NPHP4 Antibody
-
中文名稱:NPHP4兔多克隆抗體
-
貨號:CSB-PA015987LA01HU
-
規格:¥440
-
圖片:
-
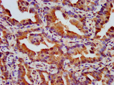
IHC image of CSB-PA015987LA01HU diluted at 1:500 and staining in paraffin-embedded human endometrial cancer performed on a Leica BondTM system. After dewaxing and hydration, antigen retrieval was mediated by high pressure in a citrate buffer (pH 6.0). Section was blocked with 10% normal goat serum 30min at RT. Then primary antibody (1% BSA) was incubated at 4°C overnight. The primary is detected by a biotinylated secondary antibody and visualized using an HRP conjugated SP system.
-
IHC image of CSB-PA015987LA01HU diluted at 1:500 and staining in paraffin-embedded human lung cancer performed on a Leica BondTM system. After dewaxing and hydration, antigen retrieval was mediated by high pressure in a citrate buffer (pH 6.0). Section was blocked with 10% normal goat serum 30min at RT. Then primary antibody (1% BSA) was incubated at 4°C overnight. The primary is detected by a biotinylated secondary antibody and visualized using an HRP conjugated SP system.
-
Immunofluorescence staining of A549 cells with CSB-PA015987LA01HU at 1:166, counter-stained with DAPI. The cells were fixed in 4% formaldehyde, permeabilized using 0.2% Triton X-100 and blocked in 10% normal Goat Serum. The cells were then incubated with the antibody overnight at 4°C. The secondary antibody was Alexa Fluor 488-congugated AffiniPure Goat Anti-Rabbit IgG(H+L).
-
-
其他:
產品詳情
-
產品名稱:Rabbit anti-Homo sapiens (Human) NPHP4 Polyclonal antibody
-
Uniprot No.:
-
基因名:NPHP4
-
別名:KIAA0673 antibody; Nephrocystin-4 antibody; nephronophthisis 4 antibody; Nephroretinin antibody; NPHP4 antibody; NPHP4_HUMAN antibody; POC10 antibody; POC10 centriolar protein homolog antibody; SLSN4 antibody
-
宿主:Rabbit
-
反應種屬:Human
-
免疫原:Recombinant Human Nephrocystin-4 protein (397-543AA)
-
免疫原種屬:Homo sapiens (Human)
-
標記方式:Non-conjugated
本頁面中的產品,NPHP4 Antibody (CSB-PA015987LA01HU),的標記方式是Non-conjugated。對于NPHP4 Antibody,我們還提供其他標記。見下表:
-
克隆類型:Polyclonal
-
抗體亞型:IgG
-
純化方式:>95%, Protein G purified
-
濃度:It differs from different batches. Please contact us to confirm it.
-
保存緩沖液:Preservative: 0.03% Proclin 300
Constituents: 50% Glycerol, 0.01M PBS, pH 7.4 -
產品提供形式:Liquid
-
應用范圍:ELISA, IHC, IF
-
推薦稀釋比:
Application Recommended Dilution IHC 1:500-1:1000 IF 1:50-1:200 -
Protocols:
-
儲存條件:Upon receipt, store at -20°C or -80°C. Avoid repeated freeze.
-
貨期:Basically, we can dispatch the products out in 1-3 working days after receiving your orders. Delivery time maybe differs from different purchasing way or location, please kindly consult your local distributors for specific delivery time.
-
用途:For Research Use Only. Not for use in diagnostic or therapeutic procedures.
相關產品
靶點詳情
-
功能:Involved in the organization of apical junctions; the function is proposed to implicate a NPHP1-4-8 module. Does not seem to be strictly required for ciliogenesis. Required for building functional cilia. Involved in the organization of the subapical actin network in multiciliated epithelial cells. Seems to recruit INT to basal bodies of motile cilia which subsequently interacts with actin-modifying proteins such as DAAM1. In cooperation with INVS may downregulate the canonical Wnt pathway and promote the Wnt-PCP pathway by regulating expression and subcellular location of disheveled proteins. Stabilizes protein levels of JADE1 and promotes its translocation to the nucleus leading to cooperative inhibition of canonical Wnt signaling. Acts as negative regulator of the hippo pathway by association with LATS1 and modifying LATS1-dependent phosphorylation and localization of WWTR1/TAZ.
