NOG Antibody
-
中文名稱:NOG兔多克隆抗體
-
貨號:CSB-PA015917LA01HU
-
規格:¥440
-
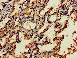
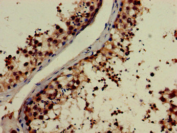
圖片:
-
其他:
產品詳情
-
產品名稱:Rabbit anti-Homo sapiens (Human) NOG Polyclonal antibody
-
Uniprot No.:
-
基因名:
-
別名:Nog antibody; NOGG_HUMAN antibody; Noggin antibody; SYM 1 antibody; SYM1 antibody; Symphalangism 1 (proximal) antibody; Synostoses (multiple) syndrome 1 antibody; SYNS 1 antibody; SYNS1 antibody
-
宿主:Rabbit
-
反應種屬:Human
-
免疫原:Recombinant Human Noggin protein (28-232AA)
-
免疫原種屬:Homo sapiens (Human)
-
標記方式:Non-conjugated
本頁面中的產品,NOG Antibody (CSB-PA015917LA01HU),的標記方式是Non-conjugated。對于NOG Antibody,我們還提供其他標記。見下表:
-
克隆類型:Polyclonal
-
抗體亞型:IgG
-
純化方式:>95%, Protein G purified
-
濃度:It differs from different batches. Please contact us to confirm it.
-
保存緩沖液:Preservative: 0.03% Proclin 300
Constituents: 50% Glycerol, 0.01M PBS, pH 7.4 -
產品提供形式:Liquid
-
應用范圍:ELISA, IHC
-
推薦稀釋比:
Application Recommended Dilution IHC 1:20-1:200 -
Protocols:
-
儲存條件:Upon receipt, store at -20°C or -80°C. Avoid repeated freeze.
-
貨期:Basically, we can dispatch the products out in 1-3 working days after receiving your orders. Delivery time maybe differs from different purchasing way or location, please kindly consult your local distributors for specific delivery time.
-
用途:For Research Use Only. Not for use in diagnostic or therapeutic procedures.
相關產品
靶點詳情
-
功能:Inhibitor of bone morphogenetic proteins (BMP) signaling which is required for growth and patterning of the neural tube and somite. Essential for cartilage morphogenesis and joint formation. Inhibits chondrocyte differentiation through its interaction with GDF5 and, probably, GDF6.
-
基因功能參考文獻:
- studies support previous work that suggest Noggin is an important suppressor of the differentiation of osteoblast lineage cells in bone metastases; now it is also shown that this protein can be induced in bone cells themselves by factors derived from prostate cancer cells PMID: 28981962
- Report of a novel missense NOG mutation and phenotypic variability in an Indian family where multiple members were affected with tarsal-carpal coalition syndrome with multiple synostoses and proximal symphalangism. PMID: 29159868
- Study suggested that the NOGGIN rs227731 polymorphism may increase nonsyndromic cleft lip with or without palate risk in Caucasians and may have no significant association in the Chinese population (meta-analysis). PMID: 28398705
- The clinical presentation of the reported mutation corresponds with previous case reports of families with NOG mutation. In this family, surgery with stapedectomy had lasting effect without renewed fixation of the stapes in a follow up period of 18 months-38 years. PMID: 29605356
- we describe a Danish family suffering from SYNS1 due to a novel NOG gene mutation (C230Y). We provide detailed clinical description of the family members presenting rare phenotype of the shoulders shared by affected individuals but no hearing loss, further adding to the phenotypic variability of the syndrome. PMID: 26994744
- A New Subtype of Multiple Synostoses Syndrome Is Caused by a Mutation in GDF6 That Decreases Its Sensitivity to Noggin and Enhances Its Potency as a BMP Signal. PMID: 26643732
- An imbalance between BMP-2 and Noggin secretion induces abnormal osteogenic differentiation of ankylosing spondylitis-mesenchymal stem cells. PMID: 26413886
- early noggin exposure may play a specific role in the directed differentiation of DA cells from human embryonic stem cells. PMID: 26383864
- By next-generation and Sanger sequencing analyses, study identified two novel mutations, c.559C>G (p.P178A) and c.682T>A (p.C228S), in the proximal symphalangism and atypical multiple synostosis syndrome families, respectively. PMID: 25391606
- Novel p.W150C NOG mutation associated with proximal symphalangism and conductive hearing impairment was identified in a Chinese family.Impaired dimerization of mutant NOG is an important pathogenic mechanism for the NOG-related disorder. PMID: 25888563
- No association between SPRY2, single-nucleotide polymorphisms, and nonsyndromic cleft lip with or without cleft palate risk were observed in this cohort of patients. PMID: 25339627
- The study did not provide support for NOG being the causal gene at 17q22 in nonsyndromic cleft lip with or without cleft palate. PMID: 24706492
- a novel NOG mutation in a Chinese family with proximal symphalangism PMID: 24326127
- this study proposes that the decreased binding affinity of NOG with the p.R136C mutation to HSPG leads to an excess of bone morphogenetic protein signaling and underlies the proximal symphalangism and conductive hearing loss phenotype of carriers. PMID: 24735539
- High-quality studies show that otosclerosis in Japanese patients is not linked to the NOG gene. [Review] PMID: 24170657
- Even though gremlin 1 and noggin were not widely expressed in adult tissues, in a subset of organs their expression pattern indicated a potential role in normal tissue homeostasis as well as in malignancies. PMID: 23826422
- A novel heterozygous change of p. R42T [c.C124A (CCC > ACC)] leading to a proline was identified in a family with multiple synostoses syndrome. PMID: 23732071
- NOggin attenuates BMP4-mediated transdifferentiation of human valve interstitial cells towards an osteogenic-like phenotype in aortic valve sclerosis. PMID: 23483047
- Mutations in the NOG gene are commonly found in congenital stapes ankylosis with symphalangism, but not in otosclerosis. PMID: 22288654
