NSFL1C Antibody
-
中文名稱:NSFL1C兔多克隆抗體
-
貨號:CSB-PA892163DSR1HU
-
規格:¥440
-
圖片:
-
Western blot
All lanes: NSFL1C antibody at 6.3μg/ml
Lane 1: Mouse brain tissue
Lane 2: A431 whole cell lysate
Lane 3: 293T whole cell lysate
Lane 4: Rat liver tissue
Secondary
Goat polyclonal to rabbit IgG at 1/10000 dilution
Predicted band size: 41, 38, 29 kDa
Observed band size: 41, 130 kDa -
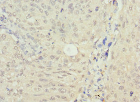
Immunohistochemistry of paraffin-embedded human testis tissue using CSB-PA892163DSR1HU at dilution of 1:100
-
Immunohistochemistry of paraffin-embedded human lung cancer using CSB-PA892163DSR1HU at dilution of 1:100
-
-
其他:
產品詳情
-
產品名稱:Rabbit anti-Homo sapiens (Human) NSFL1C Polyclonal antibody
-
Uniprot No.:
-
基因名:
-
別名:DJ776F14.1 antibody; MGC3347 antibody; NSF1C_HUMAN antibody; NSFL1 (p97) cofactor (p47) antibody; NSFL1 cofactor p47 antibody; NSFL1C antibody; OTTHUMP00000029972 antibody; OTTHUMP00000029974 antibody; p47 antibody; P47 protein antibody; p97 cofactor p47 antibody; SHP1 homolog antibody; UBX domain protein 2C antibody; UBX domain-containing protein 2C antibody; UBX1 antibody; UBXD10 antibody; UBXN2C antibody
-
宿主:Rabbit
-
反應種屬:Human, Mouse, Rat
-
免疫原:Recombinant Human NSFL1 cofactor p47 protein (1-185AA)
-
免疫原種屬:Homo sapiens (Human)
-
標記方式:Non-conjugated
-
克隆類型:Polyclonal
-
抗體亞型:IgG
-
純化方式:Antigen Affinity Purified
-
濃度:It differs from different batches. Please contact us to confirm it.
-
保存緩沖液:PBS with 0.02% sodium azide, 50% glycerol, pH7.3.
-
產品提供形式:Liquid
-
應用范圍:ELISA, WB, IHC
-
推薦稀釋比:
Application Recommended Dilution WB 1:1000-1:5000 IHC 1:20-1:200 -
Protocols:
-
儲存條件:Upon receipt, store at -20°C or -80°C. Avoid repeated freeze.
-
貨期:Basically, we can dispatch the products out in 1-3 working days after receiving your orders. Delivery time maybe differs from different purchasing way or location, please kindly consult your local distributors for specific delivery time.
-
用途:For Research Use Only. Not for use in diagnostic or therapeutic procedures.
相關產品
靶點詳情
-
功能:Reduces the ATPase activity of VCP. Necessary for the fragmentation of Golgi stacks during mitosis and for VCP-mediated reassembly of Golgi stacks after mitosis. May play a role in VCP-mediated formation of transitional endoplasmic reticulum (tER). Inhibits the activity of CTSL (in vitro). Together with UBXN2B/p37, regulates the centrosomal levels of kinase AURKA/Aurora A during mitotic progression by promoting AURKA removal from centrosomes in prophase. Also, regulates spindle orientation during mitosis.
-
基因功能參考文獻:
- p47 promotes, whereas SASK1 delays the degradation of a single ERAD substrate, alpha-TCR. Additionally, we found that SAKS1 selectively inhibits the degradation of ERAD substrates without affecting cytosolic proteasomal substrates. PMID: 27785701
- The present results for the first time demonstrate that BDNF induces NADPH oxidase -derived reactive oxygen species generation through activation of p47 phox in a TrkB receptor-dependent manner PMID: 24612679
- human p37/p47 and their C. elegans orthologue UBXN-2 regulate centrosome function in prophase by limiting the recruitment of Aurora A PMID: 23649807
- The binding of p47 to polyubiquitinated NEMO triggers the lysosomal degradation of NEMO, thereby inhibiting IKK activation. PMID: 22990857
-
亞細胞定位:Nucleus. Golgi apparatus, Golgi stack. Chromosome. Cytoplasm, cytoskeleton, microtubule organizing center, centrosome.
-
蛋白家族:NSFL1C family
-
數據庫鏈接:
Most popular with customers
-
-
YWHAB Recombinant Monoclonal Antibody
Applications: ELISA, WB, IHC, IF, FC
Species Reactivity: Human, Mouse, Rat
-
Phospho-YAP1 (S127) Recombinant Monoclonal Antibody
Applications: ELISA, WB, IHC
Species Reactivity: Human
-
-
-
-
-















