-
應用范圍:ELISA, IHC
-
推薦稀釋比:
Application Recommended Dilution IHC 1:20-1:200 -
Protocols:
-
儲存條件:Upon receipt, store at -20°C or -80°C. Avoid repeated freeze.
-
貨期:Basically, we can dispatch the products out in 1-3 working days after receiving your orders. Delivery time maybe differs from different purchasing way or location, please kindly consult your local distributors for specific delivery time.
-
用途:For Research Use Only. Not for use in diagnostic or therapeutic procedures.
相關產品
靶點詳情
-
功能:Ornithine decarboxylase (ODC) antizyme protein that negatively regulates ODC activity and intracellular polyamine biosynthesis and uptake in response to increased intracellular polyamine levels. Binds to ODC monomers, inhibiting the assembly of the functional ODC homodimer, and targets the monomers for ubiquitin-independent proteolytic destruction by the 26S proteasome. Triggers ODC degradation by inducing the exposure of a cryptic proteasome-interacting surface of ODC. Stabilizes AZIN2 by interfering with its ubiquitination. Also inhibits cellular uptake of polyamines by inactivating the polyamine uptake transporter. SMAD1/OAZ1/PSMB4 complex mediates the degradation of the CREBBP/EP300 repressor SNIP1. Involved in the translocation of AZIN2 from ER-Golgi intermediate compartment (ERGIC) to the cytosol.
-
基因功能參考文獻:
- Data show the the interplay between the enzyme ornithine decarboxylase (ODC) and two regulatory proteins: antizyme (Az) and inhibitor (AzIN). PMID: 26305948
- the effects of AZ on cell growth are independent of polyamines. PMID: 24930035
- Results show that ornithine decarboxylase antizyme 1 (OAZ1) simultaneously inhibits the proliferation and induces the differentiation of oral cancer cells. PMID: 25318549
- To further understand its functions in CML pathogenesis, OAZ1 was overexpressed, and PCR array analysis was used to monitor the expression of key genes commonly involved in leukemia development. PMID: 24192781
- Gene expression studies have identified altered expression of ornithine decarboxylase antizyme 1 in suicide completers with a history of mood disorders. PMID: 23260169
- This study demomistrated that H3K4me3 modification plays an important role in up regulation of AOAZ1 in prefrontal cortex. PMID: 22008221
- In the absence of amino acids, mTORC1 is inhibited, whereas mTORC2 is activated, leading to the inhibition of global protein synthesis and increased AZ1 synthesis via a cap-independent mechanism. PMID: 22157018
- AZ_95-176 is the minimal AZ peptide that is fully functioning in the binding of ODC and AZI and inhibition of their function. PMID: 21931692
- the differences in residues 125 and 140 in ODC and AZI are responsible for the differential antizyme-binding affinities PMID: 21552531
- Data show that OAZ promotes the removal of Mps1 from centrosomes, and centrosome overproduction caused by reducing OAZ activity requires Mps1. PMID: 20861309
- These data together demonstrate the existence of a c-Jun-dependent mechanism regulating the abundance of the antiapoptotic DNp73 in response to genotoxic stress. PMID: 20185758
- Human AZI is capable of acting as a general inhibitor for all members of the antizyme family. PMID: 15355308
- Special polymorphism haplotype of OAZ gene is associated with Chinese systemic lupus erythematosus. OAZ may suggest a new pathway for lupus. PMID: 15476163
- This study also suggests that highly expressed AZI may be partly responsible for increased ODC activity and cellular transformation. PMID: 15670771
- OAZ can alter the intensity and duration of the BMP4 stimulus through Smad6 PMID: 16373339
- Ornithine decarboxylase antizyme 1 enhances the ability of UM1 human oral squamous cancer cells to repair DNA double-strand breaks by the nonhomologous end-joining pathway. PMID: 17630775
- Identified the OAZ1+2222A/G polymorphism as a potential genetic marker of vascular events. PMID: 17761941
- Yeast antizyme mediates degradation of yeast ornithine decarboxylase by yeast but not by mammalian proteasome: new insights on yeast antizyme PMID: 18089576
- Data suggest that residue 331 may play a major role in the dimerization of AZI, and the mutating Ser-331 to Tyr in AZI (AZI-S331Y) caused a shift from a monomer configuration to a dimer. PMID: 19635796
- antizyme expression requires programmed, ribosomal frameshifting PMID: 7813017
顯示更多
收起更多
-
蛋白家族:ODC antizyme family
-
數據庫鏈接:
Most popular with customers
-
-
YWHAB Recombinant Monoclonal Antibody
Applications: ELISA, WB, IHC, IF, FC
Species Reactivity: Human, Mouse, Rat
-
Phospho-YAP1 (S127) Recombinant Monoclonal Antibody
Applications: ELISA, WB, IHC
Species Reactivity: Human
-
-
-
-
-















