NLRP2 Antibody
-
中文名稱:NLRP2兔多克隆抗體
-
貨號:CSB-PA865163ESR2HU
-
規格:¥440
-
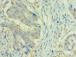
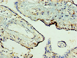
圖片:
-
其他:
產品詳情
-
產品名稱:Rabbit anti-Homo sapiens (Human) NLRP2 Polyclonal antibody
-
Uniprot No.:
-
基因名:NLRP2
-
別名:CLR19.9 antibody; FLJ20510 antibody; Leucine rich repeat and PYD containing protein 2 antibody; LRR and PYD domains-containing protein 2 antibody; NACHT antibody; NACHT domain antibody; NACHT leucine rich repeat and PYD containing 2 antibody; NACHT LRR and PYD domains containing protein 2 antibody; NALP2 antibody; NALP2_HUMAN antibody; NBS1 antibody; NLR family pyrin domain containing 2 antibody; NLRP2 antibody; Nucleotide binding oligomerization domain leucine rich repeat and pyrin domain containing 2 antibody; Nucleotide-binding site protein 1 antibody; PAN1 antibody; PYPAF2 antibody; PYRIN containing APAF1 like protein2 antibody; PYRIN domain and NACHT domain-containing protein 1 antibody; PYRIN-containing APAF1-like protein 2 antibody
-
宿主:Rabbit
-
反應種屬:Human
-
免疫原:Recombinant Human NACHT, LRR and PYD domains-containing protein 2 protein (1-220AA)
-
免疫原種屬:Homo sapiens (Human)
-
標記方式:Non-conjugated
-
克隆類型:Polyclonal
-
抗體亞型:IgG
-
純化方式:Antigen Affinity Purified
-
濃度:It differs from different batches. Please contact us to confirm it.
-
保存緩沖液:PBS with 0.02% sodium azide, 50% glycerol, pH7.3.
-
產品提供形式:Liquid
-
應用范圍:ELISA, IHC
-
推薦稀釋比:
Application Recommended Dilution IHC 1:20-1:200 -
Protocols:
-
儲存條件:Upon receipt, store at -20°C or -80°C. Avoid repeated freeze.
-
貨期:Basically, we can dispatch the products out in 1-3 working days after receiving your orders. Delivery time maybe differs from different purchasing way or location, please kindly consult your local distributors for specific delivery time.
-
用途:For Research Use Only. Not for use in diagnostic or therapeutic procedures.
相關產品
靶點詳情
-
功能:Suppresses TNF- and CD40-induced NFKB1 activity at the level of the IKK complex, by inhibiting NFKBIA degradation induced by TNF. When associated with PYCARD, activates CASP1, leading to the secretion of mature proinflammatory cytokine IL1B. May be a component of the inflammasome, a protein complex which also includes PYCARD, CARD8 and CASP1 and whose function would be the activation of proinflammatory caspases.
-
基因功能參考文獻:
- During transition from the pluripotent stage towards the neural developmental stage, NLRP2 is differentially expressed in bipolar patient derived cells compared to control derived cells. PMID: 28117838
- genetic polymorphism is associated with chronic pancreatitis PMID: 26253076
- No disease-causing mutations were identified in NLRP2, NLRP7 and KHDC3L in cohorts of unexplained infertility and recurrent pregnancy loss. PMID: 25376457
- This study indicates that polymorphisms in SPARC and NLRP2 are related to rheumatoid arthritis susceptibility in a Chinese Han population. PMID: 24754275
- Findings suggest that NLR family pyrin domain containing 2 (NLRP2P) is a processed pseudogene that regulates NF-kappaB RelA/p65 activity and thus represents the newest member of the POP family, pyrin-only protein 4 (POP4; NLRP4). PMID: 24871464
- The results of this study suggest that the astrocytic NLRP2 inflammasome is an important component of the CNS inflammatory response PMID: 23625868
- There is a significant association of a tag single-nucleotide polymorphism (SNP) of NLRP7 (rs26949) with idiopathic recurrent miscarriage PMID: 23360675
- single nucleotide polymorphisms in NALP2 gene is associated with arsenic induced skin lesions, peripheral neuropathy, eye problem and respiratory diseases. PMID: 23644288
- Observations suggest that although NLRP7 and C6orf221 mutations are related to diploid biparental FRHMs, neither of these genes, nor NLRP2, are related to diploid HMs with biparental contributions to the molar genome. PMID: 22909446
- POP2 acts as a regulator of inflammatory signals and exerts its two known functions through distinct modalities employed by its first alpha-helix PMID: 21976665
- Our observations are the first to implicate SPARC, SLPI, and NLRP2, a component of the innate immune system, in the pathogenesis of axial spondyloarthropathy PMID: 19900269
- functions as a modulator of the activation of NF-kappaB and pro-caspase-1 in macrophages PMID: 15456791
- PYPAF3 is a feedback regulator of interleukin-1beta secretion, and PYPAF2 and PYPAF3, together with PYNOD, constitute an anti-inflammatory subgroup of PYRIN-containing apoptotic protease-activating factor-1-like proteins PMID: 15817483
- These findings provide molecular insight into the expression of NLRP2 by NF-kappaB. PMID: 18056399
- NLRP2 was preferentially expressed from the maternal allele PMID: 18369178
- Common variants in NLRP2 and NLRP3 genes are strong prognostic factors for the outcome of HLA-identical sibling allogeneic stem cell transplantation. PMID: 18772453
- These data show that TLR2 and NALP2 mediate the induction of human beta-defensins by F. nucleatum in gingival epithelial cells PMID: 19103770
- NLRP2 has a previously unrecognised role in establishing or maintaining genomic imprinting in humans. PMID: 19300480
- Roles of the pyrin protein which seems to have various roles in regulation of innate immunity, inflammation, and apoptosis. PMID: 19534089
顯示更多
收起更多
-
亞細胞定位:Cytoplasm.
-
蛋白家族:NLRP family
-
組織特異性:Expressed at high levels in lung, placenta and thymus and at lower levels in ovary, intestine and brain. Highly abundant in oocytes and early embryos, however poorly expressed in somatic tissues such as brain, kidney, liver and spinal cord.
-
數據庫鏈接:
Most popular with customers
-
-
YWHAB Recombinant Monoclonal Antibody
Applications: ELISA, WB, IHC, IF, FC
Species Reactivity: Human, Mouse, Rat
-
Phospho-YAP1 (S127) Recombinant Monoclonal Antibody
Applications: ELISA, WB, IHC
Species Reactivity: Human
-
-
-
-
-















