NFE2L3 Antibody
-
中文名稱:NFE2L3兔多克隆抗體
-
貨號:CSB-PA896721LA01HU
-
規格:¥440
-
圖片:
-
Western Blot
Positive WB detected in: Hela whole cell lysate, U87 whole cell lysate, 293T whole cell lysate, Jurkat whole cell lysate
All lanes: NFE2L3 antibody at 3µg/ml
Secondary
Goat polyclonal to rabbit IgG at 1/50000 dilution
Predicted band size: 77 kDa
Observed band size: 77 kDa -
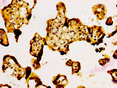
IHC image of CSB-PA896721LA01HU diluted at 1:500 and staining in paraffin-embedded human placenta tissue performed on a Leica BondTM system. After dewaxing and hydration, antigen retrieval was mediated by high pressure in a citrate buffer (pH 6.0). Section was blocked with 10% normal goat serum 30min at RT. Then primary antibody (1% BSA) was incubated at 4°C overnight. The primary is detected by a biotinylated secondary antibody and visualized using an HRP conjugated SP system.
-
-
其他:
產品詳情
-
產品名稱:Rabbit anti-Homo sapiens (Human) NFE2L3 Polyclonal antibody
-
Uniprot No.:
-
基因名:NFE2L3
-
別名:NFE2L3 antibody; NRF3 antibody; Nuclear factor erythroid 2-related factor 3 antibody; NF-E2-related factor 3 antibody; NFE2-related factor 3 antibody; Nuclear factor antibody; erythroid derived 2 antibody; like 3 antibody
-
宿主:Rabbit
-
反應種屬:Human
-
免疫原:Recombinant Human Nuclear factor erythroid 2-related factor 3 protein (132-260AA)
-
免疫原種屬:Homo sapiens (Human)
-
標記方式:Non-conjugated
本頁面中的產品,NFE2L3 Antibody (CSB-PA896721LA01HU),的標記方式是Non-conjugated。對于NFE2L3 Antibody,我們還提供其他標記。見下表:
-
克隆類型:Polyclonal
-
抗體亞型:IgG
-
純化方式:>95%, Protein G purified
-
濃度:It differs from different batches. Please contact us to confirm it.
-
保存緩沖液:Preservative: 0.03% Proclin 300
Constituents: 50% Glycerol, 0.01M PBS, pH 7.4 -
產品提供形式:Liquid
-
應用范圍:ELISA, WB, IHC
-
推薦稀釋比:
Application Recommended Dilution WB 1:500-1:5000 IHC 1:500-1:1000 -
Protocols:
-
儲存條件:Upon receipt, store at -20°C or -80°C. Avoid repeated freeze.
-
貨期:Basically, we can dispatch the products out in 1-3 working days after receiving your orders. Delivery time maybe differs from different purchasing way or location, please kindly consult your local distributors for specific delivery time.
-
用途:For Research Use Only. Not for use in diagnostic or therapeutic procedures.
相關產品
靶點詳情
-
功能:Activates erythroid-specific, globin gene expression.
-
基因功能參考文獻:
- SNPs associated with type 2 diabetes and obesity may also increase the risk of developing gestational diabetes mellitus (GDM) in the Chinese population. Among these SNPs, we report for the first time that rs945508 in ARHGEF11, rs10804591 in PLXND1 and rs10245353 in NFE2L3 were associated with GDM. PMID: 28554271
- findings reveal FBW7 and GSK3 as novel regulators of the NFE2L3 transcription factor and a potential mechanism by which FBW7 might regulate detoxification and the cellular response to stress PMID: 26306035
- 17beta-Estradiol treatment significantly increased but VC or Res decreased Nrf3 mRNA and protein expression levels. PMID: 25130429
- Nrf3 is a negative regulator of ARE-mediated gene expression of NQO1 PMID: 15385560
- NRF3 is highly expressed in primary placental cytotrophoblasts PMID: 15388789
- Nrf3 is an N-glycosylated protein associated with the endoplasmic reticulum PMID: 17976382
顯示更多
收起更多
-
亞細胞定位:Nucleus.
-
蛋白家族:BZIP family, CNC subfamily
-
組織特異性:Highly expressed in human placenta and also in B-cell and monocyte cell lines. Low expression in heart, brain, lung, skeletal muscle, kidney and pancreas.
-
數據庫鏈接:
Most popular with customers
-
-
YWHAB Recombinant Monoclonal Antibody
Applications: ELISA, WB, IHC, IF, FC
Species Reactivity: Human, Mouse, Rat
-
Phospho-YAP1 (S127) Recombinant Monoclonal Antibody
Applications: ELISA, WB, IHC
Species Reactivity: Human
-
-
-
-
-















