NES Antibody
-
中文名稱:NES兔多克隆抗體
-
貨號:CSB-PA094270
-
規格:¥1100
-
圖片:
-
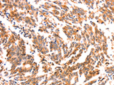
The image on the left is immunohistochemistry of paraffin-embedded Human gastic cancer tissue using CSB-PA094270(NES Antibody) at dilution 1/30, on the right is treated with synthetic peptide. (Original magnification: ×200)
-
The image on the left is immunohistochemistry of paraffin-embedded Human lymphoma tissue using CSB-PA094270(NES Antibody) at dilution 1/30, on the right is treated with synthetic peptide. (Original magnification: ×200)
-
-
其他:
產品詳情
-
Uniprot No.:
-
基因名:
-
別名:ESTM 46 antibody; FLJ 21841 antibody; FLJ21841 antibody; Intermediate filament protein antibody; Nbla00170 antibody; nes antibody; NEST_HUMAN antibody; Nestin antibody
-
宿主:Rabbit
-
反應種屬:Human
-
免疫原:Synthetic peptide of Human NES
-
免疫原種屬:Homo sapiens (Human)
-
標記方式:Non-conjugated
-
抗體亞型:IgG
-
純化方式:Antigen affinity purification
-
濃度:It differs from different batches. Please contact us to confirm it.
-
保存緩沖液:-20°C, pH7.4 PBS, 0.05% NaN3, 40% Glycerol
-
產品提供形式:Liquid
-
應用范圍:ELISA,IHC
-
推薦稀釋比:
Application Recommended Dilution ELISA 1:2000-1:5000 IHC 1:25-1:100 -
Protocols:
-
儲存條件:Upon receipt, store at -20°C or -80°C. Avoid repeated freeze.
-
貨期:Basically, we can dispatch the products out in 1-3 working days after receiving your orders. Delivery time maybe differs from different purchasing way or location, please kindly consult your local distributors for specific delivery time.
-
用途:For Research Use Only. Not for use in diagnostic or therapeutic procedures.
相關產品
靶點詳情
-
功能:Required for brain and eye development. Promotes the disassembly of phosphorylated vimentin intermediate filaments (IF) during mitosis and may play a role in the trafficking and distribution of IF proteins and other cellular factors to daughter cells during progenitor cell division. Required for survival, renewal and mitogen-stimulated proliferation of neural progenitor cells.
-
基因功能參考文獻:
- Nestin stabilizes lamin A-C for maintaining nuclear integrity and protecting tumor cells from senescence. PMID: 30190500
- We found an increased expression of Nestin and GAP43 (growth associated protein 43) in treated cells. In conclusion, Periodontal ligament mesenchymal stem cells (hPDLSCs) treated with Moringin and Cannabidiol showed an improved survival capacity and neuronal differentiation potential PMID: 30096889
- Melatonin disturbs SUMOylation-mediated crosstalk between c-Myc and nestin via MT1 activation and promotes the sensitivity of paclitaxel in brain cancer stem cells. PMID: 29654697
- Data indicated that nestin regulated NF-kappa B (NF-kappaB) activity in foetal spinal cord tissues. PMID: 29697001
- Nestin, originally identified as a marker of neural stem cells, was demonstrated to be expressed in breast cancer (BC). In normal breast tissue, nestin is expressed in the basal/myoepithelial cells. In BC, nestin identifies basal-like tumors and predicts aggressive behavior and poor prognosis. Also, it is been detected in BC stem cells and newly-formed tumor vessels promoting invasion and metastasis. [review] PMID: 29901100
- This review presents the current knowledge on the role of Nestin in essential stem cell functions, including self-renewal/proliferation, differentiation and migration, in the context of the cytoskeleton. [review] PMID: 29541793
- Results showed that nestin was expressed in various tissues of the embryo in patients with placenta previa, and nestin expression decreased as the embryo matured. PMID: 28833496
- In summary, Nestin was strongly associated with germline BRCA1 related breast cancer, a basal-like phenotype, reduced survival, and stemness characteristics. PMID: 28439082
- this meta-analysis indicated both CD133 and Nestin expression were significantly associated with advanced FIGO stage, larger size of residual cancer in EOC patients. PMID: 29168665
- Nestin expression in breast tumour cells is associated with enhanced angiogenesis and poor prognosis. PMID: 29345290
