NHLRC1 Antibody
-
中文名稱:NHLRC1兔多克隆抗體
-
貨號:CSB-PA740936ESR2HU
-
規格:¥440
-
圖片:
-
Western Blot
Positive WB detected in: Rat Liver tissue lysate(20μg), HepG2 whole cell lysate(20μg)
All lanes: NHLRC1 antibody at 1:2000
Secondary
Goat polyclonal to rabbit IgG at 1/40000 dilution
Predicted band size: 42 kDa
Observed band size: 42 kDa
Exposure time: 300s -
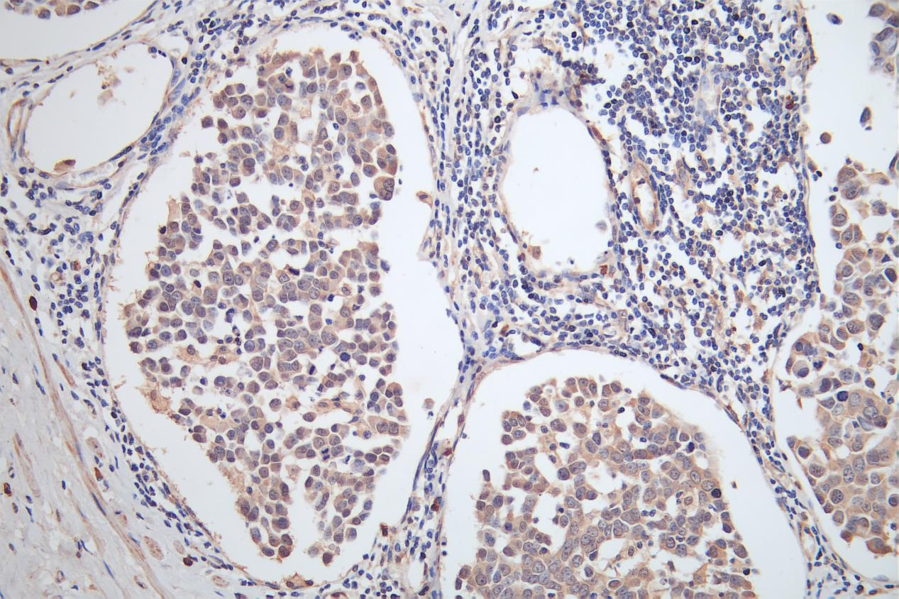
IHC image of CSB-PA740936ESR2HU diluted at 1:100 and staining in paraffin-embedded human gastric cancer performed on a Leica BondTM system. After dewaxing and hydration, antigen retrieval was mediated by high pressure in a citrate buffer (pH 6.0). Section was blocked with 10% normal goat serum 30min at RT. Then primary antibody (1% BSA) was incubated at 4°C overnight. The primary is detected by a Goat anti-rabbit polymer IgG labeled by HRP and visualized using 0.05% DAB.
-
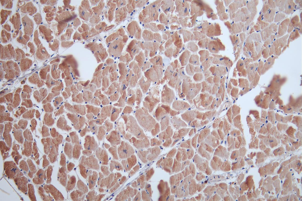
IHC image of CSB-PA740936ESR2HU diluted at 1:100 and staining in paraffin-embedded human heart tissue performed on a Leica BondTM system. After dewaxing and hydration, antigen retrieval was mediated by high pressure in a citrate buffer (pH 6.0). Section was blocked with 10% normal goat serum 30min at RT. Then primary antibody (1% BSA) was incubated at 4°C overnight. The primary is detected by a Goat anti-rabbit polymer IgG labeled by HRP and visualized using 0.05% DAB.
-
Immunofluorescence staining of MCF7 cell with CSB-PA740936ESR2HU at 1:50, counter-stained with DAPI. The cells were fixed in 4% formaldehyde and and permeated by 0.2% TritonX-100 for 15 min. Then 10% normal goat serum to block non-specific protein-protein interactions . The cells were then incubated with the antibody overnight at 4℃. The secondary antibody was Alexa Fluor 488-congugated AffiniPure Goat Anti-Rabbit IgG(H+L).
-
-
其他:
產品詳情
-
產品描述:
The product CSB-PA740936ESR2HU is a polyclonal antibody produced in the rabbit with recombinant human NHLRC1 protein (1-280AA) immunized. This antibody against NHLRC1 exists as an unconjugated IgG. It is purified by the antigen affinity method. It shows reactivity with human and rat NHLRC1, also called EPM2B, which is an E3 ubiquitin-protein ligase that is complexed with EPM2A/laforin and HSP70 to inhibit the cellular toxicity of misfolded proteins by promoting their degradation through the ubiquitin-proteasome system (UPS). The NHLRC1 protein may play a vital role in the survival of neurons in the brain. This NHLRC1 antibody has been validated for use in ELISA, WB, and IHC applications.
