NOD2 Antibody
-
中文名稱:NOD2兔多克隆抗體
-
貨號:CSB-PA876985
-
規格:¥1100
-
圖片:
-
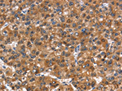
The image on the left is immunohistochemistry of paraffin-embedded Human liver cancer tissue using CSB-PA876985(NOD2 Antibody) at dilution 1/20, on the right is treated with synthetic peptide. (Original magnification: ×200)
-
The image on the left is immunohistochemistry of paraffin-embedded Human thyroid cancer tissue using CSB-PA876985(NOD2 Antibody) at dilution 1/20, on the right is treated with synthetic peptide. (Original magnification: ×200)
-
-
其他:
產品詳情
-
Uniprot No.:
-
基因名:
-
別名:ACUG antibody; Arthrocutaneouveal granulomatosis antibody; BLAU antibody; CARD15 antibody; Caspase recruitment domain family, member 15 antibody; Caspase recruitment domain protein 15 antibody; Caspase recruitment domain-containing protein 15 antibody; CD antibody; CLR16.3 antibody; IBD1 antibody; Inflammatory bowel disease protein 1 antibody; LRR containing protein antibody; NLR family, CARD domain containing 2 antibody; NLRC2 antibody; NOD like receptor C2 antibody; NOD2 antibody; NOD2 protein antibody; NOD2_HUMAN antibody; NOD2B antibody; nucleotide binding oligomerization domain 2 antibody; Nucleotide binding oligomerization domain containing 2 antibody; Nucleotide binding oligomerization domain, leucine rich repeat and CARD domain containing 2 antibody; Nucleotide-binding oligomerization domain-containing protein 2 antibody; PSORAS1 antibody
-
宿主:Rabbit
-
反應種屬:Human
-
免疫原:Synthetic peptide of Human NOD2
-
免疫原種屬:Homo sapiens (Human)
-
標記方式:Non-conjugated
-
抗體亞型:IgG
-
純化方式:Antigen affinity purification
-
濃度:It differs from different batches. Please contact us to confirm it.
-
保存緩沖液:-20°C, pH7.4 PBS, 0.05% NaN3, 40% Glycerol
-
產品提供形式:Liquid
-
應用范圍:ELISA,IHC
-
推薦稀釋比:
Application Recommended Dilution ELISA 1:1000-1:2000 IHC 1:25-1:100 -
Protocols:
-
儲存條件:Upon receipt, store at -20°C or -80°C. Avoid repeated freeze.
-
貨期:Basically, we can dispatch the products out in 1-3 working days after receiving your orders. Delivery time maybe differs from different purchasing way or location, please kindly consult your local distributors for specific delivery time.
-
用途:For Research Use Only. Not for use in diagnostic or therapeutic procedures.
相關產品
靶點詳情
-
功能:Involved in gastrointestinal immunity. Upon stimulation by muramyl dipeptide (MDP), a fragment of bacterial peptidoglycan, binds the proximal adapter receptor-interacting RIPK2, which recruits ubiquitin ligases as XIAP, BIRC2, BIRC3, INAVA and the LUBAC complex, triggering activation of MAP kinases and activation of NF-kappa-B signaling. This in turn leads to the transcriptional activation of hundreds of genes involved in immune response. Required for MDP-induced NLRP1-dependent CASP1 activation and IL1B release in macrophages. Component of an autophagy-mediated antibacterial pathway together with ATG16L1. Plays also a role in sensing single-stranded RNA (ssRNA) from viruses. Interacts with mitochondrial antiviral signaling/MAVS, leading to activation of interferon regulatory factor-3/IRF3 and expression of type I interferon.
