NMNAT3 Antibody
-
中文名稱:NMNAT3兔多克隆抗體
-
貨號:CSB-PA839418LA01HU
-
規格:¥440
-
圖片:
-
Western blot
All lanes: NMNAT3 antibody at 2µg/ml + Mouse brain tissue
Secondary
Goat polyclonal to rabbit IgG at 1/10000 dilution
Predicted band size: 29, 25, 19 kDa
Observed band size: 29 kDa -
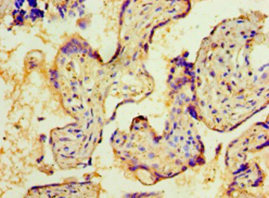
Immunohistochemistry of paraffin-embedded human placenta tissue using CSB-PA839418LA01HU at dilution of 1:100
-
Immunohistochemistry of paraffin-embedded human tonsil tissue using CSB-PA839418LA01HU at dilution of 1:100
-
-
其他:
產品詳情
-
產品名稱:Rabbit anti-Homo sapiens (Human) NMNAT3 Polyclonal antibody
-
Uniprot No.:
-
基因名:NMNAT3
-
別名:NaMN adenylyltransferase 3 antibody; Nicotinamide mononucleotide adenylyltransferase 3 antibody; Nicotinamide nucleotide adenylyltransferase 3 antibody; Nicotinate-nucleotide adenylyltransferase 3 antibody; NMN adenylyltransferase 3 antibody; NMNA3_HUMAN antibody; NMNAT 3 antibody; Nmnat3 antibody; PNAT 3 antibody; PNAT-3 antibody; PNAT3 antibody; Pyridine nucleotide adenylyltransferase 3 antibody
-
宿主:Rabbit
-
反應種屬:Human, Mouse
-
免疫原:Recombinant Human Nicotinamide/nicotinic acid mononucleotide adenylyltransferase 3 protein (1-215AA)
-
免疫原種屬:Homo sapiens (Human)
-
標記方式:Non-conjugated
本頁面中的產品,NMNAT3 Antibody (CSB-PA839418LA01HU),的標記方式是Non-conjugated。對于NMNAT3 Antibody,我們還提供其他標記。見下表:
-
克隆類型:Polyclonal
-
抗體亞型:IgG
-
純化方式:>95%, Protein G purified
-
濃度:It differs from different batches. Please contact us to confirm it.
-
保存緩沖液:Preservative: 0.03% Proclin 300
Constituents: 50% Glycerol, 0.01M PBS, PH 7.4 -
產品提供形式:Liquid
-
應用范圍:ELISA, WB, IHC
-
推薦稀釋比:
Application Recommended Dilution WB 1:200-1:1000 IHC 1:20-1:200 -
Protocols:
-
儲存條件:Upon receipt, store at -20°C or -80°C. Avoid repeated freeze.
-
貨期:Basically, we can dispatch the products out in 1-3 working days after receiving your orders. Delivery time maybe differs from different purchasing way or location, please kindly consult your local distributors for specific delivery time.
-
用途:For Research Use Only. Not for use in diagnostic or therapeutic procedures.
相關產品
靶點詳情
-
功能:Catalyzes the formation of NAD(+) from nicotinamide mononucleotide (NMN) and ATP. Can also use the deamidated form; nicotinic acid mononucleotide (NaMN) as substrate with the same efficiency. Can use triazofurin monophosphate (TrMP) as substrate. Can also use GTP and ITP as nucleotide donors. Also catalyzes the reverse reaction, i.e. the pyrophosphorolytic cleavage of NAD(+). For the pyrophosphorolytic activity, can use NAD(+), NADH, NaAD, nicotinic acid adenine dinucleotide phosphate (NHD), nicotinamide guanine dinucleotide (NGD) as substrates. Fails to cleave phosphorylated dinucleotides NADP(+), NADPH and NaADP(+). Protects against axonal degeneration following injury.
-
基因功能參考文獻:
- NMNAT3 is absent in mitochondria in human cells, and, akin to plants and yeast, cytosolic NAD maintains the mitochondrial NAD pool. PMID: 24155910
- Red blood cells represent the first human cell type with a remarkable predominance of NMNAT3 over NMNAT1; NMNAT2 is absent. PMID: 20457531
- analysis of isoform-specific targeting and interaction domains in human nicotinamide mononucleotide adenylyltransferases PMID: 20388704
- NMNAT1 is a nuclear protein, whereas NMNAT2 and -3 are localized to the Golgi complex and the mitochondria PMID: 16118205
- NMN binds before ATP with the mitochondrial isozyme NMNAT3. Only NMNAT3 utilizes ITP efficiently in place of ATP, and NMNH conversion to NADH by NMNAT1 and NMNAT3 occurs at similar rates. PMID: 17402747
顯示更多
收起更多
-
亞細胞定位:Mitochondrion.
-
蛋白家族:Eukaryotic NMN adenylyltransferase family
-
組織特異性:Expressed in lung and spleen with lower levels in placenta and kidney.
-
數據庫鏈接:
Most popular with customers
-
-
YWHAB Recombinant Monoclonal Antibody
Applications: ELISA, WB, IHC, IF, FC
Species Reactivity: Human, Mouse, Rat
-
Phospho-YAP1 (S127) Recombinant Monoclonal Antibody
Applications: ELISA, WB, IHC
Species Reactivity: Human
-
-
-
-
-