- results suggest that nestin might be a reliable marker for angiogenesis evaluation in patients with colorectal cancer. In contrast to CD34, the expression of nestin in blood vessels seems to be a more sensitive marker of cancer progression PMID: 29970509
- Benign and borderline lesions more frequently than malignant ovarian tumors displayed low or medium values of nestin-positive microvessel density. Significant correlations between PDGF-B and nestin expression in malignant tumor microvessels were also found. PMID: 28397199
- Nestin silencing inhibits proliferation and migration of malignant melanoma cells via G1/S arrest in a Akt-GSK3beta-Rb pathway. PMID: 29270750
- In this study demonstrated persistence of nestin-expressing cells in a stereotypical pattern. Striking observations included chains or rows of nestin-expressing cell in hippocampus and temporal lobe. PMID: 28925561
- Nestin expression was significantly higher in large cell neuroendocrine carcinomas. PMID: 29517198
- nestin expression in vessels was associated with a shorter overall survival (OS) and earlier relapse, and in the case of OS nestin was an independent prognostic factor. Finally, we further confirmed that nestin expression in endothelial cells reflects a progenitor nature of newly forming vessels. PMID: 28656248
- nestin may be a novel therapeutic target for tumor angiogenesis and a combination therapy that includes nestin-targeting agents may be an effective therapeutic approach. In addition, detection of Nestin/stem cells and Nestin/MVD can be used as predictors of disease PMID: 26945442
- Knockdown of Nestin significantly reduced tumor volume in vivo. PMID: 27626172
- Nestin plays an important role in the prediction of the clinicopathology and poor prognosis of glioma patients. PMID: 26768429
- The authors found that high/positive SOX2 alterations, either DNA amplification or protein expression, were favorable for overall survival (OS) in non-small cell lung cancer. On the contrary, high/positive Nestin protein expression was poor for OS. PMID: 27150062
- Study clarified the relationship between Nestin overexpression and poor prognosis in recurrent human hepatocellular carcinoma (HCC) patients receiving FOLFOX regimen, and its association with chemoresistance and epithelial-mesenchymal transition in HCC cell lines. PMID: 27412382
- Results show that the positive rates and expression levels of nestin, tyrosine hydroxylase (TH), GFAP and IL-17 were significantly decreased while Foxp3 and the ratio of Foxp3/IL-17 were statistically elevated in BM of AML patients. PMID: 27016413
- Nestin may have an important role in GIST malignancy by regulating mitochondrial dynamics and altering intracellular ROS levels. The findings provide new clues to reveal mechanisms by which nestin mediates the proliferation and invasion of GISTs. PMID: 26434586
- he present study reveals that nestin expression is a prognostic indicator of a poorer survival probability in NSCLC patients receiving adjuvant platinum-based chemotherapy , although its prognostic significance still requires confirmation with larger patient populations PMID: 28358810
- Data suggest that negative feedback mediated by GLI3 (GLI-Kruppel family member) acts to finely tune SHH (sonic hedgehog) signaling. During medulloblastoma (MB) formation, nerve tissue cells appear to express nestin which hyperactivates SHH signaling by abolishing negative feedback by GLI3. Restoration of intrinsic negative feedback by repressing nestin expression represents a promising approach to treat MB. [REVIEW] PMID: 28389227
- the induction of P-gp expression is causally associated with the expression of nestin in leukemia cells PMID: 27479651
- SRY (sex determining region Y)-box 10 protein (SOX10) enhances nestin protein (NES) expression via directly binding to the promoter of NES. PMID: 28189679
- Immunohistochemical assessment of nestin and INPP4b provides an accurate, accessible and inexpensive tool to identify basal-like breast cancer subtype in the clinically problematic setting of weak oestrogen receptor positivity PMID: 27402148