-
產品名稱:Rabbit anti-Homo sapiens (Human) NHLRC1 Polyclonal antibody
-
Uniprot No.:
-
基因名:
-
別名:bA204B7.2 antibody; E3 ubiquitin-protein ligase NHLRC1 antibody; EPM2A antibody; EPM2B antibody; EPM2B gene antibody; Malin antibody; MGC119262 antibody; MGC119264 antibody; MGC119265 antibody; NHL repeat containing 1 antibody; NHL repeat containing E3 ubiquitin protein ligase 1 antibody; NHL repeat containing protein 1 antibody; NHL repeat-containing protein 1 antibody; NHL repeat-containing protein 1 gene antibody; NHLC1_HUMAN antibody; NHLRC 1 antibody; Nhlrc1 antibody
-
宿主:Rabbit
-
反應種屬:Human, Rat
-
免疫原:Recombinant Human E3 ubiquitin-protein ligase NHLRC1 protein (1-280AA)
-
免疫原種屬:Homo sapiens (Human)
-
標記方式:Non-conjugated
-
克隆類型:Polyclonal
-
抗體亞型:IgG
-
純化方式:Antigen Affinity Purified
-
濃度:It differs from different batches. Please contact us to confirm it.
-
保存緩沖液:Preservative: 0.03% Proclin 300 Constituents: 50% Glycerol, 0.01M PBS, pH 7.4
-
產品提供形式:Liquid
-
應用范圍:ELISA, WB, IHC,IF
-
推薦稀釋比:
Application Recommended Dilution WB 1:1000-1:5000 IHC 1:20-1:200 IF 1:20-1:200 -
Protocols:
-
儲存條件:Upon receipt, store at -20°C or -80°C. Avoid repeated freeze.
-
貨期:Basically, we can dispatch the products out in 1-3 working days after receiving your orders. Delivery time maybe differs from different purchasing way or location, please kindly consult your local distributors for specific delivery time.
-
用途:For Research Use Only. Not for use in diagnostic or therapeutic procedures.
相關產品
靶點詳情
-
功能:E3 ubiquitin-protein ligase. Together with the phosphatase EPM2A/laforin, appears to be involved in the clearance of toxic polyglucosan and protein aggregates via multiple pathways. In complex with EPM2A/laforin and HSP70, suppresses the cellular toxicity of misfolded proteins by promoting their degradation through the ubiquitin-proteasome system (UPS). Ubiquitinates the glycogen-targeting protein phosphatase subunits PPP1R3C/PTG and PPP1R3D in a laforin-dependent manner and targets them for proteasome-dependent degradation, thus decreasing glycogen accumulation. Polyubiquitinates EPM2A/laforin and ubiquitinates AGL and targets them for proteasome-dependent degradation. Also promotes proteasome-independent protein degradation through the macroautophagy pathway.
-
基因功能參考文獻:
- Malin promotes its own degradation via auto-ubiquitination.Malin preferentially degrades the phosphatase-inactive laforin monomer. PMID: 26648032
- laforin/malin complex is able to interact with and ubiquitinate both PKM1 and PKM2 PMID: 26493215
- Lafora disease proteins laforin and malin negatively regulate the HIPK2-p53 cell death pathway. PMID: 26102034
- This study demonistrated that NHLRC1 mutations were detected in some case of Mild Lafora disease patients. PMID: 25270369
- Without functional laforin-malin complex assembled on polyglucosan bodies, polyglucosan is not degraded. PMID: 24068615
- Malin regulates the recruitment of mRNA-decapping enzyme 1A (Dcp1a) to processing bodies. PMID: 23131811
- Malin forms a functional complex with laforin. This complex promotes the ubiquitination of proteins involved in glycogen metabolism and misregulation of pathways involved in this process results in Lafora body formation. (Review) PMID: 22815132
- This study identified that NHLRC1 gene mutations leading to Lafora disease in six Turkish families. PMID: 22047982
- Our results indicate that malin regulates Wnt signaling pathway through the degradation of dishevelled2 and suggest possible deregulation of Wnt signaling in Lafora disease. PMID: 22223637
- Mutations in the NHL repeat containing 1 (NHLRC1) gene are described in association with a more benign clinical course and later age of death in an adolescent patient. PMID: 21555062
- Laforin and malin are defective in Lafora disease (LD), a neurodegenerative disorder associated with epileptic seizures PMID: 21652633
- malin(C46Y), malin(P69A), malin(D146N), and malin(L261P) mutants failed to downregulate the level of R5/PTG, a regulatory subunit of protein phosphatase 1 involved in glycogen synthesis. PMID: 21505799