-
基因功能參考文獻:
- NOD2 is a target gene of miR-320 and is regulated by XIST. PMID: 29902461
- The CTLA-4 gene +49 A/G polymorphism and the NOD2/CARD15 gene N852S polymorphism were not associated with CD or UC in a Turkish population PMID: 30213296
- genetic deficiency of NOD2 plays a protective role during Aspergillus infection. PMID: 29980664
- Results show that homozygotes carrying 3020insC gene mutations in NOD2 represent a high risk group for Crohn Disease. PMID: 29358789
- Combination of polymorphisms in the NOD2, IL17RA, EPHA2 and KALRN genes could play a significant role in the development of sarcoidosis by maintaining a chronic pro-inflammatory status in macrophages PMID: 29554915
- NOD2 mutation is associated with inflammatory bowel disease. PMID: 30167848
- Overexpression of either NOD1 or NOD2 reduces cell proliferation and increases clonogenic potential in vitro in breast cancer cell lines. PMID: 29615116
- To expand the computational strategy designed when studying XIAP, we have applied the molecular modeling tools to a list of 140 variants seen in CFTR associated with cystic fibrosis, and a list of undiagnosed variants in 17 different genes. Graphical abstract XIAP in Caspase 3 and NOD2 signaling pathways. PMID: 28204942
- DNA sequencing revealed a previously unreported heterozygous mutation consisting of a G>A transition in exon 4 of the NOD2 gene. This resulted in a glutamic acid to lysine substitution in helical domain 2 of the nucleotide binding and oligomerization (NACHT) region, possibly reducing efficiency of auto-inhibition in NOD2 signaling. PMID: 27625029
- The E600A mutation in the NOD2 gene may confer a higher penetrance of uveitis but a later onset of milder forms of non-ocular involvement. PMID: 27419275
- the rarity and lack of association between common NOD2 mutations with IBD in our study seem to reveal a genetic characteristic of the population in our region. PMID: 29055077
- novel mechanisms allowing Leptospira interrogans to escape recognition by the NOD1 and NOD2 receptors may be important in circumventing innate host responses PMID: 29211798
- Studies results provide evidence that Crohn's disease patients have an impairment in mannose-binding lectin-mannose-associated serine protease functional activity and that this defect is associated with mannose-binding lectin 2 and NOD2 variants. PMID: 27404661
- blockage of RhoA/ROCK repressed the TAK1/NOD2-mediated NF-kappaB pathway in HaCaT cells exposed to UVB. PMID: 28608226
- this study reports the phenotype of a kindred with Blau syndrome caused by a novel NOD2 mutation PMID: 28836875
- Results demonstrate that NOD2 contributes to the regulation of blood monocytes. PMID: 28834747
- The interplay between NOD2 signaling, proinflammatory cytokines, CHIT1 activity, heightened oxidative stress and DNA damage orchestrates allergic airway inflammation and thus contributing to the pathogenesis of atopic asthma. PMID: 29572197
- The changes in the nucleotide-binding oligomerization domain-like receptors (NLRs) in human corneas with disease expression may reflect different susceptibility to infectious and non-infectious injuries in corneas with various diseases. PMID: 26902715
- The negative NOD2-smoking interaction in Crohn's disease is specific to the 1007fs variant. However, opposing rates of this variant and smoking across age at diagnosis may explain this negative interaction. PMID: 28668336
- NOD2 up-regulates TLR2-mediated IL-23p19 expression via increasing c-Rel activation in Paneth cell-like cells PMID: 27563808
- Results demonstrate the leucine-rich repeat (LRR) domain of Nod2 is sufficient to bind to bacterial peptidoglycan fragments and defined critical residues on Nod2 responsible for recognition. PMID: 27748583
- Our findings suggest that genetic variants in NOD2 are only associated with OFG in patients with concurrent intestinal disease. PMID: 27306066
- skin rash with granuloma formation and specific NOD2 mutations may represent early diagnostic hallmarks of EOS in infants with persistent inflammation. PMID: 28130683
- The results confirmed that polymorphisms in NOD2 (Leu1007insC) and IRGM genes are associated with increased risk of Crohn's disease; whereas the ORMDL3 variant is associated with susceptibility to ulcerative colitis in the Lithuanian early-onset inflammatory bowel disease population. PMID: 27932194
- We found that D299G and T399I SNPs were associated with Crohn's Disease susceptibility in patients carrying NOD2 variants. The patients carrying any mutant TLR4 variant were predisposed to develop a stricturing disease, especially in the presence of NOD2 mutation. PMID: 27290609
- Homology modeling shows how the R702W mutation in NOD2 found in Crohn's disease, lowers the muramyl dipeptide-dependent activity of NOD2, and suggests that the residue is involved in autoregulation through direct interaction with the leucine rich domain. PMID: 27791288
- wild type NOD2 is involved in preserving intestinal barrier integrity and immune homeostasis, properly functioning autophagy and balancing the gut microbiota composition; there is a high prevalence and effect size of NOD2 risk alleles in patients with Crohn's disease PMID: 29096557