- Tumor expression of nestin might be a valuable prognostic factor for survival in patients with advanced ovarian cancer. With regard to its endothelial expression, nestin might be as reliable as CD34 for quantifying tumor angiogenesis. PMID: 27837619
- Our findings provide evidence suggesting that nestin regulation is negatively controlled epigenetically by TET2 in melanoma PMID: 27102770
- phosphorylation of nestin at Thr315 and/or Thr1299 affects cell proliferation, and inhibition of both phosphorylation sites suppresses invasion and metastasis of human pancreatic cancer. Inhibiting nestin phosphorylation at these two sites may represent a novel therapeutic strategy for pancreatic cancer. PMID: 28002641
- Nestin and CD146 are expressed in breast cancer cells with highly aggressive potency. They might contribute to disease relapse in breast cancer by activating the epithelial-mesenchymal transition pathway and assist tumor neovascularization. PMID: 28347241
- membrane nestin signal was found to be a valid prognostic factor in glioblastoma. PMID: 27450656
- OCT4 and nestin are overexpressed in laryngeal squamous cell carcinoma (LSCC) and may contribute to laryngeal carcinogenesis. Their co-expression may help to predict the lymph node metastatic potential of LSCC. PMID: 25242024
- The presence of nestin-positive endothelial cells is associated with early relapse of clear cell renal cell carcinoma PMID: 27311769
- our analysis of the expression of nestin, CD133 and ABCG2 in rhabdomyosarcomas, Ewing sarcomas and osteosarcomas represents the first complex study of these three putative CSCs markers together in three different types of pediatric sarcomas and showed their possible prognostic values in these tumors. PMID: 27314299
- Nestin expression seems to be obligatory for vascular smooth muscle cell proliferation, and specifies lung vascular wall cells that drive remodelling and (re-)generation PMID: 26699726
- Vimentin, Nestin and WT1. Sox2 was expressed by the stem/progenitor cells of the ventricular zone, whereas the postmitotic neurons of the cortical plate were immunostained by PAX2 and NSE. PMID: 26972711
- Administration of nestin siRNA significantly decreased primary and metastatic tumor formation by human pancreatic cancer cells. PMID: 26335012
- Nestin expression was consistently found in endothelial cells of the schneiderian membrane. PMID: 26414809
- higher rates of nestin expression were observed in most embryonal Rhabdomyosarcoma specimens and low-grade tumors, in early stages of the disease, and among younger patients. PMID: 26600525
- Our findings indicated that Nestin plays an essential role in colorectal cancer progression PMID: 26261513
- There were significant increases in the percentage of ependymal cells that were nestin positive between controls and trauma cases PMID: 25599268
- Nestin is expressed in acute leukemia and might be a useful immunohistochemical marker for identifying acute myeloid leukemia and acute lymphoblastic leukemia PMID: 25839093
- Ectopic expression of Nestin partially reverses the effects of miR-940 on cell proliferation, cell cycle and apoptosis. PMID: 25118937
- High level of CD133 expression trends to correlate with a worse OS and PFS in glioma patients, especially WHO IV gliomas PMID: 25967234
- Increased miR-21 and nestin mRNA levels were found in anaplastic meningiomas, in which recurrence is PMID: 26242334
- Results indicate that nestin plays an important role in the embryonic development of at least two mouse organs (heart and brain) through the regulation of cell proliferation PMID: 25843934
- High nestin expression is associated with gastric adenocarcinoma. PMID: 25854362
- It could be a clinically relevant marker associated with tumor invasiveness in cerebral astrocytomas. PMID: 25178519
顯示更多
收起更多
-
蛋白家族:Intermediate filament family
-
組織特異性:CNS stem cells.
-
數據庫鏈接:
Most popular with customers
-
-
Phospho-YAP1 (S127) Recombinant Monoclonal Antibody
Applications: ELISA, WB, IHC
Species Reactivity: Human
-
-
-
-
-
-















