NSUN7 Antibody
-
中文名稱:NSUN7兔多克隆抗體
-
貨號:CSB-PA822769LA01HU
-
規格:¥440
-
圖片:
-
其他:
產品詳情
-
產品名稱:Rabbit anti-Homo sapiens (Human) NSUN7 Polyclonal antibody
-
Uniprot No.:
-
基因名:NSUN7
-
別名:NSUN7Putative methyltransferase NSUN7 antibody; EC 2.1.1.- antibody; NOL1/NOP2/Sun domain family member 7 antibody
-
宿主:Rabbit
-
反應種屬:Human
-
免疫原:Recombinant Human Putative methyltransferase NSUN7 protein (1-300AA)
-
免疫原種屬:Homo sapiens (Human)
-
標記方式:Non-conjugated
本頁面中的產品,NSUN7 Antibody (CSB-PA822769LA01HU),的標記方式是Non-conjugated。對于NSUN7 Antibody,我們還提供其他標記。見下表:
-
克隆類型:Polyclonal
-
抗體亞型:IgG
-
純化方式:>95%, Protein G purified
-
濃度:It differs from different batches. Please contact us to confirm it.
-
保存緩沖液:Preservative: 0.03% Proclin 300
Constituents: 50% Glycerol, 0.01M PBS, PH 7.4 -
產品提供形式:Liquid
-
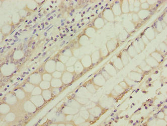
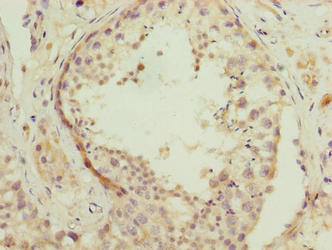
應用范圍:ELISA, IHC
-
推薦稀釋比:
Application Recommended Dilution IHC 1:20-1:200 -
Protocols:
-
儲存條件:Upon receipt, store at -20°C or -80°C. Avoid repeated freeze.
-
貨期:Basically, we can dispatch the products out in 1-3 working days after receiving your orders. Delivery time maybe differs from different purchasing way or location, please kindly consult your local distributors for specific delivery time.
-
用途:For Research Use Only. Not for use in diagnostic or therapeutic procedures.
相關產品
靶點詳情
-
功能:May have S-adenosyl-L-methionine-dependent methyl-transferase activity.
-
基因功能參考文獻:
- mutant protein structures of Nsun7 indicated that the amino acid serine was converted to alanine, the structure of the helix, coil and strand was changed, and the protein folding and ligand binding sites were changed in samples from asthenospermic men with a transversion mutation in exon 7, indicating impairment of protein function. Because Nsun7 plays a role in sperm motility, mutation in exon 7 may lead to infertility. PMID: 24384068
- Our findings revealed that genetic polymorphisms in exon7 of the NSUN7 gene are not associated with asthenospermia in Chinese Han men. PMID: 26345859
- Nsun7 (A11337)-deletion mutation, causes reduction of its protein rate and associated with sperm motility defect in infertile men. PMID: 25702163
-
蛋白家族:Class I-like SAM-binding methyltransferase superfamily, RsmB/NOP family
-
數據庫鏈接:
Most popular with customers
-
-
YWHAB Recombinant Monoclonal Antibody
Applications: ELISA, WB, IHC, IF, FC
Species Reactivity: Human, Mouse, Rat
-
Phospho-YAP1 (S127) Recombinant Monoclonal Antibody
Applications: ELISA, WB, IHC
Species Reactivity: Human
-
-
-
-
-















