NR2F2 Antibody
-
中文名稱:NR2F2兔多克隆抗體
-
貨號:CSB-PA016057LA01HU
-
規格:¥440
-
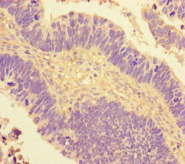
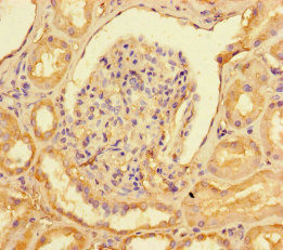
圖片:
-
其他:
產品詳情
-
產品名稱:Rabbit anti-Homo sapiens (Human) NR2F2 Polyclonal antibody
-
Uniprot No.:
-
基因名:
-
別名:Apolipoprotein A-I regulatory protein 1 antibody; Apolipoprotein AI regulatory protein 1 antibody; ARP-1 antibody; ARP1 antibody; COT2_HUMAN antibody; COUP TF2 antibody; COUP transcription factor 2 antibody; COUP transcription factor II antibody; COUP-TF II antibody; COUP-TF2 antibody; NR2F2 antibody; Nuclear receptor subfamily 2 group F member 2 antibody
-
宿主:Rabbit
-
反應種屬:Human
-
免疫原:Recombinant Human COUP transcription factor 2 protein (123-383AA)
-
免疫原種屬:Homo sapiens (Human)
-
標記方式:Non-conjugated
本頁面中的產品,NR2F2 Antibody (CSB-PA016057LA01HU),的標記方式是Non-conjugated。對于NR2F2 Antibody,我們還提供其他標記。見下表:
-
克隆類型:Polyclonal
-
抗體亞型:IgG
-
純化方式:>95%, Protein G purified
-
濃度:It differs from different batches. Please contact us to confirm it.
-
保存緩沖液:Preservative: 0.03% Proclin 300
Constituents: 50% Glycerol, 0.01M PBS, PH 7.4 -
產品提供形式:Liquid
-
應用范圍:ELISA, IHC
-
推薦稀釋比:
Application Recommended Dilution IHC 1:20-1:200 -
Protocols:
-
儲存條件:Upon receipt, store at -20°C or -80°C. Avoid repeated freeze.
-
貨期:Basically, we can dispatch the products out in 1-3 working days after receiving your orders. Delivery time maybe differs from different purchasing way or location, please kindly consult your local distributors for specific delivery time.
-
用途:For Research Use Only. Not for use in diagnostic or therapeutic procedures.
相關產品
靶點詳情
-
功能:Ligand-activated transcription factor. Activated by high concentrations of 9-cis-retinoic acid and all-trans-retinoic acid, but not by dexamethasone, cortisol or progesterone (in vitro). Regulation of the apolipoprotein A-I gene transcription. Binds to DNA site A. May be required to establish ovary identity during early gonad development.
