NIT1 Antibody
-
中文名稱:NIT1兔多克隆抗體
-
貨號:CSB-PA817186
-
規格:¥1100
-
圖片:
-
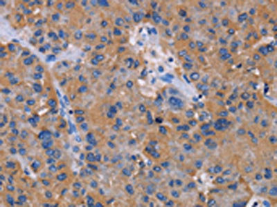
The image on the left is immunohistochemistry of paraffin-embedded Human liver cancer tissue using CSB-PA817186(NIT1 Antibody) at dilution 1/30, on the right is treated with fusion protein. (Original magnification: ×200)
-
The image on the left is immunohistochemistry of paraffin-embedded Human brain tissue using CSB-PA817186(NIT1 Antibody) at dilution 1/30, on the right is treated with fusion protein. (Original magnification: ×200)
-
Gel: 8%SDS-PAGE, Lysate: 40 μg, Lane 1-2: Human placenta tissue, Human fetal liver tissue, Primary antibody: CSB-PA817186(NIT1 Antibody) at dilution 1/400, Secondary antibody: Goat anti rabbit IgG at 1/8000 dilution, Exposure time: 5 minutes
-
-
其他:
產品詳情
-
Uniprot No.:
-
基因名:NIT1
-
別名:MGC57670 antibody; NIT1 antibody; NIT1_HUMAN antibody; Nitrilase 1 antibody; Nitrilase homolog 1 antibody
-
宿主:Rabbit
-
反應種屬:Human,Mouse,Rat
-
免疫原:Fusion protein of Human NIT1
-
免疫原種屬:Homo sapiens (Human)
-
標記方式:Non-conjugated
-
抗體亞型:IgG
-
純化方式:Antigen affinity purification
-
濃度:It differs from different batches. Please contact us to confirm it.
-
保存緩沖液:-20°C, pH7.4 PBS, 0.05% NaN3, 40% Glycerol
-
產品提供形式:Liquid
-
應用范圍:ELISA,WB,IHC
-
推薦稀釋比:
Application Recommended Dilution ELISA 1:2000-1:5000 WB 1:200-1:1000 IHC 1:50-1:200 -
Protocols:
-
儲存條件:Upon receipt, store at -20°C or -80°C. Avoid repeated freeze.
-
貨期:Basically, we can dispatch the products out in 1-3 working days after receiving your orders. Delivery time maybe differs from different purchasing way or location, please kindly consult your local distributors for specific delivery time.
-
用途:For Research Use Only. Not for use in diagnostic or therapeutic procedures.
相關產品
靶點詳情
-
功能:Catalyzes the hydrolysis of the amide bond in N-(4-oxoglutarate)-L-cysteinylglycine (deaminated glutathione), a metabolite repair reaction to dispose of the harmful deaminated glutathione. Plays a role in cell growth and apoptosis: loss of expression promotes cell growth, resistance to DNA damage stress and increased incidence to NMBA-induced tumors. Has tumor suppressor properties that enhances the apoptotic responsiveness in cancer cells; this effect is additive to the tumor suppressor activity of FHIT. It is also a negative regulator of primary T-cells.
-
基因功能參考文獻:
- Data show that cisplatin response was enhanced in human lung cancer cells when Nit1 was knocked down and mice Nit1-/-:KrasG12D/+ tumors showed increased sensitivity to cisplatin in vivo. PMID: 26967383
- Human NIT1/2 are not involved in the metabolism of vildagliptin. PMID: 25008847
- Nit1 and Fhit share tumor suppressor signaling pathways, while localization of the NIT1 gene at a stable chromosome site explains the paucity of gene alterations and in frequent loss of expression of the NIT1 gene in human malignancies. PMID: 16864578
-
亞細胞定位:[Isoform 2]: Mitochondrion.; [Isoform 1]: Cytoplasm.
-
蛋白家族:Carbon-nitrogen hydrolase superfamily, NIT1/NIT2 family
-
組織特異性:Detected in heart, brain, placenta, liver, skeletal muscle, kidney and pancreas.
-
數據庫鏈接:
Most popular with customers
-
-
YWHAB Recombinant Monoclonal Antibody
Applications: ELISA, WB, IHC, IF, FC
Species Reactivity: Human, Mouse, Rat
-
Phospho-YAP1 (S127) Recombinant Monoclonal Antibody
Applications: ELISA, WB, IHC
Species Reactivity: Human
-
-
-
-
-















