NLN Antibody
-
中文名稱:NLN兔多克隆抗體
-
貨號:CSB-PA863161LA01HU
-
規格:¥440
-
圖片:
-
Western Blot
Positive WB detected in: 293 whole cell lysate, PC-3 whole cell lysate, HepG2 whole cell lysate, LO2 whole cell lysate, A549 whole cell lysate
All lanes: NLN antibody at 3.2µg/ml
Secondary
Goat polyclonal to rabbit IgG at 1/50000 dilution
Predicted band size: 81 kDa
Observed band size: 81 kDa -
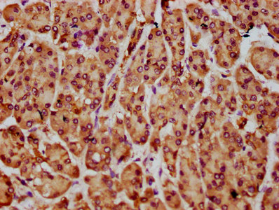
IHC image of CSB-PA863161LA01HU diluted at 1:300 and staining in paraffin-embedded human pancreatic cancer performed on a Leica BondTM system. After dewaxing and hydration, antigen retrieval was mediated by high pressure in a citrate buffer (pH 6.0). Section was blocked with 10% normal goat serum 30min at RT. Then primary antibody (1% BSA) was incubated at 4°C overnight. The primary is detected by a biotinylated secondary antibody and visualized using an HRP conjugated SP system.
-
Immunofluorescence staining of HepG2 cells with CSB-PA863161LA01HU at 1:100, counter-stained with DAPI. The cells were fixed in 4% formaldehyde, permeabilized using 0.2% Triton X-100 and blocked in 10% normal Goat Serum. The cells were then incubated with the antibody overnight at 4°C. The secondary antibody was Alexa Fluor 488-congugated AffiniPure Goat Anti-Rabbit IgG(H+L).
-
-
其他:
產品詳情
-
產品名稱:Rabbit anti-Homo sapiens (Human) NLN Polyclonal antibody
-
Uniprot No.:
-
基因名:
-
別名:AGTBP antibody; Angiotensin binding protein antibody; Angiotensin-binding protein antibody; DKFZp564F123 antibody; EC 3.4.24.16 antibody; EP24.16 antibody; FLJ23002 antibody; KIAA1226 antibody; MEP antibody; Microsomal endopeptidase antibody; mitochondrial antibody; Mitochondrial oligopeptidase M antibody; MOP antibody; NEUL_HUMAN antibody; neurolysin (metallopeptidase M3 family) antibody; Neurolysin antibody; Neurolysin, mitochondrial precursor antibody; Neurotensin endopeptidase antibody; Nln antibody
-
宿主:Rabbit
-
反應種屬:Human
-
免疫原:Recombinant Human Neurolysin, mitochondrial protein (109-241AA)
-
免疫原種屬:Homo sapiens (Human)
-
標記方式:Non-conjugated
本頁面中的產品,NLN Antibody (CSB-PA863161LA01HU),的標記方式是Non-conjugated。對于NLN Antibody,我們還提供其他標記。見下表:
-
克隆類型:Polyclonal
-
抗體亞型:IgG
-
純化方式:>95%, Protein G purified
-
濃度:It differs from different batches. Please contact us to confirm it.
-
保存緩沖液:Preservative: 0.03% Proclin 300
Constituents: 50% Glycerol, 0.01M PBS, pH 7.4 -
產品提供形式:Liquid
-
應用范圍:ELISA, WB, IHC, IF
-
推薦稀釋比:
Application Recommended Dilution WB 1:500-1:5000 IHC 1:200-1:500 IF 1:50-1:200 -
Protocols:
-
儲存條件:Upon receipt, store at -20°C or -80°C. Avoid repeated freeze.
-
貨期:Basically, we can dispatch the products out in 1-3 working days after receiving your orders. Delivery time maybe differs from different purchasing way or location, please kindly consult your local distributors for specific delivery time.
-
用途:For Research Use Only. Not for use in diagnostic or therapeutic procedures.
相關產品
靶點詳情
-
功能:Hydrolyzes oligopeptides such as neurotensin, bradykinin and dynorphin A.
-
基因功能參考文獻:
- Mutations at only two residues (Arg-470 and Arg-498) are required to swap specificity with thimet oligopeptidase, a result that is confirmed by testing the two-mutant constructs. PMID: 17251185
-
亞細胞定位:Mitochondrion intermembrane space. Cytoplasm.
-
蛋白家族:Peptidase M3 family
-
數據庫鏈接:
Most popular with customers
-
-
YWHAB Recombinant Monoclonal Antibody
Applications: ELISA, WB, IHC, IF, FC
Species Reactivity: Human, Mouse, Rat
-
Phospho-YAP1 (S127) Recombinant Monoclonal Antibody
Applications: ELISA, WB, IHC
Species Reactivity: Human
-
-
-
-
-