-
基因功能參考文獻:
- heterozygous frameshift mutations in NR2F2, encoding COUP-TF2, were identified in three children. PMID: 29478779
- High COUP-TFII expression is associated with increased lymphangiogenesis and lymph node metastasis in prostate adenocarcinoma. PMID: 29544697
- NR2F2 loss-of-function mutation is associated with increased susceptibility to double outlet right ventricle and ventricular septal defect . PMID: 29222010
- The results of the present study suggest that COUPTFII functions as a significant regulatory suppressor of gastric cancer growth and metastasis, and suggests that COUPTFII may serve as a novel diagnostic and prognostic biomarker for gastric cancer metastasis. PMID: 29207189
- COUP-TFII is a critical factor controlling metastatic gene networks to promote prostate cancer metastasis. PMID: 27108958
- Dividing COUP-TFII+ progenitor cells were localized to ventral CGE PMID: 27905023
- We showed that the orphan receptor COUP-TFII is an important player in hepatic neoangiogenesis. COUP-TFII expression in hepatic stellate cells (HSC) controls the crosstalk between hepatic HSC and endothelial cells coordinating vascular remodelling during liver injury. PMID: 27866920
- Low COUPTFII expression is associated with prostate cancer. PMID: 26895100
- We conclude that COUP-TFII mutations can cause diaphragmatic hernias, and should be included in the differential diagnosis of CDH patients, particularly those with comorbid congenital heart defects. PMID: 27363585
- Studied the role of Nuclear receptor subfamily 2 group F member 2 (NR2F2) in MSC chondrogenesis in bioprinted cartilage. NR2F2 over-expressed MSCs showed significantly enhanced chondrogenesis while NR2F2 knockdown cells demonstrated the exactly opposite behavior. PMID: 27345768
- NR2F2 is a Direct Target Gene of miR-382 in colorectal cancer. PMID: 26800338
- Results indicate that COUP-TFII may play an oncogenic role in RCC, and COUP-TFII may promote tumor progression through inhibiting BRCA1. PMID: 27193872
- MicroRNA-27b was targeted and down-regulated by NR2F2 in human gastric cancer tissues and cells. PMID: 27844448
- NR2F2 could promote TGF-beta-induced epithelial-mesenchymal transition of colorectal carcinoma cells and inhibit Smad7 expression via transactivation of miR-21. PMID: 28192117
- NR2F2 mediates BMMSCinduced proliferation of Reh cells, partially via regulation of VEGFA. Disrupting microenvironmental support by targeting NR2F2 may be a potential therapeutic strategy for ALL. PMID: 27314877
- miR-382 inhibits prostate cancer cell proliferation and metastasis through inhibiting COUPTFII. PMID: 27748848
- Positive COUP-TF II expression levels has significant value in determining CRC stage and metastasis and cooperates with negative Smad4 expression contributing to assess prognosis in patients with colorectal cancer. PMID: 26261604
- COUP-TFII (NR2F2) induces down-regulation of cadherin-6 and up-regulation of cadherin-11 in cultured cell lines.high expression of COUP-TFII in some gastric and oesophageal adenocarcinomas, correlated with abnormal cadherin-11 expression. PMID: 25687954
- These data demonstrate that Nr2f2 is a direct target of POU4F3 in vitro and that this regulatory relationship may be relevant to hair cell development and survival. PMID: 25372459
- TGF-beta inhibited the expression of NR2F2. PMID: 25129343
- Overexpression of COUP-TFII was required for cancer cells to metastasise in vivo. PMID: 25032732
- These data indicate a novel role for COUP-TFII in suppression of NFkappaB activity. PMID: 24141032
- COUP-TFII plays a role in controlling the expression of inflammatory cytokines. PMID: 24176914
- Using several human red opsin enhancer/promoter-luciferase reporter constructs, the study found that COUPTFII suppressed intron 3-4 region-dependent luciferase activities. PMID: 24058409
- showed that all six coding sequence variants observed in individuals significantly alter the activity of NR2F2 on target promoters PMID: 24702954
- In vitro silencing of COUP-TFII reduces the cell growth. PMID: 24122412
- Data suggest that NR2F2 and CTNNB1 (catenin beta-1) are aberrantly expressed in uterine fibroid tissue compared with matched myometrium, with strong blood vessel-specific localization. PMID: 23704310
- Hey2 and COUP-TFII have an important role in arteriovenous differentiation of human endothelial cells. PMID: 23744056
- COUP-TFII orchestrates venous and lymphatic endothelial identity by homo- or hetero-dimerisation with PROX1 PMID: 23345397
