NEURL1B Antibody
-
中文名稱:NEURL1B兔多克隆抗體
-
貨號:CSB-PA015722LA01HU
-
規格:¥440
-
圖片:
-
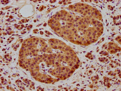
IHC image of CSB-PA015722LA01HU diluted at 1:400 and staining in paraffin-embedded human pancreatic cancer performed on a Leica BondTM system. After dewaxing and hydration, antigen retrieval was mediated by high pressure in a citrate buffer (pH 6.0). Section was blocked with 10% normal goat serum 30min at RT. Then primary antibody (1% BSA) was incubated at 4°C overnight. The primary is detected by a biotinylated secondary antibody and visualized using an HRP conjugated SP system.
-
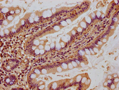
IHC image of CSB-PA015722LA01HU diluted at 1:400 and staining in paraffin-embedded human small intestine tissue performed on a Leica BondTM system. After dewaxing and hydration, antigen retrieval was mediated by high pressure in a citrate buffer (pH 6.0). Section was blocked with 10% normal goat serum 30min at RT. Then primary antibody (1% BSA) was incubated at 4°C overnight. The primary is detected by a biotinylated secondary antibody and visualized using an HRP conjugated SP system.
-
Immunofluorescence staining of U251 cells with CSB-PA015722LA01HU at 1:133, counter-stained with DAPI. The cells were fixed in 4% formaldehyde, permeabilized using 0.2% Triton X-100 and blocked in 10% normal Goat Serum. The cells were then incubated with the antibody overnight at 4°C. The secondary antibody was Alexa Fluor 488-congugated AffiniPure Goat Anti-Rabbit IgG(H+L).
-
-
其他:
產品詳情
-
產品名稱:Rabbit anti-Homo sapiens (Human) NEURL1B Polyclonal antibody
-
Uniprot No.:
-
基因名:NEURL1B
-
別名:E3 ubiquitin-protein ligase NEURL1B antibody; E3 ubiquitin-protein ligase NEURL3 antibody; hNeur2 antibody; NEU1B_HUMAN antibody; Neur2 antibody; neuralized-2 alternative protein antibody; neuralized-2 antibody; Neuralized-like protein 1B antibody; Neuralized-like protein 3 antibody; NEURL1B antibody; NEURL3 antibody
-
宿主:Rabbit
-
反應種屬:Human
-
免疫原:Recombinant Human E3 ubiquitin-protein ligase NEURL1B protein (1-275AA)
-
免疫原種屬:Homo sapiens (Human)
-
標記方式:Non-conjugated
本頁面中的產品,NEURL1B Antibody (CSB-PA015722LA01HU),的標記方式是Non-conjugated。對于NEURL1B Antibody,我們還提供其他標記。見下表:
-
克隆類型:Polyclonal
-
抗體亞型:IgG
-
純化方式:>95%, Protein G purified
-
濃度:It differs from different batches. Please contact us to confirm it.
-
保存緩沖液:Preservative: 0.03% Proclin 300
Constituents: 50% Glycerol, 0.01M PBS, pH 7.4 -
產品提供形式:Liquid
-
應用范圍:ELISA, IHC, IF
-
推薦稀釋比:
Application Recommended Dilution IHC 1:200-1:500 IF 1:50-1:200 -
Protocols:
-
儲存條件:Upon receipt, store at -20°C or -80°C. Avoid repeated freeze.
-
貨期:Basically, we can dispatch the products out in 1-3 working days after receiving your orders. Delivery time maybe differs from different purchasing way or location, please kindly consult your local distributors for specific delivery time.
-
用途:For Research Use Only. Not for use in diagnostic or therapeutic procedures.
相關產品
靶點詳情
-
功能:E3 ubiquitin-protein ligase involved in regulation of the Notch pathway through influencing the stability and activity of several Notch ligands.
-
基因功能參考文獻:
- Neur2, in contrast to Neur1, is highly expressed during embryonic development of the brain and several non-neural tissues and its mRNA levels subside postnatally. PMID: 19723503
-
亞細胞定位:Cytoplasm.
-
組織特異性:Highest expression in brain, prostate and small intestine. In the brain the levels are higher in fetal than in adult stage. In the adult brain the highest levels are detected in the olfactory system, cerebellar cortex, optic nerve and the frontal lobe.
-
數據庫鏈接:
Most popular with customers
-
-
YWHAB Recombinant Monoclonal Antibody
Applications: ELISA, WB, IHC, IF, FC
Species Reactivity: Human, Mouse, Rat
-
Phospho-YAP1 (S127) Recombinant Monoclonal Antibody
Applications: ELISA, WB, IHC
Species Reactivity: Human
-
-
-
-
-















