NPFFR2 Antibody
-
中文名稱:NPFFR2兔多克隆抗體
-
貨號:CSB-PA015983NA01HU
-
規格:¥440
-
圖片:
-
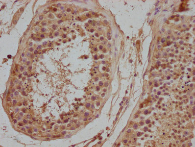
IHC image of CSB-PA015983NA01HU diluted at 1:500 and staining in paraffin-embedded human testis tissue performed on a Leica BondTM system. After dewaxing and hydration, antigen retrieval was mediated by high pressure in a citrate buffer (pH 6.0). Section was blocked with 10% normal goat serum 30min at RT. Then primary antibody (1% BSA) was incubated at 4°C overnight. The primary is detected by a biotinylated secondary antibody and visualized using an HRP conjugated SP system.
-
-
其他:
產品詳情
-
產品名稱:Rabbit anti-Homo sapiens (Human) NPFFR2 Polyclonal antibody
-
Uniprot No.:
-
基因名:
-
別名:NPFFR2; GPR74; NPFF2; NPGPR; Neuropeptide FF receptor 2; G-protein coupled receptor 74; G-protein coupled receptor HLWAR77; Neuropeptide G-protein coupled receptor
-
宿主:Rabbit
-
反應種屬:Human
-
免疫原:Peptide sequence from Human Neuropeptide FF receptor 2 protein (23-43AA)
-
免疫原種屬:Homo sapiens (Human)
-
標記方式:Non-conjugated
本頁面中的產品,NPFFR2 Antibody (CSB-PA015983NA01HU),的標記方式是Non-conjugated。對于NPFFR2 Antibody,我們還提供其他標記。見下表:
-
克隆類型:Polyclonal
-
抗體亞型:IgG
-
純化方式:>95%, Protein G purified
-
濃度:It differs from different batches. Please contact us to confirm it.
-
保存緩沖液:Preservative: 0.03% Proclin 300
Constituents: 50% Glycerol, 0.01M PBS, pH 7.4 -
產品提供形式:Liquid
-
應用范圍:ELISA, IHC
-
推薦稀釋比:
Application Recommended Dilution IHC 1:500-1:1000 -
Protocols:
-
儲存條件:Upon receipt, store at -20°C or -80°C. Avoid repeated freeze.
-
貨期:Basically, we can dispatch the products out in 1-3 working days after receiving your orders. Delivery time maybe differs from different purchasing way or location, please kindly consult your local distributors for specific delivery time.
-
用途:For Research Use Only. Not for use in diagnostic or therapeutic procedures.
相關產品
靶點詳情
-
功能:Receptor for NPAF (A-18-F-amide) and NPFF (F-8-F-amide) neuropeptides, also known as morphine-modulating peptides. Can also be activated by a variety of naturally occurring or synthetic FMRF-amide like ligands. This receptor mediates its action by association with G proteins that activate a phosphatidylinositol-calcium second messenger system.
-
基因功能參考文獻:
- Effects of systematic N-terminus deletions and benzoylations of endogenous RF-amide peptides on NPFF1R, NPFF2R, GPR10, GPR54 and GPR103. PMID: 26211894
- The NPFF2 neuropeptide FF receptor phosphorylation sites have been mapped and their role identified in receptor regulation. PMID: 25326382
- These data show that NPFF-induced heterologous desensitization of MOP receptor signaling is mediated by GRK2 and could involve transphosphorylation within the heteromeric receptor complex. PMID: 22375000
- Four genetic loci were strongly and independently associated with obesity, NPY2R, NPFFR2, MC4R, and FTO. PMID: 21818152
- Besides regulation of reproduction, kisspeptins have a potential to mediate physiological effects on autonomic regulation and nociception in humans via the NPFF2R pathways. PMID: 20600636
- species-related differences in the binding properties of NPFF(2) receptors PMID: 19944730
- Evidence does not support the hypothesis that NPGPR is involved in feeding regulation. PMID: 12609745
- The BIBP3226 and PFR(Tic)amide, on Human neuropeptide FF receptor subtype 2 (hNPFF2) were investigated. PMID: 15127947
- neuropeptide FF analogs show that NPFF2 receptors couple to the four subunits assayed. PMID: 15608144
- expression of hNPFF2 receptor mRNA was up-regulated by neuropeptide FF PMID: 16336216
- NPFF system may also have species-specific features since the NPFF2 receptor mRNA expression differs from that reported for rat PMID: 17157836
- findings suggest that a common haplotype in the GPR74 gene protects against obesity, which, in part, is caused by a relief of inhibition of lipid mobilization from adipose tissue PMID: 17503329
- we identified hFF2 positive neurons in the forebrain and medulla oblongata of individuals who died suddenly. PMID: 18565622
顯示更多
收起更多
-
亞細胞定位:Cell membrane; Multi-pass membrane protein.
-
蛋白家族:G-protein coupled receptor 1 family
-
組織特異性:Isoform 1 is abundant in placenta. Relatively highly expressed in thymus, testis, and small intestine. Expressed at low levels in several tissues including spleen, prostate, brain, heart, ovary, colon, kidney, lung, liver and pancreas and not expressed in
-
數據庫鏈接:
Most popular with customers
-
-
YWHAB Recombinant Monoclonal Antibody
Applications: ELISA, WB, IHC, IF, FC
Species Reactivity: Human, Mouse, Rat
-
Phospho-YAP1 (S127) Recombinant Monoclonal Antibody
Applications: ELISA, WB, IHC
Species Reactivity: Human
-
-
-
-
-