- Data suggest that NR2F2 is expressed in stromal cells of healthy ovary with little/no expression in epithelial cells; this pattern is markedly disrupted in ovarian cancers with decreased NR2F2 in stroma and ectopic NR2F2 expression in epithelium. PMID: 23690307
- Interaction of NSD1 with the NR2E/F subfamily including COUP-TFI, COUP-TFII, EAR2 and TLX requires a F/YSXXLXXL/Y motif. NSD1 interaction with liganded NRs is mediated by an overlapping LXXLL motif. PMID: 23975195
- COUP-TFII and related NRs such as the COUPTFs and PNR can selectively associate with the developmental corepressor BCL11A via a conserved motif F/YSXXLXXL/Y within the RID1 and RID2 domains. The interaction with BCL11A facilitates COUP-TFII-mediated repression of the RARb2 gene. PMID: 23975195
- MiR-302 inhibits NR2F2 and promotes pluripotency through indirect positive regulation of OCT4. PMID: 23136034
- COUP-TFII-V2 negatively regulates the function of COUP-TFII by inhibiting its binding to DNA, decreasing Cyp7a1 expression. PMID: 23458092
- In summary, COUP-TFII is expressed in the human fetal forebrain in GABAergic cells, according to its possible role in migration of cortical interneurons. PMID: 22178710
- findings reveal that the destruction of the TGF-beta-dependent barrier by COUP-TFII is crucial for the progression of PTEN-mutant prostate cancer into a life-threatening disease PMID: 23201680
- COUP-TFII regulates vein identity by suppressing the Notch signal pathway. PMID: 22734039
- nucleolin plays a coregulatory role in transcriptional regulation of the tumor suppressor RARB2 by COUP-TFII PMID: 22693611
- The C-allele at rs3743462 was associated with increased NR2F2 binding and decreased NR2F2 gene expression. PMID: 22606236
- COUP-TFII negatively regulates osteoblast differentiation via interaction with Runx2, and during the differentiation state, BMP2-induced Runx2 represses COUP-TFII expression and promotes osteoblast differentiation. PMID: 22493443
- role for the TGFbeta pathway and COUP-TFII in mediating the endothelial transdifferentiating properties of retinoic acid PMID: 20386594
- NR2F2 plays a crucial role in the activation of neural genes during early differentiation in humans. PMID: 21151097
- Results strongly suggest that NR2F2 is involved in villous CTB cell differentiation and that NR2F2 acts, at least in part, by directly activating TFAP2A gene expression and by potentiating the transactivation of TFAP2A by RARA and RXRA. PMID: 20195529
- Data suggest a novel model that the endothelial cell fate regulators, Notch, COUP-TFII, and Prox1, are under an exquisite feedback control mechanism and dynamically regulate each other in LECs. PMID: 20351309
- Novel and distinct cell-intrinsic mechanisms mediated by COUP-TF genes to direct the specification and differentiation of progenitor cells; COUP-TFs are crucial for dorsalization of the eye. PMID: 20147377
- COUP-TFII represses the alpha-subunit of mitochondrial F1F0 ATP synthase (ATPA) complex and inhibits the USF2-dependent transactivation of the ATPA promoter through competition for an overlapping bindng site in the ATPA cis-acting regulatory element 1. PMID: 12614160
- DAX-1 and COUP-TFII may play a role in the modulation of Ad4BP/SF-1-dependent transcription of steroidogenic enzymes in different cell types and follicular stages in normal cycling human ovaries. PMID: 12843196
- the DR motif site of the renin gene functions as a negative regulatory element involved in a twofold repression of transcription; nucleic receptors bind the site and are important in renin gene expression; one of the binding proteins may be COUP-TFII. PMID: 17455195
- COUP-TFII antagonizes the repression of the PED/PEA-15 gene by HNF-4alpha. PMID: 18765665
- Data demonstrate that COUP-TFII is a ligand-regulated nuclear receptor, in which ligands activate the receptor by releasing it from the autorepressed conformation. PMID: 18798693
顯示更多
收起更多
-
相關疾病:Congenital heart defects, multiple types, 4 (CHTD4)
-
亞細胞定位:Nucleus.
-
蛋白家族:Nuclear hormone receptor family, NR2 subfamily
-
組織特異性:Ubiquitous. Expressed in the stromal cells of developing fetal ovaries.
-
數據庫鏈接:
Most popular with customers
-
-
YWHAB Recombinant Monoclonal Antibody
Applications: ELISA, WB, IHC, IF, FC
Species Reactivity: Human, Mouse, Rat
-
Phospho-YAP1 (S127) Recombinant Monoclonal Antibody
Applications: ELISA, WB, IHC
Species Reactivity: Human
-
-
-
-
-















