NDUFV1 Antibody
-
中文名稱:NDUFV1兔多克隆抗體
-
貨號:CSB-PA015668ESR2HU
-
規格:¥440
-
圖片:
-
Western blot
All lanes: NDUFV1 antibody at 3.46µg/ml + HepG2 whole cell lysate
Secondary
Goat polyclonal to rabbit IgG at 1/10000 dilution
Predicted band size: 51, 50 kDa
Observed band size: 51 kDa -
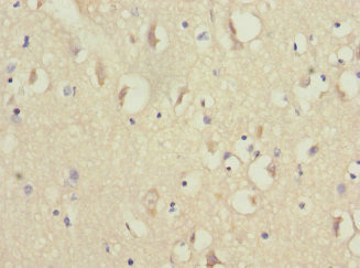
Immunohistochemistry of paraffin-embedded human brain tissue using CSB-PA015668ESR2HU at dilution of 1:100
-
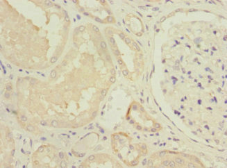
Immunohistochemistry of paraffin-embedded human kidney tissue using CSB-PA015668ESR2HU at dilution of 1:100
-
-
其他:
產品詳情
-
產品名稱:Rabbit anti-Homo sapiens (Human) NDUFV1 Polyclonal antibody
-
Uniprot No.:
-
基因名:
-
別名:CI 51kD antibody; CI-51kD antibody; CI51KD antibody; Complex I 51kD antibody; Complex I-51kD antibody; FLJ59059 antibody; mitochondrial antibody; NADH dehydrogenase (ubiquinone) flavoprotein 1 antibody; NADH dehydrogenase [ubiquinone] flavoprotein 1 antibody; NADH dehydrogenase [ubiquinone] flavoprotein 1, mitochondrial antibody; NADH dehydrogenase flavoprotein 1 antibody; NADH ubiquinone oxidoreductase 51 kDa subunit antibody; NADH ubiquinone oxidoreductase antibody; NADH ubiquinone oxidoreductase core subunit V1 antibody; NADH-ubiquinone oxidoreductase 51 kDa subunit antibody; NDUFV 1 antibody; ndufv1 antibody; NDUV1_HUMAN antibody; UQOR1 antibody
-
宿主:Rabbit
-
反應種屬:Human
-
免疫原:Recombinant Human NADH dehydrogenase [ubiquinone] flavoprotein 1, mitochondrial protein (1-250AA)
-
免疫原種屬:Homo sapiens (Human)
-
標記方式:Non-conjugated
-
克隆類型:Polyclonal
-
抗體亞型:IgG
-
純化方式:Antigen Affinity Purified
-
濃度:It differs from different batches. Please contact us to confirm it.
-
保存緩沖液:PBS with 0.02% sodium azide, 50% glycerol, pH7.3.
-
產品提供形式:Liquid
-
應用范圍:ELISA, WB, IHC
-
推薦稀釋比:
Application Recommended Dilution WB 1:1000-1:5000 IHC 1:20-1:200 -
Protocols:
-
儲存條件:Upon receipt, store at -20°C or -80°C. Avoid repeated freeze.
-
貨期:Basically, we can dispatch the products out in 1-3 working days after receiving your orders. Delivery time maybe differs from different purchasing way or location, please kindly consult your local distributors for specific delivery time.
-
用途:For Research Use Only. Not for use in diagnostic or therapeutic procedures.
相關產品
靶點詳情
-
功能:Core subunit of the mitochondrial membrane respiratory chain NADH dehydrogenase (Complex I) which catalyzes electron transfer from NADH through the respiratory chain, using ubiquinone as an electron acceptor.
-
基因功能參考文獻:
- Mutations in the ND6, NDUFV1 or ACAD9 genes are responsible for the mitochondrial complex I deficiency. PMID: 29348607
- we have used a yeast model system to study the molecular consequences of 16 single amino acid substitutions, classified as pathogenic, in the NDUFV1 subunit of complex I PMID: 26345448
- small number of putative de novo variants were transmitted from BAP parents to their ASD offspring, and evidence emerged for a rare duplication CNV at 11p13.3 harboring two putative developmental/neuropsychiatric susceptibility gene(s), GSTP1 and NDUFV1. PMID: 25432440
- The results affirm that NDUFV1 mutations are causative of the phenotype in two siblings affected by a diffuse leukodystrophy. PMID: 23562761
- observed 2 consanguinous siblings with early-onset encephalopathy, medulla, brainstem and mesencephalon lesions and death before 8 months of age, caused by a complex I deficiency; identified a missense mutation in the NDUFV1 gene; the mutation, p.Arg386His, affects a highly conserved residue PMID: 21696386
- study describes clinical, radiological, biochemical and molecular data of 6 patients with Leigh syndrome with novel mutations in NDUFV1 and NDUFS2; 2 siblings were homozygous for previously undescribed R386C mutation in NDUFV1 PMID: 23266820
- significant negative-correlation between left ventricular end-diastolic dimension and NDUFV1 production in dilated cardiomyopathy PMID: 20930427
- Sp1 was abnormally expressed in schizophrenia and its mRNA alteration pattern paralleled that of NDUFV1 and NDUFV2 in schizophrenic patients. PMID: 17786189
- Mutations in the NDUFV1 gene is linked to a delayed mitochondrial network recovery in OXPHOS disorders. PMID: 20153825
顯示更多
收起更多
-
相關疾病:Leigh syndrome (LS); Mitochondrial complex I deficiency (MT-C1D)
-
亞細胞定位:Mitochondrion inner membrane; Peripheral membrane protein; Matrix side.
-
蛋白家族:Complex I 51 kDa subunit family
-
數據庫鏈接:
Most popular with customers
-
-
YWHAB Recombinant Monoclonal Antibody
Applications: ELISA, WB, IHC, IF, FC
Species Reactivity: Human, Mouse, Rat
-
-
-
-
-
-