- Noggin suppression decreased viability and BMP-2-induced osteogenic differentiation of human mesenchymal stem cells. PMID: 22740073
- BMP2 treatment reduced noggin expression, which resulted in increased expression of apoptotic markers and increased apoptosis of osteoblasts. PMID: 22628200
- high BMP6 activity, defined by strong BMP6 expression with weak noggin or SOST expression, was associated with shorter survival in esophageal SCC patients; results suggest BMP6, noggin and SOST could be used in combination as a prognostic indicator in cancer progression PMID: 22364398
- p.G92E represents a rare polymorphism of the NOGGIN gene-- causing neither brachydactyly nor fibrodysplasia ossificans progressiva. PMID: 22529972
- Human squamous cell carcinomas and malignant melanomas contain significantly more Myo/Nog cells than basal cell carcinomas. PMID: 22621191
- we conclude that mutations in the coding region of NOG are rare, and play at most an uncommon role in human Holoprosencephaly (HPE). PMID: 22503063
- Using genetic approaches, we show that when NOG is expressed in human breast cancer cells, it facilitates bone colonization by fostering osteoclast differentiation and bone degradation and also contributes to metastatic lesions reinitiation. PMID: 22547073
- SNPs in the coding region of the NOG gene are identified infrequently in human cases of EA/TEF PMID: 22083168
- evidence for a model of osteolytic bone metastasis where constitutive secretion of noggin by cancer cells mediates inhibition of bone formation, thereby preventing repair of osteolytic lesions generated by an excess of osteoclast-mediated bone resorption. PMID: 21249149
- secreted levels of noggin were decreased in untreated patients with relapsing-remitting Multiple sclerosis PMID: 21111488
- study reports on a family with facioaudiosymphalangism syndrome with overgrowth due to a novel heterozygous NOG missense mutation (c.696C > G, p.Cys232Trp) PMID: 20503332
- This result suggests that there may be population polymorphism, or markers that are seldom polymorphic for our population PMID: 20645637
- Using BMP-6/7 chimeras, we identified lysine 60 as a key residue conferring noggin resistance within the BMP-6 protein. PMID: 20048150
- This study showed that constitutive and orthotopic Noggin protein expression did not influence cell proliferation, down-regulated BMP-2 expression, and showed no effect on BMP receptor transcripts. PMID: 19692649
- A novel NOG gene mutation giving rise to the (P35S) amino acid substitution has been identified in an Italian family with symphalangism. PMID: 11857750
- Autosomal dominant stapes ankylosis with broad thumbs and toes, hyperopia, and skeletal anomalies is caused by heterozygous nonsense and frameshift mutations in NOG, the gene encoding noggin PMID: 12089654
- crystal structure of the antagonist Noggin bound to BMP-7, which shows that Noggin inhibits BMP signalling by blocking the molecular interfaces of the binding epitopes for both type I and type II receptors PMID: 12478285
- Nog gene is connected to stapes ankylosis. PMID: 12621334
- Here, we show that the overexpression of human noggin, by acting to inhibit glial differentiation by subependymal progenitor cells, can potentiate adenoviral BDNF-mediated recruitment of new neurons to the adult rat neostriatum PMID: 14999064
- Mutations in the nog gene have been identified. PMID: 15264296
- These studies highlight the critical role played by Cys168 in noggin's biological activities. PMID: 15756420
- Overexpression of noggin in PC-3 cells inhibited the expansion of the lesion in vivo. PMID: 16126463
- Data show calcium-sensing receptor stimulation of T-84 epithelia and colonic myofibroblasts downregulated the BMP family antagonist Noggin. PMID: 17138967
- Lack of noggin expression by cancer cells may be a relevant mechanism contributing to the osteoblast response in bone metastases PMID: 17200191
- Antagonism of bone morphogenetic protein signaling by transgenic Noggin plays a critical role in ensuring proper levels of cell proliferation and epithelial-to-mesenchymal transformation during cardiac morphogenesis. PMID: 17218603
- Expression analysis of additional genes, AKT1, NOG and its antagonist BMP4, which interact downstream to FGFR1, demonstrated expression differences between primary rhabdomyosarcoma tumors and normal skeletal muscles PMID: 17696196
- NOG is involved in myeloproliferative disease associated with myelofibrosis PMID: 17889703
- Various mutations may occur in myositis ossificans nuclear families. PMID: 18019378
- Heterozygous gene mutations in NOGGIN are associated with tall stature in children but not necessarily in adults. PMID: 18204269
- Transgenic noggin overexpression increases the total number of neurons in the colon; the density of colonic neurons increases significantly in both Nog/+ and Nog/Nog mice, although the two groups of transgenic animals do not differ significantly. PMID: 18537141
- Advanced melanoma cells may escape from BMP7-induced inhibition through concomitant aberrant expression of Noggin. PMID: 18560367
顯示更多
收起更多
-
相關疾病:Symphalangism, proximal 1A (SYM1A); Multiple synostoses syndrome 1 (SYNS1); Tarsal-carpal coalition syndrome (TCC); Stapes ankylosis with broad thumb and toes (SABTS); Brachydactyly B2 (BDB2)
-
亞細胞定位:Secreted.
-
蛋白家族:Noggin family
-
數據庫鏈接:
Most popular with customers
-
-
YWHAB Recombinant Monoclonal Antibody
Applications: ELISA, WB, IHC, IF, FC
Species Reactivity: Human, Mouse, Rat
-
Phospho-YAP1 (S127) Recombinant Monoclonal Antibody
Applications: ELISA, WB, IHC
Species Reactivity: Human
-
-
-
-
-















