NUDT5 Antibody
-
中文名稱:NUDT5兔多克隆抗體
-
貨號:CSB-PA891535LA01HU
-
規格:¥440
-
圖片:
-
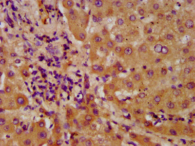
IHC image of CSB-PA891535LA01HU diluted at 1:600 and staining in paraffin-embedded human liver tissue performed on a Leica BondTM system. After dewaxing and hydration, antigen retrieval was mediated by high pressure in a citrate buffer (pH 6.0). Section was blocked with 10% normal goat serum 30min at RT. Then primary antibody (1% BSA) was incubated at 4°C overnight. The primary is detected by a biotinylated secondary antibody and visualized using an HRP conjugated SP system.
-
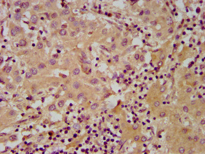
IHC image of CSB-PA891535LA01HU diluted at 1:600 and staining in paraffin-embedded human liver cancer performed on a Leica BondTM system. After dewaxing and hydration, antigen retrieval was mediated by high pressure in a citrate buffer (pH 6.0). Section was blocked with 10% normal goat serum 30min at RT. Then primary antibody (1% BSA) was incubated at 4°C overnight. The primary is detected by a biotinylated secondary antibody and visualized using an HRP conjugated SP system.
-
Immunofluorescence staining of HepG2 cells with CSB-PA891535LA01HU at 1:200, counter-stained with DAPI. The cells were fixed in 4% formaldehyde, permeabilized using 0.2% Triton X-100 and blocked in 10% normal Goat Serum. The cells were then incubated with the antibody overnight at 4°C. The secondary antibody was Alexa Fluor 488-congugated AffiniPure Goat Anti-Rabbit IgG(H+L).
-
-
其他:
產品詳情
-
產品名稱:Rabbit anti-Homo sapiens (Human) NUDT5 Polyclonal antibody
-
Uniprot No.:
-
基因名:NUDT5
-
別名:ADP sugar pyrophosphatase antibody; ADP-sugar pyrophosphatase antibody; hYSAH 1 antibody; hYSAH1 antibody; Nucleoside diphosphate linked moiety X motif 5 antibody; Nucleoside diphosphate linked moiety X type motif 5 antibody; Nucleoside diphosphate-linked moiety X motif 5 antibody; Nudix (nucleoside diphosphate linked moiety X) type motif 5 antibody; Nudix motif 5 antibody; Nudix type motif 5 antibody; NUDT 5 antibody; Nudt5 antibody; NUDT5_HUMAN antibody; YSA1 antibody; YSA1H antibody
-
宿主:Rabbit
-
反應種屬:Human
-
免疫原:Recombinant Human ADP-sugar pyrophosphatase protein (34-166AA)
-
免疫原種屬:Homo sapiens (Human)
-
標記方式:Non-conjugated
本頁面中的產品,NUDT5 Antibody (CSB-PA891535LA01HU),的標記方式是Non-conjugated。對于NUDT5 Antibody,我們還提供其他標記。見下表:
-
克隆類型:Polyclonal
-
抗體亞型:IgG
-
純化方式:>95%, Protein G purified
-
濃度:It differs from different batches. Please contact us to confirm it.
-
保存緩沖液:Preservative: 0.03% Proclin 300
Constituents: 50% Glycerol, 0.01M PBS, pH 7.4 -
產品提供形式:Liquid
-
應用范圍:ELISA, IHC, IF
-
推薦稀釋比:
Application Recommended Dilution IHC 1:500-1:1000 IF 1:200-1:500 -
Protocols:
-
儲存條件:Upon receipt, store at -20°C or -80°C. Avoid repeated freeze.
-
貨期:Basically, we can dispatch the products out in 1-3 working days after receiving your orders. Delivery time maybe differs from different purchasing way or location, please kindly consult your local distributors for specific delivery time.
-
用途:For Research Use Only. Not for use in diagnostic or therapeutic procedures.
相關產品
靶點詳情
-
功能:Enzyme that can either act as an ADP-sugar pyrophosphatase in absence of diphosphate or catalyze the synthesis of ATP in presence of diphosphate. In absence of diphosphate, hydrolyzes with similar activities various modified nucleoside diphosphates such as ADP-ribose, ADP-mannose, ADP-glucose, 8-oxo-GDP and 8-oxo-dGDP. Can also hydrolyze other nucleotide sugars with low activity. In presence of diphosphate, mediates the synthesis of ATP in the nucleus by catalyzing the conversion of ADP-ribose to ATP and ribose 5-phosphate. Nuclear ATP synthesis takes place when dephosphorylated at Thr-45. Nuclear ATP generation is required for extensive chromatin remodeling events that are energy-consuming. Does not play a role in U8 snoRNA decapping activity. Binds U8 snoRNA.
-
基因功能參考文獻:
- Data suggest that targeting nudix hydrolase 5 (NUDT5) may represent a promising new therapeutic approach for breast cancer treatment. PMID: 29343827
- In the presence of pyrophosphate, ADP-ribose is used by the pyrophosphatase NUDIX5 to generate nuclear ATP. PMID: 27257257
- The NUDT5 protein could play significant roles in the prevention of RNA oxidation and survival in human fibroblast cells. PMID: 23581889
- Results suggest that the NUDT5 protein may play significant roles in regulating the G1-S transition in HeLa cells. PMID: 22200976
- The human NUDT5, which has an intrinsic activity to cleave ADP sugars to AMP and sugar phosphate, possesses the ability to degrade 8-oxo-dGDP to the monophosphate. PMID: 21389046
- The broad substrate specificity of hNUDT5 is achieved by a diversity of not only substrate recognition, but also hydrolysis mechanisms. PMID: 21768126
- human MTH1, MTH2, and NUDT5 proteins act as a defense against the mutagenesis induced by oxidized dGTP. PMID: 20144704
- NUDT5 protein eliminates various oxidized deoxyribonucleoside diphosphates from the nucleotide pool and prevents their toxic effects. PMID: 19699693
- degrades 8-oxo-dGDP to 8-oxo-dGMP, an unusable form for DNA synthesis, and promotes the cleavage of 8-oxo-dGTP by MTH1 to yield 8-oxo-dGMP also PMID: 12717453
- Results report the crystal structure of hNUDT5 in complex with a non-hydrolyzable ADPR analogue, alpha,beta-methyleneadenosine diphosphoribose, and three Mg(2+) ions representing the transition state of the enzyme during catalysis. PMID: 18462755
顯示更多
收起更多
-
亞細胞定位:Nucleus.
-
蛋白家族:Nudix hydrolase family
-
組織特異性:Widely expressed. Most abundant in liver.
-
數據庫鏈接:
Most popular with customers
-
-
YWHAB Recombinant Monoclonal Antibody
Applications: ELISA, WB, IHC, IF, FC
Species Reactivity: Human, Mouse, Rat
-
Phospho-YAP1 (S127) Recombinant Monoclonal Antibody
Applications: ELISA, WB, IHC
Species Reactivity: Human
-
-
-
-
-