- malin negatively regulates neuronatin and its loss of function in Lafora disease results in increased accumulation of neuronatin PMID: 21742036
- Malin is related to TRIM32 at both the phylogenetic and functional level. PMID: 21798009
- study described several novel mutations of EPM2A and NHLRC1 and brought additional data to genetic epidemiology of Lafora disease (LD); emphasized the high mutation rate in patients with classical LD as well as the high negativity rate of skin biopsy PMID: 20738377
- These results suggest that the modification introduced by the laforin-malin complex could affect the subcellular distribution of AMPK beta subunits. PMID: 20534808
- the co-chaperone carboxyl terminus of the Hsc70-interacting protein (CHIP) stabilizes malin by modulating the activity of Hsp70. PMID: 19892702
- Laforin and malin colocalize to the ER, suggesting they operate in a related pathway protecting against polyglucosan accumulation and epilepsy PMID: 12958597
- Genetic allelic heterogeneity is present in Lafora disease associated with mutations in EPM2B. Patients with mutations in EPM2A and EPM2B express similar clinical manifestation. PMID: 15781812
- Malin is an E3 ubiquitin ligase that ubiquitinates and promotes the degradation of laforin. PMID: 15930137
- Malin is an E3 ubiquitin ligase that binds glycogen synthase. PMID: 16115820
- Patients with NHLRC1 mutations have a slower rate of disease progression than those with EPM2A mutations. PMID: 16950819
- Defects in malin may lead to increased levels of misfolded and/or target proteins, which may eventually affect the physiological processes of the neuron, and likely to be the primary trigger in the physiopathology of lafora disease. PMID: 17337485
- Regulation of glycogen synthesis by the laforin-malin complex is modulated by the AMP-activated protein kinase complex pathway. PMID: 18029386
- malin ubiquitinates PTG in a laforin-dependent manner, both in vivo and in vitro, and targets PTG for proteasome-dependent degradation. These results suggest an additional mechanism, involving laforin and malin, in regulating glycogen metabolism PMID: 18070875
- The authors identified 14 Lafora epilepsy patients in the genetic isolate of tribal Oman. The authors show that in this homogeneous environment and gene pool, the same mutation, EPM2B-c.468-469delAG, results in highly uniform ages of onset and death. PMID: 18263761
- Results suggest that the altered subcellular localization of mutant proteins of the EPM2A and NHLRC1 genes could be one of the molecular bases of the Lafora disease phenotype. PMID: 18311786
- Laforin and malin interact with misfolded proteins and promote their degradation through the ubiquitin-proteasome system. PMID: 19036738
- phosphorylation of R5/PTG at Ser-8 by AMPK accelerates its laforin/malin-dependent ubiquitination and subsequent proteasomal degradation, which results in a decrease of its glycogenic activity. PMID: 19171932
- Results describe a novel homozygous single-nucleotide variant in the NHLRC1 gene in a Malian consanguineous family. PMID: 19322595
- laforin and malin play a role protecting cells from ER-stress, likely contributing to the elimination of unfolded proteins PMID: 19529779
- Meta-analysis of gene-disease association. (HuGE Navigator) PMID: 19267391
- The phosphatase laforin acts as a scaffold that allows malin to ubiquitinate protein targeting to glycogen (PTG). These results suggest an additional mechanism, involving laforin and malin, in regulating glycogen metabolism. PMID: 18070875
顯示更多
收起更多
-
相關疾病:Epilepsy, progressive myoclonic 2 (EPM2)
-
亞細胞定位:Endoplasmic reticulum. Nucleus. Note=Localizes at the endoplasmic reticulum and, to a lesser extent, in the nucleus.
-
組織特異性:Expressed in brain, cerebellum, spinal cord, medulla, heart, liver, skeletal muscle and pancreas.
-
數據庫鏈接:
Most popular with customers
-
-
YWHAB Recombinant Monoclonal Antibody
Applications: ELISA, WB, IHC, IF, FC
Species Reactivity: Human, Mouse, Rat
-
Phospho-YAP1 (S127) Recombinant Monoclonal Antibody
Applications: ELISA, WB, IHC
Species Reactivity: Human
-
-
-
-
-















