NFKBIE Antibody
-
中文名稱:NFKBIE兔多克隆抗體
-
貨號:CSB-PA015764ESR1HU
-
規格:¥440
-
圖片:
-
Western blot
All lanes: NFKBIE antibody at 4.17μg/ml
Lane 1: Mouse liver tissue
Lane 2: Hela whole cell lysate
Lane 3: Jurkat whole cell lysate
Lane 4: A375 whole cell lysate
Lane 5: 293T whole cell lysate
Secondary
Goat polyclonal to rabbit IgG at 1/10000 dilution
Predicted band size: 53 kDa
Observed band size: 53 kDa -
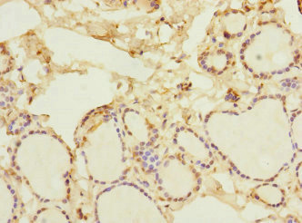
Immunohistochemistry of paraffin-embedded human thyroid tissue using CSB-PA015764ESR1HU at dilution of 1:100
-
-
其他:
產品詳情
-
產品名稱:Rabbit anti-Homo sapiens (Human) NFKBIE Polyclonal antibody
-
Uniprot No.:
-
基因名:
-
別名:I kappa B epsilon antibody; I-kappa-B-epsilon antibody; IkappaBepsilon antibody; IkB E antibody; IkB-E antibody; IkB-epsilon antibody; IKBE antibody; IKBE_HUMAN antibody; MGC72568 antibody; NF kappa B inhibitor epsilon antibody; NF kappa BIE antibody; NF-kappa-B inhibitor epsilon antibody; NF-kappa-BIE antibody; NFkappa BIE antibody; NFkappaB inhibitor epsilon antibody; NFKBIE antibody; Nuclear factor of kappa light polypeptide gene enhancer in B cells inhibitor epsilon antibody; OTTHUMP00000016522 antibody; Slc35b2 antibody; solute carrier family 35; member B2 antibody
-
宿主:Rabbit
-
反應種屬:Human, Mouse
-
免疫原:Recombinant Human NF-kappa-B inhibitor epsilon protein (140-280AA)
-
免疫原種屬:Homo sapiens (Human)
-
標記方式:Non-conjugated
-
克隆類型:Polyclonal
-
抗體亞型:IgG
-
純化方式:Antigen Affinity Purified
-
濃度:It differs from different batches. Please contact us to confirm it.
-
保存緩沖液:PBS with 0.02% sodium azide, 50% glycerol, pH7.3.
-
產品提供形式:Liquid
-
應用范圍:ELISA, WB, IHC
-
推薦稀釋比:
Application Recommended Dilution WB 1:1000-1:5000 IHC 1:20-1:200 -
Protocols:
-
儲存條件:Upon receipt, store at -20°C or -80°C. Avoid repeated freeze.
-
貨期:Basically, we can dispatch the products out in 1-3 working days after receiving your orders. Delivery time maybe differs from different purchasing way or location, please kindly consult your local distributors for specific delivery time.
-
用途:For Research Use Only. Not for use in diagnostic or therapeutic procedures.
相關產品
靶點詳情
-
功能:Inhibits NF-kappa-B by complexing with and trapping it in the cytoplasm. Inhibits DNA-binding of NF-kappa-B p50-p65 and p50-c-Rel complexes.
-
基因功能參考文獻:
- identify NFKBIE aberrations as a common genetic event across B-cell malignancies and highlight NFKBIE deletions as a novel poor-prognostic marker in PMBL. PMID: 27670424
- We suggest that the impairment of NFKBIE gene function can reduce the uptake of methotrexate into cells, suggesting that the gene is an important factor for rheumatoid arthritis outcome PMID: 26587663
- A NFKBIE polymorphism was associated with increased risk of pneumococcal meningitis. PMID: 26870821
- results show that Gal-1 acts by inhibiting the stimulation of the LPS-induced IkappaBzeta expression, an NF-kappaB regulator involved in IL-6 gene transcription. PMID: 26226212
- Newly identified alterations included recurrent promoter mutations of NFKBIE, encoding NF-kappaB inhibitor varepsilon (IkappaBvarepsilon), in 14.5% of samples of desmoplastic melanoma PMID: 26343386
- Vitamin C forestalls cigarette smoke induced NF-kappaB activation in alveolar epithelial cells. PMID: 23615073
- we identified two gene loci associated with rheumatoid arthritis susceptibility- NFKBIE and RTKN2 PMID: 23028356
- Protein phosphatase 6 subunit with conserved Sit4-associated protein domain targets IkappaBepsilon PMID: 16769727
- An NFKBIE SNP associated with susceptibility to pneumococcal disease but not pneumococcal empyema. PMID: 17463416
- Expression levels of GGT1 and possibly NFKBIE might be useful as biomarkers of genetic susceptibility to arsenite. PMID: 17976673
- Genomic mutation of the NFKBIE gene in primary Hodgkin/ Reed Sternberg cells PMID: 14595753
顯示更多
收起更多
-
亞細胞定位:Cytoplasm.
-
蛋白家族:NF-kappa-B inhibitor family
-
組織特異性:Highly expressed in spleen, testis and lung, followed by kidney, pancreas, heart, placenta and brain. Also expressed in granulocytes and macrophages.
-
數據庫鏈接:
Most popular with customers
-
-
YWHAB Recombinant Monoclonal Antibody
Applications: ELISA, WB, IHC, IF, FC
Species Reactivity: Human, Mouse, Rat
-
Phospho-YAP1 (S127) Recombinant Monoclonal Antibody
Applications: ELISA, WB, IHC
Species Reactivity: Human
-
-
-
-
-















