NUBPL Antibody
-
中文名稱:NUBPL兔多克隆抗體
-
貨號:CSB-PA819450LA01HU
-
規格:¥440
-
圖片:
-
Western blot
All lanes: NUBPL antibody at 1µg/ml + A431 whole cell lysate
Secondary
Goat polyclonal to rabbit IgG at 1/10000 dilution
Predicted band size: 35, 19 kDa
Observed band size: 35 kDa -
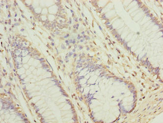
Immunohistochemistry of paraffin-embedded human colon cancer using CSB-PA819450LA01HU at dilution of 1:100
-
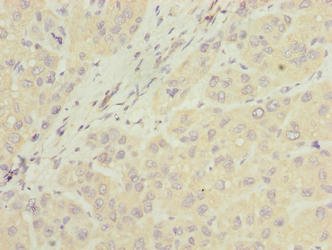
Immunohistochemistry of paraffin-embedded human liver cancer using CSB-PA819450LA01HU at dilution of 1:100
-
-
其他:
產品詳情
-
產品名稱:Rabbit anti-Homo sapiens (Human) NUBPL Polyclonal antibody
-
Uniprot No.:
-
基因名:NUBPL
-
別名:C14orf127 antibody; FLJ12660 antibody; huInd1 antibody; IND1 homolog antibody; Iron-sulfur protein NUBPL antibody; Nubpl antibody; NUBPL_HUMAN antibody; nucleotide binding protein like antibody; Nucleotide-binding protein-like antibody
-
宿主:Rabbit
-
反應種屬:Human
-
免疫原:Recombinant Human Iron-sulfur protein NUBPL protein (39-319AA)
-
免疫原種屬:Homo sapiens (Human)
-
標記方式:Non-conjugated
本頁面中的產品,NUBPL Antibody (CSB-PA819450LA01HU),的標記方式是Non-conjugated。對于NUBPL Antibody,我們還提供其他標記。見下表:
-
克隆類型:Polyclonal
-
抗體亞型:IgG
-
純化方式:Antigen Affinity Purified
-
濃度:It differs from different batches. Please contact us to confirm it.
-
保存緩沖液:Preservative: 0.03% Proclin 300
Constituents: 50% Glycerol, 0.01M PBS, PH 7.4 -
產品提供形式:Liquid
-
應用范圍:ELISA, WB, IHC
-
推薦稀釋比:
Application Recommended Dilution WB 1:500-1:2000 IHC 1:20-1:200 -
Protocols:
-
儲存條件:Upon receipt, store at -20°C or -80°C. Avoid repeated freeze.
-
貨期:Basically, we can dispatch the products out in 1-3 working days after receiving your orders. Delivery time maybe differs from different purchasing way or location, please kindly consult your local distributors for specific delivery time.
-
用途:For Research Use Only. Not for use in diagnostic or therapeutic procedures.
相關產品
靶點詳情
-
功能:Required for the assembly of the mitochondrial membrane respiratory chain NADH dehydrogenase (Complex I). May deliver of one or more Fe-S clusters to complex I subunits.
-
基因功能參考文獻:
- huInd1 binds to the untranslated region of the TEM-1 mRNA at 3' site and thereby reducing the possibility of its endonucleolytic cleavage, resulting in over-expression of TEM-1. PMID: 25240856
- Inhibition of ERK suppressed the NUBPL-induced changes in EMT and cell motility. PMID: 28346728
- Our data show that NUBPL mutations are associated with a unique, consistent, and recognizable MRI pattern. PMID: 23553477
- Mutations in NUBPL is associated with complex I deficiency. PMID: 20818383
- These data identify huInd1 as a new assembly factor for human respiratory complex I with a possible role in the delivery of one or more Fe/S clusters to complex I subunits.[Ind1] PMID: 19752196
顯示更多
收起更多
-
相關疾病:Mitochondrial complex I deficiency (MT-C1D)
-
亞細胞定位:Mitochondrion.
-
蛋白家族:Mrp/NBP35 ATP-binding proteins family
-
組織特異性:Highest expression in liver and kidney. expressed at significant levels in small intestine and brain (at protein level).
-
數據庫鏈接:
Most popular with customers
-
-
YWHAB Recombinant Monoclonal Antibody
Applications: ELISA, WB, IHC, IF, FC
Species Reactivity: Human, Mouse, Rat
-
Phospho-YAP1 (S127) Recombinant Monoclonal Antibody
Applications: ELISA, WB, IHC
Species Reactivity: Human
-
-
-
-
-















