NOP10 Antibody
-
中文名稱:NOP10兔多克隆抗體
-
貨號:CSB-PA873610LA01HU
-
規格:¥440
-
圖片:
-
Western blot
All lanes: NOP10 antibody at 4µg/ml
Lane 1: Jurkat whole cell lysate
Lane 2: Caco-2 whole cell lysate
Secondary
Goat polyclonal to rabbit IgG at 1/10000 dilution
Predicted band size: 8 kDa
Observed band size: 8 kDa -
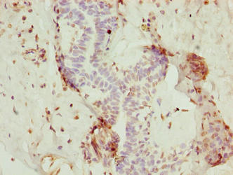
Immunohistochemistry of paraffin-embedded human breast cancer using CSB-PA873610LA01HU at dilution of 1:100
-
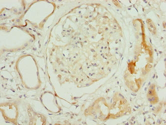
Immunohistochemistry of paraffin-embedded human kidney tissue using CSB-PA873610LA01HU at dilution of 1:100
-
-
其他:
產品詳情
-
產品名稱:Rabbit anti-Homo sapiens (Human) NOP10 Polyclonal antibody
-
Uniprot No.:
-
基因名:NOP10
-
別名:DKCB1 antibody; H/ACA ribonucleoprotein complex subunit 3 antibody; homolog of yeast Nop10p antibody; MGC70651 antibody; NOLA3 antibody; NOP10 antibody; NOP10 ribonucleoprotein homolog (yeast) antibody; NOP10_HUMAN antibody; NOP10P antibody; Nucleolar protein 10 antibody; Nucleolar protein family A member 3 antibody; nucleolar protein family A, member 3 (H/ACA small nucleolar RNPs) antibody; snoRNP protein NOP10 antibody
-
宿主:Rabbit
-
反應種屬:Human
-
免疫原:Recombinant Human H/ACA ribonucleoprotein complex subunit 3 protein (1-64AA)
-
免疫原種屬:Homo sapiens (Human)
-
標記方式:Non-conjugated
本頁面中的產品,NOP10 Antibody (CSB-PA873610LA01HU),的標記方式是Non-conjugated。對于NOP10 Antibody,我們還提供其他標記。見下表:
-
克隆類型:Polyclonal
-
抗體亞型:IgG
-
純化方式:>95%, Protein G purified
-
濃度:It differs from different batches. Please contact us to confirm it.
-
保存緩沖液:Preservative: 0.03% Proclin 300
Constituents: 50% Glycerol, 0.01M PBS, PH 7.4 -
產品提供形式:Liquid
-
應用范圍:ELISA, WB, IHC
-
推薦稀釋比:
Application Recommended Dilution WB 1:1000-1:5000 IHC 1:20-1:200 -
Protocols:
-
儲存條件:Upon receipt, store at -20°C or -80°C. Avoid repeated freeze.
-
貨期:Basically, we can dispatch the products out in 1-3 working days after receiving your orders. Delivery time maybe differs from different purchasing way or location, please kindly consult your local distributors for specific delivery time.
-
用途:For Research Use Only. Not for use in diagnostic or therapeutic procedures.
相關產品
靶點詳情
-
功能:Required for ribosome biogenesis and telomere maintenance. Part of the H/ACA small nucleolar ribonucleoprotein (H/ACA snoRNP) complex, which catalyzes pseudouridylation of rRNA. This involves the isomerization of uridine such that the ribose is subsequently attached to C5, instead of the normal N1. Each rRNA can contain up to 100 pseudouridine ('psi') residues, which may serve to stabilize the conformation of rRNAs. May also be required for correct processing or intranuclear trafficking of TERC, the RNA component of the telomerase reverse transcriptase (TERT) holoenzyme.
-
基因功能參考文獻:
- Indian aplastic anemia patients did not have NOP10 mutations. PMID: 25906515
- Effects of dyskeratosis congenita mutations in NOP10 on assembly of H/ACA pre-RNPs PMID: 20008900
- NOP10 has a role in the telomerase complex and telomere maintenance, and in autosomal recessive dyskeratosis congenita PMID: 17507419
-
相關疾病:Dyskeratosis congenita, autosomal recessive, 1 (DKCB1)
-
亞細胞定位:Nucleus, nucleolus. Nucleus, Cajal body. Note=Also localized to Cajal bodies (coiled bodies).
-
蛋白家族:NOP10 family
-
數據庫鏈接:
Most popular with customers
-
-
YWHAB Recombinant Monoclonal Antibody
Applications: ELISA, WB, IHC, IF, FC
Species Reactivity: Human, Mouse, Rat
-
Phospho-YAP1 (S127) Recombinant Monoclonal Antibody
Applications: ELISA, WB, IHC
Species Reactivity: Human
-
-
-
-
-















