NUPL2 Antibody
-
中文名稱:NUPL2兔多克隆抗體
-
貨號:CSB-PA016211LA01HU
-
規格:¥440
-
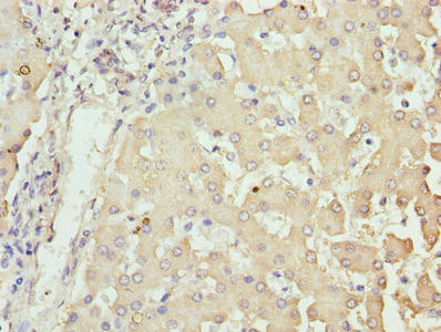
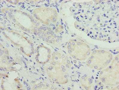
圖片:
-
其他:
產品詳情
-
產品名稱:Rabbit anti-Homo sapiens (Human) NUPL2 Polyclonal antibody
-
Uniprot No.:
-
基因名:NUPL2
-
別名:NUP42 antibody; CG1 antibody; NUPL2 antibody; Nucleoporin NUP42 antibody; NLP-1 antibody; NUP42 homolog antibody; Nucleoporin hCG1 antibody; Nucleoporin-42 antibody; Nucleoporin-like protein 2 antibody
-
宿主:Rabbit
-
反應種屬:Human
-
免疫原:Recombinant Human Nucleoporin-like protein 2 protein (1-224AA)
-
免疫原種屬:Homo sapiens (Human)
-
標記方式:Non-conjugated
本頁面中的產品,NUPL2 Antibody (CSB-PA016211LA01HU),的標記方式是Non-conjugated。對于NUPL2 Antibody,我們還提供其他標記。見下表:
-
克隆類型:Polyclonal
-
抗體亞型:IgG
-
純化方式:>95%, Protein G purified
-
濃度:It differs from different batches. Please contact us to confirm it.
-
保存緩沖液:Preservative: 0.03% Proclin 300
Constituents: 50% Glycerol, 0.01M PBS, PH 7.4 -
產品提供形式:Liquid
-
應用范圍:ELISA, IHC
-
推薦稀釋比:
Application Recommended Dilution IHC 1:20-1:200 -
Protocols:
-
儲存條件:Upon receipt, store at -20°C or -80°C. Avoid repeated freeze.
-
貨期:Basically, we can dispatch the products out in 1-3 working days after receiving your orders. Delivery time maybe differs from different purchasing way or location, please kindly consult your local distributors for specific delivery time.
-
用途:For Research Use Only. Not for use in diagnostic or therapeutic procedures.
相關產品
靶點詳情
-
功能:Required for the export of mRNAs containing poly(A) tails from the nucleus into the cytoplasm.; (Microbial infection) In case of infection by HIV-1, it may participate in the docking of viral Vpr at the nuclear envelope.
-
基因功能參考文獻:
- NLP1 functions as an accessory factor in CRM1-dependent nuclear protein export PMID: 22250199
- Data show that human nucleoporin CG1 participates in the docking of Vpr at the nuclear envelope, which may contribute to the disruption of the nuclear envelope and to the nuclear import of the viral DNA. PMID: 12228227
-
亞細胞定位:Nucleus, nuclear pore complex. Nucleus membrane; Peripheral membrane protein; Cytoplasmic side.
-
組織特異性:Ubiquitously expressed.
-
數據庫鏈接:
Most popular with customers
-
-
YWHAB Recombinant Monoclonal Antibody
Applications: ELISA, WB, IHC, IF, FC
Species Reactivity: Human, Mouse, Rat
-
Phospho-YAP1 (S127) Recombinant Monoclonal Antibody
Applications: ELISA, WB, IHC
Species Reactivity: Human
-
-
-
-
-















