NRBF2 Antibody
-
中文名稱:NRBF2兔多克隆抗體
-
貨號:CSB-PA822209DSR2HU
-
規格:¥440
-
圖片:
-
Western blot
All lanes: NRBF2 antibody at 5.51μg/ml
Lane 1: HepG2 whole cell lysate
Lane 2: A549 whole cell lysate
Secondary
Goat polyclonal to rabbit IgG at 1/10000 dilution
Predicted band size: 33, 27, 32 kDa
Observed band size: 33 kDa -
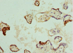
Immunohistochemistry of paraffin-embedded human placenta tissue using CSB-PA822209DSR2HU at dilution of 1:100
-
-
其他:
產品詳情
-
產品名稱:Rabbit anti-Homo sapiens (Human) NRBF2 Polyclonal antibody
-
Uniprot No.:
-
基因名:
-
別名:Comodulator of PPAR and RXR 1 antibody; Comodulator of PPAR and RXR 2 antibody; Comodulator of PPAR and RXR antibody; COPR antibody; COPR1 antibody; COPR2 antibody; DKFZp564C1664 antibody; FLJ30395 antibody; NRBF 2 antibody; NRBF-2 antibody; NRBF2 antibody; NRBF2_HUMAN antibody; Nuclear receptor binding factor 2 antibody; Nuclear receptor-binding factor 2 antibody
-
宿主:Rabbit
-
反應種屬:Human
-
免疫原:Recombinant Human Nuclear receptor-binding factor 2 protein (10-220AA)
-
免疫原種屬:Homo sapiens (Human)
-
標記方式:Non-conjugated
-
克隆類型:Polyclonal
-
抗體亞型:IgG
-
純化方式:Antigen Affinity Purified
-
濃度:It differs from different batches. Please contact us to confirm it.
-
保存緩沖液:PBS with 0.02% sodium azide, 50% glycerol, pH7.3.
-
產品提供形式:Liquid
-
應用范圍:ELISA, WB, IHC
-
推薦稀釋比:
Application Recommended Dilution WB 1:1000-1:5000 IHC 1:20-1:200 -
Protocols:
-
儲存條件:Upon receipt, store at -20°C or -80°C. Avoid repeated freeze.
-
貨期:Basically, we can dispatch the products out in 1-3 working days after receiving your orders. Delivery time maybe differs from different purchasing way or location, please kindly consult your local distributors for specific delivery time.
-
用途:For Research Use Only. Not for use in diagnostic or therapeutic procedures.
相關產品
靶點詳情
-
功能:May modulate transcriptional activation by target nuclear receptors. Can act as transcriptional activator (in vitro).; Involved in starvation-induced autophagy probably by its association with PI3K complex I (PI3KC3-C1). However, effects has been described variably. Involved in the induction of starvation-induced autophagy. Stabilzes PI3KC3-C1 assembly and enhances ATG14-linked lipid kinase activity of PIK3C3. Proposed to negatively regulate basal and starvation-induced autophagy and to inhibit PIK3C3 activity by modulating interactions in PI3KC3-C1. May be involved in autophagosome biogenesis. May play a role in neural progenitor cell survival during differentiation.
-
基因功能參考文獻:
- Here we show that a putative fifth subunit, nuclear receptor binding factor 2 (NRBF2), is a tightly bound component of the class III phosphatidylinositol 3-kinase complex I that profoundly affects its activity and architecture. NRBF2 is a homodimer and drives the dimerization of the larger PI3KC3-C1 complex, with implications for the higher-order organization of the preautophagosomal structure. PMID: 27385829
- This study reveals NRBF2 as a critical molecular switch of PtdIns3K and autophagy activation, and its on/off state is precisely controlled by MTORC1 through phosphorylation. PMID: 28059666
- Atg38 and its human ortholog NRBF2, accessory components of complex I consisting of Vps15-Vps34-Vps30/Atg6-Atg14 (yeast) and PIK3R4/VPS15-PIK3C3/VPS34-BECN1/Beclin 1-ATG14 (human), were characterized. PMID: 27630019
- Polymorphisms in a putative enhancer at the 10q21.2 Breast Cancer Risk Locus regulate NRBF2 expression, implicating this gene in the etiology of breast cancer. PMID: 26073781
- Nrbf2 may interact with the Atg14L-containing Beclin 1-Vps34 protein complex to modulate protein-protein interactions within the complex. PMID: 25086043
- NRBF2 regulates macroautophagy as a component of Vps34 Complex I. PMID: 24785657
- The activation domain, their small size (COPR1, 26.9 kDa; COPR2, 32.4 kDa), and strict dependence on AF-2 for interaction distinguish COPR1 and COPR2 from the SMRT/NCoR type of corepressor and may dampen rather than repress NR-mediated gene expression. PMID: 15610520
顯示更多
收起更多
-
亞細胞定位:Nucleus. Cytoplasm. Cytoplasmic vesicle. Cytoplasmic vesicle, autophagosome.
-
組織特異性:Detected in keratinocytes, liver and placenta. Expressed in a subset of cells in pediatric medulloblastoma.
-
數據庫鏈接:
Most popular with customers
-
-
YWHAB Recombinant Monoclonal Antibody
Applications: ELISA, WB, IHC, IF, FC
Species Reactivity: Human, Mouse, Rat
-
Phospho-YAP1 (S127) Recombinant Monoclonal Antibody
Applications: ELISA, WB, IHC
Species Reactivity: Human
-
-
-
-
-















