NPRL2 Antibody
-
中文名稱:NPRL2兔多克隆抗體
-
貨號:CSB-PA062668
-
規格:¥1100
-
圖片:
-
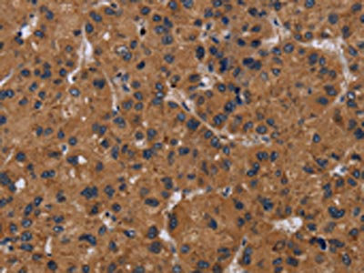
The image on the left is immunohistochemistry of paraffin-embedded Human liver cancer tissue using CSB-PA062668(NPRL2 Antibody) at dilution 1/50, on the right is treated with synthetic peptide. (Original magnification: ×200)
-
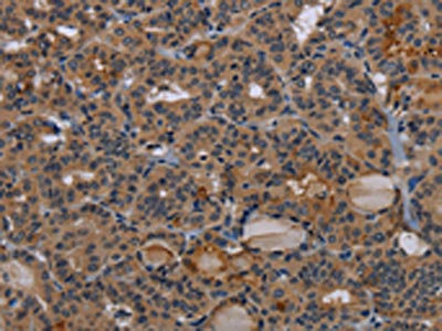
The image on the left is immunohistochemistry of paraffin-embedded Human thyroid cancer tissue using CSB-PA062668(NPRL2 Antibody) at dilution 1/50, on the right is treated with synthetic peptide. (Original magnification: ×200)
-
-
其他:
產品詳情
-
Uniprot No.:
-
基因名:
-
別名:2810446G01Rik antibody; G21 protein antibody; Gene 21 protein antibody; Homologous to yeast nitrogen permease (candidate tumor suppressor) antibody; Homologous to yeast nitrogen permease antibody; Nitrogen permease regulator 2-like protein antibody; Nitrogen permease regulator-like 2 (S. cerevisiae) antibody; NPR 2L antibody; NPR L2 antibody; NPR like 2 antibody; NPR2 antibody; NPR2 like antibody; NPR2-like protein antibody; NPR2L antibody; NPRL 2 antibody; NPRL2 antibody; NPRL2_HUMAN antibody; Tumor suppressor candidate 4 antibody; TUSC 4 antibody; TUSC 4 protein antibody; TUSC4 antibody; TUSC4 protein antibody
-
宿主:Rabbit
-
反應種屬:Human,Mouse
-
免疫原:Synthetic peptide of Human NPRL2
-
免疫原種屬:Homo sapiens (Human)
-
標記方式:Non-conjugated
-
抗體亞型:IgG
-
純化方式:Antigen affinity purification
-
濃度:It differs from different batches. Please contact us to confirm it.
-
保存緩沖液:-20°C, pH7.4 PBS, 0.05% NaN3, 40% Glycerol
-
產品提供形式:Liquid
-
應用范圍:ELISA,IHC
-
推薦稀釋比:
Application Recommended Dilution ELISA 1:2000-1:5000 IHC 1:50-1:200 -
Protocols:
-
儲存條件:Upon receipt, store at -20°C or -80°C. Avoid repeated freeze.
-
貨期:Basically, we can dispatch the products out in 1-3 working days after receiving your orders. Delivery time maybe differs from different purchasing way or location, please kindly consult your local distributors for specific delivery time.
-
用途:For Research Use Only. Not for use in diagnostic or therapeutic procedures.
相關產品
靶點詳情
-
功能:As a component of the GATOR1 complex functions as an inhibitor of the amino acid-sensing branch of the TORC1 pathway. The GATOR1 complex strongly increases GTP hydrolysis by RRAGA and RRAGB within RRAGC-containing heterodimers, thereby deactivating RRAGs, releasing mTORC1 from lysosomal surface and inhibiting mTORC1 signaling. The GATOR1 complex is negatively regulated by GATOR2 the other GATOR subcomplex in this amino acid-sensing branch of the TORC1 pathway.; Suppresses Src-dependent tyrosine phosphorylation and activation of PDPK1 and its downstream signaling. Down-regulates PDPK1 kinase activity by interfering with tyrosine phosphorylation at 'Tyr-9', 'Tyr-373' and 'Tyr-376' residues. May act as a tumor suppressor. Suppresses cell growth and enhances sensitivity to various anticancer drugs.
-
基因功能參考文獻:
- NPRL2 overexpression enhances sensitivity to CPT-11 treatment in colon cancer cells. PMID: 29519997
- This study demonstrated that NPRL2 mutation in familial focal epilepsies and focal cortical dysplasia. PMID: 27173016
- Data confirmed NPRL2 was downregulated in gliomas. More importantly, NPRL2 was able to inhibit cell proliferation in vitro and repress tumorigenicity in vivo, suggesting its role as a tumor suppressor. PMID: 26455908
- The positive regulation of mTORC1 activity by NPRL2 is mediated through NPRL2 interaction with Raptor. PMID: 26582740
- NPRL2 mutations are significant cause of focal epilepsy. PMID: 26505888
- NPRL2 acts as a functional tumor suppressor in colorectal cancer cell lines. PMID: 26044952
- NPRL2 enhances sensitivity to oxaliplatin in colon cancer cells. PMID: 25777765
- Decreased expression of NPRL2 is associated with renal cancer. PMID: 24789683
- NPRL2 mRNA blood levels could be a potentially useful marker for the detection of early stage adenomas and colorectal cancers. PMID: 24521741
- Results provide a set of genetic and biologic proofs that TUSC4 functions as a bona fide tumor suppressor by regulating the protein stability and function of BRCA1 in breast cancer. PMID: 25480944
- NPRL2 expression is negatively related with the survival of osteosarcoma patients, indicating its value as a prognosis factor of osteosarcoma. PMID: 23321467
- Lower NPRL2 expression was observed significantly more frequently in poorly differentiated tumor samples than in highly or moderately differentiated colon tumors. PMID: 23079973
- Data indicate that Npr2, a homolog of human NPRL2, is a phosphorylation-dependent target of the SCF(Grr1) E3 ubiquitin ligase that plays a role in cell growth on some nitrogen sources. PMID: 20154027
- NPRL2 is a multiple tumor suppressor gene. PMID: 15374952
- Expression of NPRL2 was significantly and reciprocally correlated to cisplatin sensitivity. PMID: 17018626
- TUSC4/NPRL2, a novel PDK1-interacting protein, plays a role in regulating the Src/PDK1 signaling pathway and cell sensitivity to multiple cancer chemotherapeutic drugs. PMID: 18616680
- Our results suggest that NPRL2 mRNA expression has prognostic significance for the survival of patients with HCC. PMID: 19274676
顯示更多
收起更多
-
相關疾病:Epilepsy, familial focal, with variable foci 2 (FFEVF2)
-
亞細胞定位:Lysosome membrane.
-
蛋白家族:NPR2 family
-
組織特異性:Most abundant in skeletal muscle, followed by brain, liver and pancreas, with lower amounts in lung, kidney, placenta and heart. Expressed in the frontal lobe cortex as well as in the temporal, parietal, and occipital lobes. Expressed in most lung cancer
-
數據庫鏈接:
Most popular with customers
-
-
YWHAB Recombinant Monoclonal Antibody
Applications: ELISA, WB, IHC, IF, FC
Species Reactivity: Human, Mouse, Rat
-
Phospho-YAP1 (S127) Recombinant Monoclonal Antibody
Applications: ELISA, WB, IHC
Species Reactivity: Human
-
-
-
-
-















