NR2C1 Antibody
-
中文名稱:NR2C1兔多克隆抗體
-
貨號:CSB-PA016051ESR1HU
-
規格:¥440
-
圖片:
-
Western blot
All lanes: Nuclear receptor subfamily 2 group C member 1 antibody at 10μg/ml
Lane 1: PC-3 whole cell lysate
Lane 2: 293T whole cell lysate
Secondary
Goat polyclonal to rabbit IgG at 1/10000 dilution
Predicted band size: 68, 52, 54 kDa
Observed band size: 68 kDa -
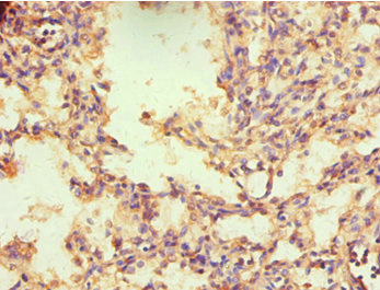
Immunohistochemistry of paraffin-embedded human lung tissue using CSB-PA016051ESR1HU at dilution of 1:100
-
-
其他:
產品詳情
-
產品名稱:Rabbit anti-Homo sapiens (Human) NR2C1 Polyclonal antibody
-
Uniprot No.:
-
基因名:NR2C1
-
別名:NR2C1 antibody; TR2 antibody; Nuclear receptor subfamily 2 group C member 1 antibody; Orphan nuclear receptor TR2 antibody; Testicular receptor 2 antibody
-
宿主:Rabbit
-
反應種屬:Human
-
免疫原:Recombinant Human Nuclear receptor subfamily 2 group C member 1 protein (1-240AA)
-
免疫原種屬:Homo sapiens (Human)
-
標記方式:Non-conjugated
-
克隆類型:Polyclonal
-
抗體亞型:IgG
-
純化方式:Antigen Affinity Purified
-
濃度:It differs from different batches. Please contact us to confirm it.
-
保存緩沖液:PBS with 0.02% sodium azide, 50% glycerol, pH7.3.
-
產品提供形式:Liquid
-
應用范圍:ELISA, WB, IHC
-
推薦稀釋比:
Application Recommended Dilution WB 1:500-1:2000 IHC 1:20-1:200 -
Protocols:
-
儲存條件:Upon receipt, store at -20°C or -80°C. Avoid repeated freeze.
-
貨期:Basically, we can dispatch the products out in 1-3 working days after receiving your orders. Delivery time maybe differs from different purchasing way or location, please kindly consult your local distributors for specific delivery time.
-
用途:For Research Use Only. Not for use in diagnostic or therapeutic procedures.
相關產品
靶點詳情
-
功能:Orphan nuclear receptor. Binds the IR7 element in the promoter of its own gene in an autoregulatory negative feedback mechanism. Primarily repressor of a broad range of genes. Binds to hormone response elements (HREs) consisting of two 5'-AGGTCA-3' half site direct repeat consensus sequences. Together with NR2C2, forms the core of the DRED (direct repeat erythroid-definitive) complex that represses embryonic and fetal globin transcription. Also activator of OCT4 gene expression. May be involved in stem cell proliferation and differentiation. Mediator of retinoic acid-regulated preadipocyte proliferation.
-
基因功能參考文獻:
- DRED is a 540 kDa complex containing the nuclear orphan receptors TR2 and TR4, which form a heterodimer that binds to the epsilon and gamma globin promoter DR1 sites. TR2 & 4 mRNAs are expressed at all stages of murine and human erythropoiesis. PMID: 12093744
- TR2 that may exert an important repressor in regulating ER activity in mammary glands. PMID: 12093804
- TR2 and TR4 can have distinct functions. Existence of differential and bi-directional regulation between PPAR alpha and TR2/TR4. Possible roles in PPAR alpha signaling pathway in human keratinocytes. PMID: 12615366
- TR2 may function as a negative modulator to suppress androgen receptor function in prostate cancer. Further studies on how to control TR2 function may result in the ability to modulate AR function in prostate cancer. PMID: 12949936
- The NF1-A transcription factor plays an important role in the transcriptional activation of the TR2 gene expression via a promoter activating cis-element. PMID: 17010934
顯示更多
收起更多
-
亞細胞定位:Nucleus. Nucleus, PML body.
-
蛋白家族:Nuclear hormone receptor family, NR2 subfamily
-
數據庫鏈接:
Most popular with customers
-
-
YWHAB Recombinant Monoclonal Antibody
Applications: ELISA, WB, IHC, IF, FC
Species Reactivity: Human, Mouse, Rat
-
Phospho-YAP1 (S127) Recombinant Monoclonal Antibody
Applications: ELISA, WB, IHC
Species Reactivity: Human
-
-
-
-
-















