NUDT2 Antibody
-
中文名稱:NUDT2兔多克隆抗體
-
貨號:CSB-PA2105ESR1HU
-
規格:¥440
-
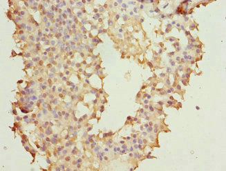
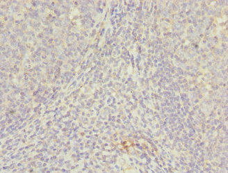
圖片:
-
其他:
產品詳情
-
產品名稱:Rabbit anti-Homo sapiens (Human) NUDT2 Polyclonal antibody
-
Uniprot No.:
-
基因名:NUDT2
-
別名:2310051L06Rik antibody; 5''''-P1 antibody; AA939917 antibody; Ap4A hydrolase 1 antibody; Ap4A hydrolase antibody; AP4A_HUMAN antibody; Ap4Aase antibody; APAH 1 antibody; APAH1 antibody; Bis(5' nucleosyl) tetraphosphatase [asymmetrical] antibody; Bis(5''-nucleosyl)-tetraphosphatase [asymmetrical] antibody; Diadenosine 5'' antibody; Diadenosine 5',5''' P1,P4 tetraphosphate asymmetrical hydrolase antibody; Diadenosine 5',5''-P1,P4-tetraphosphate pyrophosphohydrolase antibody; Diadenosine tetraphosphatase antibody; EC 3.6.1.17 antibody; MGC10404 antibody; Nucleoside diphosphate linked moiety X motif 2 antibody; Nucleoside diphosphate-linked moiety X motif 2 antibody; nudix (nucleoside diphosphate linked moiety X)-type motif 2 antibody; Nudix motif 2 antibody; Nudix-type motif 2 antibody; NUDT 2 antibody; NUDT2 antibody; OTTHUMP00000021256 antibody; OTTHUMP00000021257 antibody; OTTHUMP00000021258 antibody; OTTHUMP00000021259 antibody; P4-tetraphosphate asymmetrical hydrolase antibody
-
宿主:Rabbit
-
反應種屬:Human
-
免疫原:Recombinant Human Bis(5\'-nucleosyl)-tetraphosphatase [asymmetrical] protein (1-147AA)
-
免疫原種屬:Homo sapiens (Human)
-
標記方式:Non-conjugated
-
克隆類型:Polyclonal
-
抗體亞型:IgG
-
純化方式:Antigen Affinity Purified
-
濃度:It differs from different batches. Please contact us to confirm it.
-
保存緩沖液:PBS with 0.02% sodium azide, 50% glycerol, pH7.3.
-
產品提供形式:Liquid
-
應用范圍:ELISA, IHC
-
推薦稀釋比:
Application Recommended Dilution IHC 1:20-1:200 -
Protocols:
-
儲存條件:Upon receipt, store at -20°C or -80°C. Avoid repeated freeze.
-
貨期:Basically, we can dispatch the products out in 1-3 working days after receiving your orders. Delivery time maybe differs from different purchasing way or location, please kindly consult your local distributors for specific delivery time.
-
用途:For Research Use Only. Not for use in diagnostic or therapeutic procedures.
相關產品
靶點詳情
-
功能:Catalyzes the asymmetric hydrolysis of diadenosine 5',5'''-P1,P4-tetraphosphate (Ap4A) to yield AMP and ATP. Exhibits decapping activity towards FAD-capped RNAs and dpCoA-capped RNAs in vitro.
-
基因功能參考文獻:
- NUDT2 is a novel complex formation enhancing factor regulating mTORC1-Rag GTPase signaling that is crucial for cell growth control. PMID: 28089905
- Regulation of gene expression is one of several roles proposed for the stress-induced nucleotide diadenosine tetraphosphate (Ap4A). We have examined this directly by a comparative RNA-Seq analysis of KBM-7 chronic myelogenous leukemia cells and KBM-7 cells in which the NUDT2 Ap4A hydrolase gene had been disrupted (NuKO cells), causing a 175-fold increase in intracellular Ap4A. PMID: 27144453
- This paper presents the crystal structure of wild-type and E58A mutant human Ap4A hydrolase. PMID: 23384440
- High NUDT2 is associated with breast carcinoma. PMID: 20533549
- In this study the authors present data demonstrating that the SARS-CoV 7a protein interacts with human Ap4A-hydrolase (asymmetrical diadenosine tetraphosphate hydrolase, EC 3.6.1.17). PMID: 20144233
- crystallographic structure and substrate-binding mechanism of Ap4A hydrolase PMID: 15596429
- NMR resonance assignments PMID: 15772762
顯示更多
收起更多
-
蛋白家族:Nudix hydrolase family
-
數據庫鏈接:
Most popular with customers
-
-
YWHAB Recombinant Monoclonal Antibody
Applications: ELISA, WB, IHC, IF, FC
Species Reactivity: Human, Mouse, Rat
-
Phospho-YAP1 (S127) Recombinant Monoclonal Antibody
Applications: ELISA, WB, IHC
Species Reactivity: Human
-
-
-
-
-