-
基因功能參考文獻:
- Study provides evidence that KIF13B and NPHP4 are both required for establishment of a specialized caveolin-1 membrane microdomain at the ciliary transition zone, which is essential for Shh-induced accumulation of SMO in the primary cilium as well as for activation of GLI-mediated target gene expression. PMID: 28134340
- Inherited 3 deleterious mutations in two nephronophthisis genes, NPHP3 and NPHP4 cause unusually severe form of infantile nephronophthisis. PMID: 28392475
- homozygous NPHP4 truncating mutation that expands the phenotypic spectrum of NPHP4-related nephronophthisis to also include cerebello-oculo-renal syndrome and abnormal spermatogenesis causing male infertility PMID: 23574405
- The ciliary protein nephrocystin-4 translocates the canonical Wnt regulator Jade-1 to the nucleus to negatively regulate beta-catenin signaling. PMID: 22654112
- NPHP4 mutations are associated with cardiac laterality defects and heterotaxy. PMID: 22550138
- Identify NPHP4 as a negative regulator of the Hippo pathway and suggest that NPHP4 regulates cell proliferation through its effects on Hippo signaling. PMID: 21555462
- These results indicate the novel and independent association between single-point SNP rs1287637 in NPHP4 gene and renal function in non-diabetic Japanese population. PMID: 20844548
- Observational study of gene-disease association. (HuGE Navigator) PMID: 20844548
- Observational study of gene-disease association. (HuGE Navigator) PMID: 21068128
- Clinical trial of gene-disease association and gene-environment interaction. (HuGE Navigator) PMID: 20379614
- Encodes a novel protein, nephroretinin, that is conserved in evolution--for example, in the nematode Caenorhabditis elegans. PMID: 12205563
- Interacts with NPHP1 protein, suggesting that these two proteins participate in a common signaling pathway; identification of five different mutations in unrelated individuals with nephronophthisis PMID: 12244321
- part of multifunctional complex localized in actin- and microtubule-based structures PMID: 15661758
- two recessive mutations in NPHP4 are a rare cause of nephronophthisis, and single heterozygous NPHP4 sequence variants are three times more prevalent than two recessive mutations PMID: 15776426
- retinitis pigmentosa GTPase regulator interacting protein 1 and nephrocystin-4 interact strongly in vitro and in vivo, and that they colocalize in the retina PMID: 16339905
- In six families with nephronophthisis, there were two mutations in either NPHP1, NPHP3, or NPHP4, suggesting oligogenicity. PMID: 17855640
- Two novel homozygous missense sequence variants in exons 18 and 21 were detected in a consanguineous family with nephronophthisis PMID: 17954299
- Observational study of genotype prevalence and gene-disease association. (HuGE Navigator) PMID: 15776426
- the apparent occurrence of an unusual TG 3' splice site in intron 20 is discussed PMID: 17672918
- Recessive mutations in the NPHP4 gene, encoding the protein nephroretinin, in humans cause nephronophthisis type 4 and Senior-Loken syndrome.There is evolutionary conservation of the NPHP4 gene, with an ortholog in C. elegans. PMID: 12205563
顯示更多
收起更多
-
相關疾病:Nephronophthisis 4 (NPHP4); Senior-Loken syndrome 4 (SLSN4)
-
亞細胞定位:Cytoplasm, cytoskeleton, cilium basal body. Cytoplasm, cytoskeleton, microtubule organizing center, centrosome. Cell junction, tight junction. Nucleus.
-
蛋白家族:NPHP4 family
-
組織特異性:Expressed in kidney, skeletal muscle, heart and liver, and to a lesser extent in brain and lung.
-
數據庫鏈接:
Most popular with customers
-
-
YWHAB Recombinant Monoclonal Antibody
Applications: ELISA, WB, IHC, IF, FC
Species Reactivity: Human, Mouse, Rat
-
Phospho-YAP1 (S127) Recombinant Monoclonal Antibody
Applications: ELISA, WB, IHC
Species Reactivity: Human
-
-
-
-
-