- NOD2 is an important mediator in the viral uptake and inflammatory response during the pathogenesis of CVB3 myocarditis. PMID: 28912259
- We identified 2 missense mutations at 16q12 in NOD2 (p.Ala110Thr and p.Arg311Trp), which encodes nucleotide-binding oligomerization domain protein 2. We further examined 94 genetically unrelated AgP patients by targeted sequencing of NOD2 and found that 2 patients among them also carried the p.Arg311Trp variant. Furthermore, we found 3 additional missense mutations in this gene (p.His370Tyr, p.Arg459Cys, and p.Ala868Thr) PMID: 28682159
- Performed genetic analysis in patients with Crohn's disease (CD) to determine effect of NOD2/CARD15 polymorphisms on treatment response to adalimumab and infliximab. PMID: 27533749
- The study of the correlation between genotype and phenotypic expression showed that CARD15 mutation is associated with ileocecal Crohn's disease, with fistulizing and stenosing behavior in Crohn's disease as well as with severe evolution PMID: 28819537
- Ligand-driven triggering of TLR-3, -4, NOD2, and DC-SIGN, despite reducing viral replication, markedly increased the capacity of infected dendritic cells to stimulate HIV-specific cytotoxic T-cells. PMID: 28266028
- This work suggests that Crohn's Disease-associated Nod2 variants could be stabilized in vivo with a molecular chaperone. PMID: 28792733
- From the results, the authors conclude that SNPs at the NOD2 and IL6 genes are associated with leprosy reactions as an outcome. PMID: 28715406
- Based on molecular docking studies using PG ligands, we propose few residues - G825, D826 and N850 in hNOD1-LRR and L904, G905, W931, L932 and S933 in hNOD2-LRR, evolutionarily conserved across different host species, which may play a major role in ligand recognition. PMID: 28673961
- NOD2 rs3135500 and IL12B rs1368439 SNPs were not genetic risk factors for colorectal cancer in the studied Iranian population. PMID: 27426943
- Variants of NOD2/CARD15 and TLR4 do not confer susceptibility to inflammatory bowel disease, but appear to determine Crohn's disease phenotypes in this southeastern Brazilian population. PMID: 27107867
- IFNgamma positively affects NOD2-mediated signaling in human conventional dendritic cells, in a manner considerably dependent on XIAP and partially dependent on mTOR. PMID: 26521691
- The role of the NOD2 risk variants in bacterial translocation and spontaneous bacterial peritonitis is reported. PMID: 26725065
- This study provides the evidence of NOD2/TLR2-mediated exacerbation of Atopic dermatitis through activation of innate immune cells. PMID: 26388234
- NOD2 interactome and signaling depend upon the NOD2 mutation profile in CD PMID: 27812135
- this study shows that NOD2 is upregulated in asthma patient tissues and cell lines, and that overexpression of NOD2 promotes cell proliferation and migration in airway smooth muscle cells PMID: 27889082
- results indicate that NOD2 has a regulatory role in EndMT via activation of MEK/ERK in high glucose-treated GEnCs. Targeting this pathway is a promising strategy for intervention of DN endothelial dysfunction PMID: 28137583
- A novel association between the NOD2 allele and an increased risk of postoperative intraabdominal infectious complications was observed in patients with Crohn's disease. PMID: 26946932
- results of this work support the role of XIAP in mediating NOD2 signaling while reconciling the role of X-linked lymphoproliferative syndrome 2 and very-early-onset inflammatory bowel disease XIAP mutations in inflammatory cell death and provide a set of tools and framework to rapidly test newly discovered XIAP variants. PMID: 28404814
- Cytokine production induced by invasive S. mutans via intracellular TLR2 and NOD2 in HAECs may be associated with inflammation. PMID: 27004566
- bactDNA translocation is an independent risk factor of relapse in the short term in CD patients in remission. The increased inflammatory response to bactDNA translocation, particularly compromised in patients with a variant NOD2 genotype, is likely identifying a subgroup of CD patients susceptible of more aggressive early therapeutic approaches. PMID: 26902226
- the results suggest that the chronic activation of NOD1 and NOD2 receptors might play a role in the development of gastric cancer. PMID: 27917621
- this study reveals that LRRK2 is a new positive regulator of Rip2 and promotes inflammatory cytokine induction through the Nod1/2-Rip2 pathway. PMID: 27830463
- Together, the data demonstrate that the NOD2-RIP2 pathway is activated in murine and human visceral leishmaniasis and plays a role in shaping adaptive immunity toward a Th1 profile. PMID: 27651416
顯示更多
收起更多
-
相關疾病:Blau syndrome (BLAUS); Inflammatory bowel disease 1 (IBD1); Yao syndrome (YAOS)
-
亞細胞定位:Cytoplasm. Membrane. Mitochondrion. Basolateral cell membrane.
-
組織特異性:Expressed in intestinal mucosa, mainly in Paneth cells and, at lower extent, in the glandular epithelium.
-
數據庫鏈接:
Most popular with customers
-
-
YWHAB Recombinant Monoclonal Antibody
Applications: ELISA, WB, IHC, IF, FC
Species Reactivity: Human, Mouse, Rat
-
Phospho-YAP1 (S127) Recombinant Monoclonal Antibody
Applications: ELISA, WB, IHC
Species Reactivity: Human
-
-
-
-
-















